• 文献检索
  • 文档翻译
  • 深度研究
  • 学术资讯
  • Suppr Zotero 插件Zotero 插件
  • 邀请有礼
  • 套餐&价格
  • 历史记录
应用&插件
Suppr Zotero 插件Zotero 插件浏览器插件Mac 客户端Windows 客户端微信小程序
定价
高级版会员购买积分包购买API积分包
服务
文献检索文档翻译深度研究API 文档MCP 服务
关于我们
关于 Suppr公司介绍联系我们用户协议隐私条款
关注我们

Suppr 超能文献

核心技术专利:CN118964589B侵权必究
粤ICP备2023148730 号-1Suppr @ 2026

文献检索

告别复杂PubMed语法,用中文像聊天一样搜索,搜遍4000万医学文献。AI智能推荐,让科研检索更轻松。

立即免费搜索

文件翻译

保留排版,准确专业,支持PDF/Word/PPT等文件格式,支持 12+语言互译。

免费翻译文档

深度研究

AI帮你快速写综述,25分钟生成高质量综述,智能提取关键信息,辅助科研写作。

立即免费体验

The structure of corpuscular nerve endings in the limbal conjunctiva of the human eye.

作者信息

Lawrenson J G, Ruskell G L

机构信息

Vision Research Centre, Department of Optometry and Visual Science, London.

出版信息

J Anat. 1991 Aug;177:75-84.

PMID:1769901
原文链接:https://pmc.ncbi.nlm.nih.gov/articles/PMC1260416/
Abstract

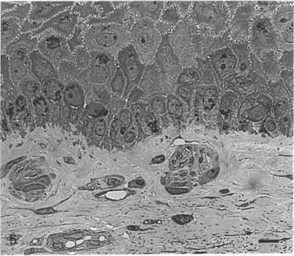
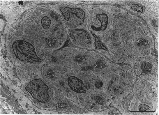
Corpuscular nerve endings were found to be numerous within a narrow, 1.00 mm wide, annular zone of limbal conjunctiva, located approximately 0.5 mm from the corneoscleral margin. A light and electron microscopic study was carried out on these nerve endings found within samples of human eye-bank material. Corpuscular endings were found immediately under the epithelium, often within the stromal elevations which make up the limbal palisades of Vogt. They were round to oval in shape, and varied in size, with a mean maximum diameter of 30 microns. The afferent nerve fibre lost its myelin sheath soon after entry, and subsequently branched to give rise to a variable number of axon terminal varicosities, which were characterised by an accumulation of mitochondria. Neural elements within the nerve ending were invested by the cytoplasmic lamellae of Schwann-like accessory cells. The corpuscle was demarcated from the surrounding connective tissue by a delicate fibrocyte capsule. The corpuscular nerve endings described here in the conjunctiva share features common to corpuscles found in other mucosae. The function of such complex sensory nerve endings is as yet unknown, but the possibility that they represent receptors for particular sensory modalities should be explored.

摘要
https://cdn.ncbi.nlm.nih.gov/pmc/blobs/f36e/1260416/2c17e5221304/janat00155-0086-d.jpg
https://cdn.ncbi.nlm.nih.gov/pmc/blobs/f36e/1260416/07094212166b/janat00155-0083-a.jpg
https://cdn.ncbi.nlm.nih.gov/pmc/blobs/f36e/1260416/940c40b3b4ef/janat00155-0083-b.jpg
https://cdn.ncbi.nlm.nih.gov/pmc/blobs/f36e/1260416/d50b79ffcfa1/janat00155-0083-c.jpg
https://cdn.ncbi.nlm.nih.gov/pmc/blobs/f36e/1260416/230fce28f563/janat00155-0083-d.jpg
https://cdn.ncbi.nlm.nih.gov/pmc/blobs/f36e/1260416/54dd20d65bbc/janat00155-0083-e.jpg
https://cdn.ncbi.nlm.nih.gov/pmc/blobs/f36e/1260416/6df2b5b65d89/janat00155-0083-f.jpg
https://cdn.ncbi.nlm.nih.gov/pmc/blobs/f36e/1260416/f34194ac5759/janat00155-0085-a.jpg
https://cdn.ncbi.nlm.nih.gov/pmc/blobs/f36e/1260416/668016393f30/janat00155-0085-b.jpg
https://cdn.ncbi.nlm.nih.gov/pmc/blobs/f36e/1260416/bdbcc80a9efa/janat00155-0085-c.jpg
https://cdn.ncbi.nlm.nih.gov/pmc/blobs/f36e/1260416/069351350e4b/janat00155-0086-a.jpg
https://cdn.ncbi.nlm.nih.gov/pmc/blobs/f36e/1260416/84dec2020e3b/janat00155-0086-b.jpg
https://cdn.ncbi.nlm.nih.gov/pmc/blobs/f36e/1260416/35c68040d2d0/janat00155-0086-c.jpg
https://cdn.ncbi.nlm.nih.gov/pmc/blobs/f36e/1260416/2c17e5221304/janat00155-0086-d.jpg
https://cdn.ncbi.nlm.nih.gov/pmc/blobs/f36e/1260416/07094212166b/janat00155-0083-a.jpg
https://cdn.ncbi.nlm.nih.gov/pmc/blobs/f36e/1260416/940c40b3b4ef/janat00155-0083-b.jpg
https://cdn.ncbi.nlm.nih.gov/pmc/blobs/f36e/1260416/d50b79ffcfa1/janat00155-0083-c.jpg
https://cdn.ncbi.nlm.nih.gov/pmc/blobs/f36e/1260416/230fce28f563/janat00155-0083-d.jpg
https://cdn.ncbi.nlm.nih.gov/pmc/blobs/f36e/1260416/54dd20d65bbc/janat00155-0083-e.jpg
https://cdn.ncbi.nlm.nih.gov/pmc/blobs/f36e/1260416/6df2b5b65d89/janat00155-0083-f.jpg
https://cdn.ncbi.nlm.nih.gov/pmc/blobs/f36e/1260416/f34194ac5759/janat00155-0085-a.jpg
https://cdn.ncbi.nlm.nih.gov/pmc/blobs/f36e/1260416/668016393f30/janat00155-0085-b.jpg
https://cdn.ncbi.nlm.nih.gov/pmc/blobs/f36e/1260416/bdbcc80a9efa/janat00155-0085-c.jpg
https://cdn.ncbi.nlm.nih.gov/pmc/blobs/f36e/1260416/069351350e4b/janat00155-0086-a.jpg
https://cdn.ncbi.nlm.nih.gov/pmc/blobs/f36e/1260416/84dec2020e3b/janat00155-0086-b.jpg
https://cdn.ncbi.nlm.nih.gov/pmc/blobs/f36e/1260416/35c68040d2d0/janat00155-0086-c.jpg
https://cdn.ncbi.nlm.nih.gov/pmc/blobs/f36e/1260416/2c17e5221304/janat00155-0086-d.jpg

