Suppr超能文献

ACUTE MASSIVE COLLAPSE OF THE LUNGS: A DISCUSSION OF ITS MECHANISM AND OF ITS RELATION TO FOREIGN BODIES IN THE BRONCHI AND POST-OPERATIVE COMPLICATIONS.

作者信息

Jackson C, Lee W E

出版信息

Ann Surg. 1925 Sep;82(3):364-89. doi: 10.1097/00000658-192509010-00005.

Abstract
摘要
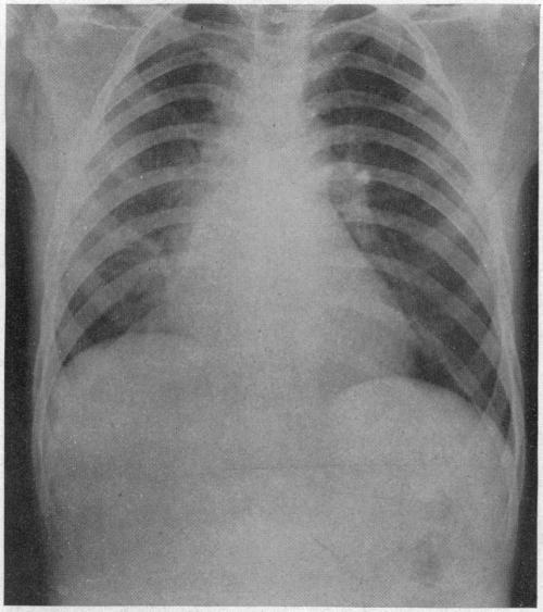
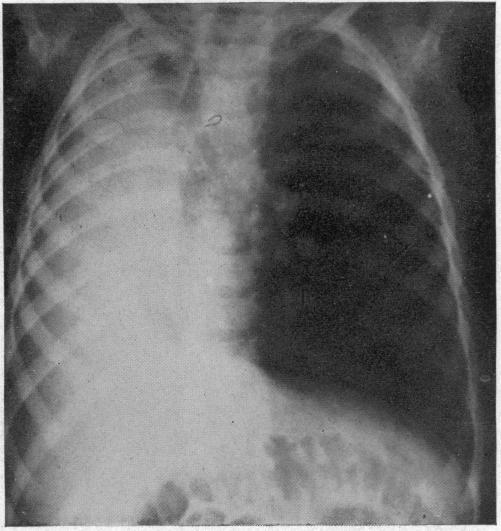
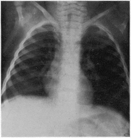
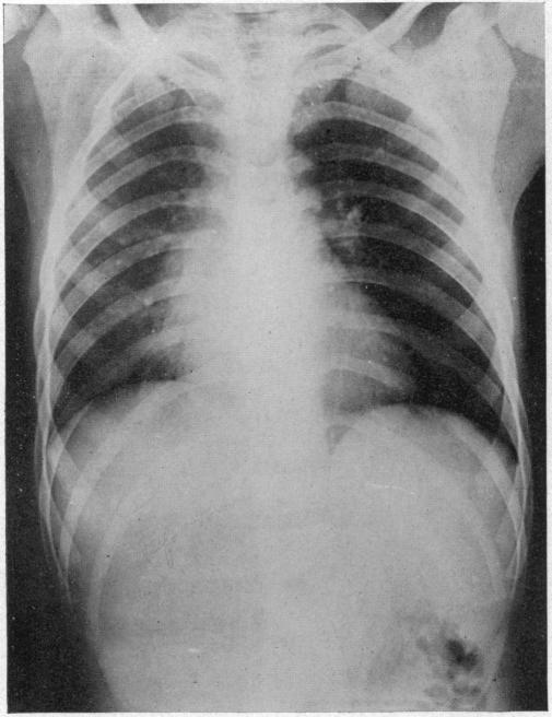
https://cdn.ncbi.nlm.nih.gov/pmc/blobs/df53/1400337/7c0ae24e3dc9/annsurg00672-0045-a.jpg

相似文献

2
[Clinical analysis of bronchial foreign bodies in 246 children].
Zhonghua Yi Xue Za Zhi. 2010 May 11;90(18):1272-4.
3
Grasses and cedar twigs as foreign bodies in the bronchi and lungs of children.
Trans Annu Meet Am Bronchoesophagol Assoc. 1953(34th Meeting):45-54.
4
Grasses and cedar twigs as foreign bodies in the bronchi and lungs of children.
Ann Otol Rhinol Laryngol. 1953 Sep;62(3):818-27. doi: 10.1177/000348945306200319.
5
Residual airway foreign bodies in children who underwent rigid bronchoscopy.
Int J Pediatr Otorhinolaryngol. 2019 Mar;118:170-176. doi: 10.1016/j.ijporl.2019.01.007. Epub 2019 Jan 7.
6
Grasses as foreign bodies in the bronchus and lung.
Laryngoscope. 1952 Sep;62(9):897-923. doi: 10.1288/00005537-195209000-00002.
7
[Diagnostic and therapeutic tasks in aspiration of foreign bodies].
Munch Med Wochenschr. 1955 Nov 25;97(47):1576-9.
8
[Foreign bodies in the bronchi of adult patients].
Pneumonol Alergol Pol. 1992;60(7-8):48-51.
10
[Perioperative management of bilateral bronchial foreign bodies in infants].
Zhonghua Er Bi Yan Hou Tou Jing Wai Ke Za Zhi. 2015 Jan;50(1):54-6.

引用本文的文献

2
5
MASSIVE PULMONARY ATELECTASIS: REPORT OF CASES.
Cal West Med. 1929 May;30(5):351-3.
6
Post-operative respiratory complications; a study of 1,000 genito-urinary cases.
Thorax. 1949 Jun;4(2):110-8. doi: 10.1136/thx.4.2.110.
7
Pulmonary collapse in pertussis.
Arch Dis Child. 1949 Mar;24(117):29-40. doi: 10.1136/adc.24.117.29.
8
INTRAPLEURAL PRESSURE IN POST-OPERATIVE ATELECTASIS.
Ann Surg. 1927 Dec;86(6):885-9. doi: 10.1097/00000658-192712000-00010.
9
OBSERVATIONS ON THE PREVENTION AND TREATMENT OF POSTOPERATIVE ATELECTASIS AND BRONCHOPNEUMONIA.
Ann Surg. 1941 Aug;114(2):243-62. doi: 10.1097/00000658-194108000-00009.
10
POSTOPERATIVE PULMONARY ATELECTASIS: REPORT OF ELEVEN CASES.
Ann Surg. 1935 Jul;102(1):5-15. doi: 10.1097/00000658-193507000-00002.

文献AI研究员

20分钟写一篇综述,助力文献阅读效率提升50倍。

立即体验

用中文搜PubMed

大模型驱动的PubMed中文搜索引擎

马上搜索

文档翻译

学术文献翻译模型,支持多种主流文档格式。

立即体验