Hekerman Paul, Zeidler Julia, Korfmacher Stefanie, Bamberg-Lemper Simone, Knobelspies Holger, Zabeau Lennart, Tavernier Jan, Becker Walter
Institute of Pharmacology and Toxicology, Medical Faculty of the RWTH Aachen University, Aachen, Germany.
BMC Mol Biol. 2007 May 23;8:41. doi: 10.1186/1471-2199-8-41.
Leptin acts not only on hypothalamic centers to control food intake but has additional functions in peripheral tissues, e.g. inhibition of insulin secretion from pancreatic islets. The leptin receptor (LEPRb) is a class I cytokine receptor that mediates activation of STAT transcription factors. In this study, we characterise the regulation of inflammation-related genes by leptin in insulinoma cells and compare the effect of transcriptional regulation by leptin with that of other cytokines.
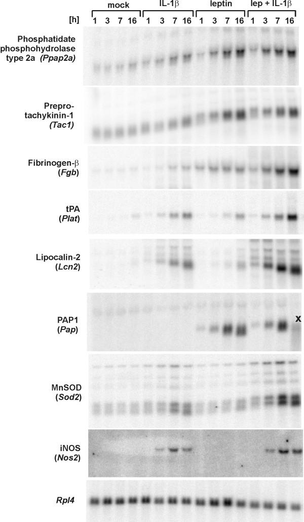
We have used RINm5F insulinoma cells as a model system for a peripheral target cell of leptin. Six transcripts encoding inflammation-related proteins were found to be upregulated by activation of LEPRb, namely lipocalin-2, pancreatitis-associated protein, preprotachykinin-1, fibrinogen-beta, tissue-type plasminogen activator (tPA) and manganese-dependent superoxide dismutase (MnSOD). Four of these transcripts (fibrinogen-beta, lipocalin-2, tPA, MnSOD) were also induced by the proinflammatory cytokine interleukin-1beta (IL-1beta). Interferon-gamma alone had no effect on the leptin-induced transcripts but enhanced the upregulation by IL-1beta of lipocalin-2, tPA and MnSOD mRNA levels. Experiments with LEPRb point mutants revealed that the upregulation of the inflammation-related genes depended on the presence of tyrosine-1138 which mediates the activation of the transcription factors STAT1 and STAT3. Reporter gene assays showed that leptin induced the expression of preprotachykinin-1 and lipocalin-2 on the level of promoter regulation. Finally, leptin treatment increased caspase 3-like proteolytic activity in RINm5F cells.
The present data show that leptin induces a cytokine-like transcriptional response in RINm5F cells, consistent with the proposed function of leptin as a modulator of immune and inflammatory responses.
瘦素不仅作用于下丘脑中枢以控制食物摄入,还在周围组织中具有其他功能,例如抑制胰岛分泌胰岛素。瘦素受体(LEPRb)是一种I类细胞因子受体,可介导STAT转录因子的激活。在本研究中,我们表征了瘦素对胰岛素瘤细胞中炎症相关基因的调控,并比较了瘦素与其他细胞因子的转录调控作用。
我们使用RINm5F胰岛素瘤细胞作为瘦素周围靶细胞的模型系统。发现通过激活LEPRb可上调六种编码炎症相关蛋白的转录本,即lipocalin-2、胰腺炎相关蛋白、前速激肽原-1、纤维蛋白原-β、组织型纤溶酶原激活剂(tPA)和锰依赖性超氧化物歧化酶(MnSOD)。这些转录本中的四种(纤维蛋白原-β、lipocalin-2、tPA、MnSOD)也由促炎细胞因子白细胞介素-1β(IL-1β)诱导。单独的干扰素-γ对瘦素诱导的转录本没有影响,但增强了IL-1β对lipocalin-2、tPA和MnSOD mRNA水平的上调作用。对LEPRb点突变体的实验表明,炎症相关基因的上调取决于酪氨酸-1138的存在,该酪氨酸介导转录因子STAT1和STAT3的激活。报告基因分析表明,瘦素在启动子调控水平上诱导前速激肽原-1和lipocalin-2的表达。最后,瘦素处理增加了RINm5F细胞中caspase 3样蛋白水解活性。
目前的数据表明,瘦素在RINm5F细胞中诱导了类似细胞因子的转录反应,这与瘦素作为免疫和炎症反应调节剂的 proposed 功能一致。 (注:这里proposed可能是“提出的”意思,但原文好像少了个词,不太完整准确)