相似文献

1
The structure of corpuscular nerve endings in the limbal conjunctiva of the human eye.
J Anat. 1991 Aug;177:75-84.
2
The structure of sensory nerve endings in the knee joint capsule of the dog.狗膝关节囊内感觉神经末梢的结构。
Ann Anat. 1996 Dec;178(6):515-21. doi: 10.1016/S0940-9602(96)80108-7.
3
The ultrastructure of sensory corpuscles in the skin in the hedgehog snout.刺猬口鼻部皮肤中感觉小体的超微结构。
Z Mikrosk Anat Forsch. 1979;93(4):673-88.
4
Ultrastructural three-dimensional reconstruction of group III and group IV sensory nerve endings ("free nerve endings") in the knee joint capsule of the cat: evidence for multiple receptive sites.猫膝关节囊内Ⅲ组和Ⅳ组感觉神经末梢(“游离神经末梢”)的超微结构三维重建:多感受位点的证据
J Comp Neurol. 1990 Feb 1;292(1):103-16. doi: 10.1002/cne.902920107.
5
Sensory innervation of periodontal ligament of rat molars consists of unencapsulated Ruffini-like mechanoreceptors and free nerve endings.大鼠磨牙牙周膜的感觉神经支配由无被膜的类鲁菲尼机械感受器和游离神经末梢组成。
J Comp Neurol. 1985 Jan 22;231(4):500-18. doi: 10.1002/cne.902310408.
6
Topography and ultrastructure of sensory nerve endings in the glans penis of the rat.大鼠阴茎头感觉神经末梢的局部解剖学与超微结构
J Comp Neurol. 1991 Oct 8;312(2):299-310. doi: 10.1002/cne.903120212.
7
Ultrastructure of sensory nerve terminals in the penis in green monkey (Cercopithecus aethiops sabaeus).绿猴(Cercopithecus aethiops sabaeus)阴茎感觉神经末梢的超微结构
Z Mikrosk Anat Forsch. 1977;91(3):541-52.
8
Glomerular nerve endings in corial papillae of the pig lip skin.
Z Mikrosk Anat Forsch. 1982;96(4):704-10.
9
Ultrastructure of the corpuscular nerve ending in the lymph heart of the turtle (Pseudemys scripta elegans).乌龟(锦龟)淋巴心内球状神经末梢的超微结构
Arch Histol Jpn. 1983 Feb;46(1):115-24. doi: 10.1679/aohc.46.115.
10
Lamellar and "club-shaped" corpuscular nerve endings in human gingival mucosa. A light and electron microscopic study.
Bull Group Int Rech Sci Stomatol Odontol. 1993 Mar-Jun;36(1-2):37-44.

引用本文的文献

1
The Characterization of the Neuroimmune Response in Primary Pterygia.原发性翼状胬肉神经免疫反应的特征
Int J Mol Sci. 2025 Aug 1;26(15):7417. doi: 10.3390/ijms26157417.
2
Deep Corneal Nerve Plexus Selective Damage in Persistent Neurotrophic Corneal Epithelial Defects Detected by In Vivo Multiphoton Confocal Microscopy.通过体内多光子共聚焦显微镜检测持续性神经营养性角膜上皮缺损中的深层角膜神经丛选择性损伤
Invest Ophthalmol Vis Sci. 2025 Apr 1;66(4):1. doi: 10.1167/iovs.66.4.1.
3
In Vivo Contactless, Cellular-Resolution Imaging of the Healthy and Pathological Human Limbus With 250-kHz Point-Scanning SD-OCT.

