Suppr超能文献

活动性大动脉炎壁层改变的CT随访评估

Follow-up CT evaluation of the mural changes in active Takayasu arteritis.

作者信息

Kim Sang Young, Park Jae Hyung, Chung Jin Wook, Kim Hyo Cheol, Lee Whal, So Young Ho, Jae Hwan Jun

机构信息

Department of Radiology, Seoul National University College of Medicine, 28 Yongon-dong, Chongno-gu, Seoul 110-744, Korea.

出版信息

Korean J Radiol. 2007 Jul-Aug;8(4):286-94. doi: 10.3348/kjr.2007.8.4.286.

Abstract

OBJECTIVE

We wanted to evaluate the mural changes by CT on the follow-up examination of patients with active Takayasu arteritis.

MATERIALS AND METHODS

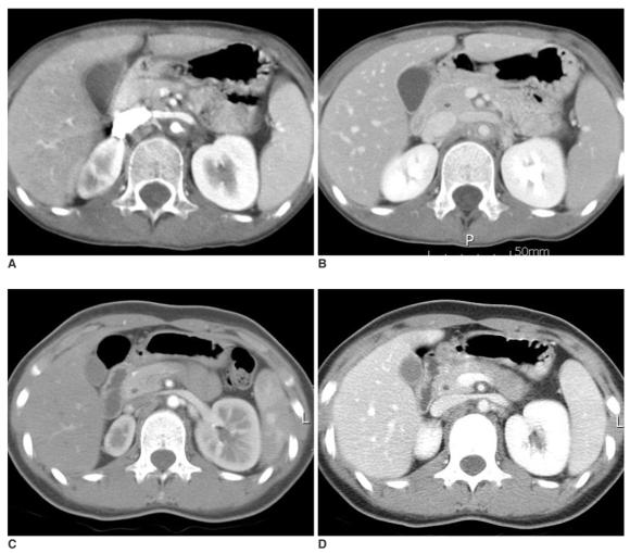
The study included 18 patients, (4 males and 14 females), with active Takayasu arteritis. A total of 44 CT examinations were done during the follow-up period (mean: 55.6 months). At the time of the last follow-up CT, the disease, on the basis of the erythrocyte sedimentation rate (ESR), was found to be inactive in five patients and the disease was active and persistent in 13 patients. The thickness and CT attenuation of the aortic wall on the precontrast, arterial and venous phases were measured on the initial and the follow-up CT examinations. The ratio of the mural attenuation over that of the back muscle on the initial CT was compared with the ratio found on the follow-up CT.

RESULTS

The initial CT findings included high density and calcifications of the aortic wall in the precontrast images and a thickened wall with enhancements in the arterial and the venous phases. A low-attenuation ring was demonstrated in the venous phase in 15 patients (83%). On the follow-up evaluation, the mean mural thickness decreased significantly from 4.1 mm to 2.4 mm. The mean mural attenuation ratio in the venous phase decreased significantly from 1.9 to 1.3 (p = 0.001). The low attenuation ring was identified in seven patients (39%) who had only with active, persistent Takayasu arteritis.

CONCLUSION

The mural changes demonstrated by the follow-up CT evaluations for the patients with active Takayasu arteritis included a decrease of the mural thickness and enhancement, disappearance of the low-attenuation ring on the venous phase, and an increase of the mural attenuation and calcification on the precontrast phase.

摘要

目的

我们希望通过CT评估活动期大动脉炎患者随访检查中的血管壁变化。

材料与方法

本研究纳入了18例活动期大动脉炎患者(4例男性,14例女性)。随访期间共进行了44次CT检查(平均55.6个月)。在最后一次随访CT检查时,根据红细胞沉降率(ESR)发现5例患者病情不活动,13例患者病情活动且持续。在初始和随访CT检查中测量主动脉壁在平扫、动脉期和静脉期的厚度及CT衰减值。比较初始CT上血管壁衰减值与背部肌肉衰减值的比值和随访CT上的比值。

结果

初始CT表现包括平扫图像上主动脉壁高密度及钙化,动脉期和静脉期壁增厚且强化。15例患者(83%)在静脉期显示低密度环。随访评估时,平均血管壁厚度从4.1mm显著降至2.4mm。静脉期平均血管壁衰减比值从1.9显著降至1.3(p = 0.001)。仅在13例活动期、持续性大动脉炎患者中的7例(39%)发现低密度环。

结论

活动期大动脉炎患者随访CT评估显示的血管壁变化包括血管壁厚度及强化降低、静脉期低密度环消失、平扫期血管壁衰减及钙化增加。

https://cdn.ncbi.nlm.nih.gov/pmc/blobs/9037/2627167/0429c1eb534b/kjr-8-286-g001.jpg

文献AI研究员

20分钟写一篇综述,助力文献阅读效率提升50倍。

立即体验

用中文搜PubMed

大模型驱动的PubMed中文搜索引擎

马上搜索

文档翻译

学术文献翻译模型,支持多种主流文档格式。

立即体验