Suppr超能文献

大鼠肝脏S14启动子内功能性顺式作用元件的鉴定。

Identification of functional cis-acting elements within the rat liver S14 promoter.

作者信息

MacDougald O A, Jump D B

机构信息

Department of Physiology, Michigan State University, East Lansing 48824-1101.

出版信息

Biochem J. 1991 Dec 15;280 ( Pt 3)(Pt 3):761-7. doi: 10.1042/bj2800761.

Abstract

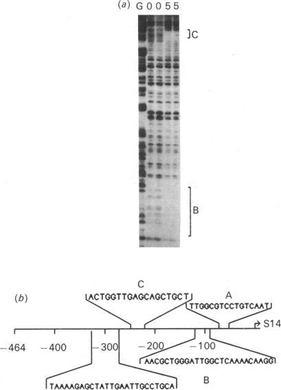
The structure of DNAase I hypersensitive site 1 (Hss-1), located adjacent to the 5' end of the rat liver S14 gene, is regulated by tissue-specific factors, and its formation correlates with the transcriptional activation of the S14 gene. We propose that tissue-specific trans-acting factors interacting with key cis-linked elements within this site function in the initiation of S14 gene transcription. To examine this hypothesis we used DNAase I footprint, gel shift and in vitro transcriptional analyses to identify cis-linked elements that function in the control of S14 gene transcription. Binding of rat liver nuclear proteins to the S14 promoter (from -8 to -464 bp) produced four DNAase I footprints (designated A-D). Gel shift studies showed that DNA-protein binding was tissue- and sequence-specific, differentially heat-sensitive, and abolished by proteinase K. The function of the four cis-acting elements was assessed by using an in vitro transcription initiation assay in which the S14 promoter was fused to a reporter gene (G-free cassette). Deletion studies showed that nuclear factors binding to regions A (-48 to -63 bp), B (-88 to -113 bp) and D (-286 to -310 bp) enhanced the rate of initiation of transcription, while proteins binding to region C (-227 to -244 bp) suppressed the rate of initiation of transcription. Based on oligonucleotide competition studies, we suggest that hepatic NF-1 (or a related protein) binding to the A region enhances the rate of initiation of S14 gene transcription. Since trans-acting factors interacting with regions B and D are found in liver but not in spleen or kidney, we suggest that the proteins interacting with these regions may be involved in the tissue-specific augmentation of S14 gene transcription.

摘要

脱氧核糖核酸酶I超敏位点1(Hss-1)位于大鼠肝脏S14基因5'端附近,其结构受组织特异性因子调控,且其形成与S14基因的转录激活相关。我们提出,与该位点内关键顺式连接元件相互作用的组织特异性反式作用因子在S14基因转录起始中发挥作用。为检验这一假说,我们采用脱氧核糖核酸酶I足迹法、凝胶迁移法和体外转录分析来鉴定在S14基因转录控制中起作用的顺式连接元件。大鼠肝脏核蛋白与S14启动子(从-8至-464 bp)结合产生了四个脱氧核糖核酸酶I足迹(命名为A-D)。凝胶迁移研究表明,DNA-蛋白质结合具有组织和序列特异性、对热敏感性不同,且可被蛋白酶K消除。通过体外转录起始试验评估了这四个顺式作用元件的功能,其中S14启动子与一个报告基因(无G盒)融合。缺失研究表明,与区域A(-48至-63 bp)、B(-88至-113 bp)和D(-286至-310 bp)结合的核因子提高了转录起始速率,而与区域C(-227至-244 bp)结合的蛋白质抑制了转录起始速率。基于寡核苷酸竞争研究,我们认为肝脏中的NF-1(或相关蛋白)与A区域结合可提高S14基因转录起始速率。由于在肝脏中发现了与区域B和D相互作用的反式作用因子,而在脾脏或肾脏中未发现,我们认为与这些区域相互作用的蛋白质可能参与了S14基因转录的组织特异性增强。

https://cdn.ncbi.nlm.nih.gov/pmc/blobs/f96f/1130519/37db15d8a0d7/biochemj00145-0196-a.jpg

文献检索

告别复杂PubMed语法,用中文像聊天一样搜索,搜遍4000万医学文献。AI智能推荐,让科研检索更轻松。

立即免费搜索

文件翻译

保留排版,准确专业,支持PDF/Word/PPT等文件格式,支持 12+语言互译。

免费翻译文档

深度研究

AI帮你快速写综述,25分钟生成高质量综述,智能提取关键信息,辅助科研写作。

立即免费体验