本文引用的文献

1
A clinical study of the numerical variation with age of compact nerve endings in the human conjunctiva.人结膜中致密神经末梢数量随年龄变化的临床研究。
J Neurol Neurosurg Psychiatry. 1962 May;25(2):134-6. doi: 10.1136/jnnp.25.2.134.
2
DOUBLE NERVE SUPPLY OF KRAUSE CORPUSCLES AT THE HUMAN CORNEAL LIMBUS.人类角膜缘克劳泽小体的双重神经支配。
Arch Ophthalmol. 1964 Mar;71:409-11. doi: 10.1001/archopht.1964.00970010425020.
3
Nerve endings in the conjunctiva.结膜中的神经末梢。
使用250kHz点扫描SD-OCT对健康和病理性人角膜缘进行体内非接触式细胞分辨率成像。
Transl Vis Sci Technol. 2024 Dec 2;13(12):29. doi: 10.1167/tvst.13.12.29.
4
Posterior corneoscleral limbus: Architecture, stem cells, and clinical implications.后角巩膜缘:结构、干细胞及临床意义。
Prog Retin Eye Res. 2023 Sep;96:101192. doi: 10.1016/j.preteyeres.2023.101192. Epub 2023 Jun 29.
5
Brain and Pharyngeal Responses Associated with Pharmacological Treatments for Oropharyngeal Dysphagia in Older Patients.大脑和咽反应与老年患者口咽吞咽困难的药物治疗相关。
Dysphagia. 2023 Dec;38(6):1449-1466. doi: 10.1007/s00455-023-10578-x. Epub 2023 May 5.
6
Line-scanning SD-OCT for , non-contact, volumetric, cellular resolution imaging of the human cornea and limbus.用于人角膜和角膜缘非接触式、容积式、细胞分辨率成像的线扫描频域光学相干断层扫描技术
Biomed Opt Express. 2022 Jun 17;13(7):4007-4020. doi: 10.1364/BOE.465916. eCollection 2022 Jul 1.
7
Novel detection of stem cell niche within the stroma of limbus in the rabbit during postnatal development.在兔出生后发育过程中,于角膜缘基质内的干细胞龛中新发现。
Sci Rep. 2022 Aug 12;12(1):13711. doi: 10.1038/s41598-022-18090-2.
8
Regulation of Limbal Epithelial Stem Cells: Importance of the Niche.角膜缘上皮干细胞的调控:龛位的重要性。
Int J Mol Sci. 2021 Nov 5;22(21):11975. doi: 10.3390/ijms222111975.
9
Human limbal epithelial stem cell regulation, bioengineering and function.人角膜缘上皮干细胞的调控、生物工程和功能。
Prog Retin Eye Res. 2021 Nov;85:100956. doi: 10.1016/j.preteyeres.2021.100956. Epub 2021 Mar 4.
10
Which quadrant is less painful for intravitreal injection? A prospective study.哪种象限进行玻璃体腔内注射疼痛较轻?一项前瞻性研究。
Eye (Lond). 2019 Feb;33(2):304-312. doi: 10.1038/s41433-018-0208-y. Epub 2018 Sep 10.
J Anat. 1958 Jul;92(3):321-52.
4
Encapsulated sensory corpuscle in the mucosa of human vocal cord: an electron microscope study.人声带黏膜中的被囊感觉小体:一项电子显微镜研究
Arch Histol Jpn. 1982 May;45(2):145-53. doi: 10.1679/aohc.45.145.
5
On the structure of encapsulated nerve endings in the tongue of the cat and its functional significance.
Z Mikrosk Anat Forsch. 1965;72(2):366-82.
6
[Fine structure of sensory nerve endings in the clitoris].[阴蒂中感觉神经末梢的精细结构]
Z Mikrosk Anat Forsch. 1971;84(2):293-310.
7
On the fine structure of Krause's bulbs in human skin, oral cavity and rectum.
Arch Histol Jpn. 1973 Jul;35(5):365-75. doi: 10.1679/aohc1950.35.365.
8
Ultrastructure of Krause end-bulbs in the nasal skin of the cat.
Acta Anat (Basel). 1973;84(2):224-36. doi: 10.1159/000143935.
9
Ultrastructure of the simple encapsulated nerve endings (simple end-bulbs of Krause) in the tongue of the cat.猫舌中简单被囊神经末梢(克劳斯氏简单终球)的超微结构。
J Anat. 1974 Sep;118(Pt 1):1-9.
10
The neuroanatomical basis for the protopathic sensibility of the human glans penis.人类阴茎头原发性感觉的神经解剖学基础。
Brain Res. 1986 Apr 23;371(2):205-30. doi: 10.1016/0006-8993(86)90357-4.