Suppr超能文献

秀丽隐杆线虫 agrin 表达于咽部、IL1 神经元和远端顶细胞,且与参与突触形成或肌肉功能的基因在遗传上没有相互作用。

C. elegans agrin is expressed in pharynx, IL1 neurons and distal tip cells and does not genetically interact with genes involved in synaptogenesis or muscle function.

机构信息

Friedrich Miescher Institute for Biomedical Research, Novartis Research Foundation, Basel, Switzerland.

出版信息

PLoS One. 2007 Aug 15;2(8):e731. doi: 10.1371/journal.pone.0000731.

Abstract

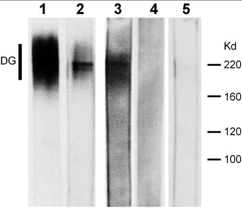
Agrin is a basement membrane protein crucial for development and maintenance of the neuromuscular junction in vertebrates. The C. elegans genome harbors a putative agrin gene agr-1. We have cloned the corresponding cDNA to determine the primary structure of the protein and expressed its recombinant fragments to raise specific antibodies. The domain organization of AGR-1 is very similar to the vertebrate orthologues. C. elegans agrin contains a signal sequence for secretion, seven follistatin domains, three EGF-like repeats and two laminin G domains. AGR-1 loss of function mutants did not exhibit any overt phenotypes and did not acquire resistance to the acetylcholine receptor agonist levamisole. Furthermore, crossing them with various mutants for components of the dystrophin-glycoprotein complex with impaired muscle function did not lead to an aggravation of the phenotypes. Promoter-GFP translational fusion as well as immunostaining of worms revealed expression of agrin in buccal epithelium and the protein deposition in the basal lamina of the pharynx. Furthermore, dorsal and ventral IL1 head neurons and distal tip cells of the gonad arms are sources of agrin production, but no expression was detectable in body muscles or in the motoneurons innervating them. Recombinant worm AGR-1 fragment is able to cluster vertebrate dystroglycan in cultured cells, implying a conservation of this interaction, but since neither of these proteins is expressed in muscle of C. elegans, this interaction may be required in different tissues. The connections between muscle cells and the basement membrane, as well as neuromuscular junctions, are structurally distinct between vertebrates and nematodes.

摘要

Agrin 是一种基底膜蛋白,对脊椎动物神经肌肉接头的发育和维持至关重要。秀丽隐杆线虫基因组中含有一个假定的 Agrin 基因 agr-1。我们已经克隆了相应的 cDNA,以确定蛋白质的一级结构,并表达其重组片段以产生特异性抗体。AGR-1 的结构域组织与脊椎动物的同源物非常相似。秀丽隐杆线虫 Agrin 含有一个分泌的信号序列,七个 follistatin 结构域,三个 EGF 样重复和两个 laminin G 结构域。AGR-1 功能丧失突变体没有表现出任何明显的表型,也没有对乙酰胆碱受体激动剂左旋咪唑产生抗性。此外,将它们与各种肌肉功能受损的肌营养不良糖蛋白复合物成分的突变体杂交,并没有导致表型加重。启动子-GFP 翻译融合以及对蠕虫的免疫染色显示 Agrin 在口腔上皮中的表达以及在咽的基底膜中的蛋白沉积。此外,背部和腹部 IL1 头部神经元和性腺臂的远端尖端细胞是 Agrin 产生的来源,但在体肌肉或支配它们的运动神经元中没有检测到表达。重组 worm Agrin 片段能够在培养的细胞中聚集脊椎动物的 dystroglycan,暗示这种相互作用的保守性,但由于这些蛋白质都不在秀丽隐杆线虫的肌肉中表达,这种相互作用可能在不同的组织中是必需的。肌肉细胞与基底膜之间的连接以及神经肌肉接头在脊椎动物和线虫之间在结构上是不同的。

https://cdn.ncbi.nlm.nih.gov/pmc/blobs/43fa/1939731/5be3e73d7b5f/pone.0000731.g001.jpg

文献AI研究员

20分钟写一篇综述,助力文献阅读效率提升50倍。

立即体验

用中文搜PubMed

大模型驱动的PubMed中文搜索引擎

马上搜索

文档翻译

学术文献翻译模型,支持多种主流文档格式。

立即体验