Suppr超能文献

胆囊囊性淋巴管瘤的罕见表现。

Unusual presentation of cystic lymphangioma of the gallbladder.

作者信息

Woo Yong Sik, Joo Kwang Ro, Kim Kyung-Yup, Oh Won Taek, Kim Youn Hwa

机构信息

Department of Internal Medicine, Kyung Hee University College of Medicine, Seoul, Korea.

出版信息

Korean J Intern Med. 2007 Sep;22(3):197-200. doi: 10.3904/kjim.2007.22.3.197.

Abstract

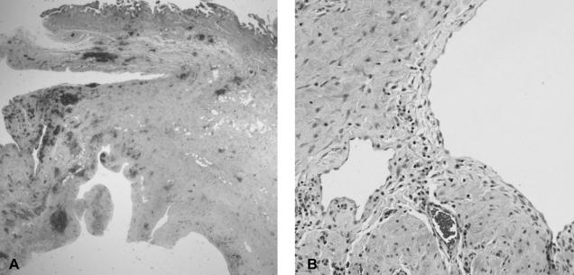
Cystic lymphangioma of the gallbladder is quite a rare tumor with only a few cases having been reported in the literature. We describe here a rare case of cystic lymphangioma of the gallbladder, which was unusual in that the patient presented with biliary pain and an abnormal liver test. Ultrasonography and computed tomography of the abdomen showed a multi-septated cystic mass in the gallbladder fossa and an adjacent compressed gallbladder. Endoscopic retrograde cholangiography showed there was no communication between the bile tract and the lesion, and there were no other abnormal findings with the exception of a laterally compressed gallbladder. After performing endoscopic sphincterotomy, a small amount of sludge was released from the bile duct. The histological findings were consistent with a cystic lymphangioma originating from the subserosal layer of the gallbladder. This unusual clinical presentation of a gallbladder cystic lymphangioma was attributed to biliary sludge, and this was induced by gallbladder dysfunction that was possibly from compression of the gallbladder due to the mass.

摘要

胆囊囊性淋巴管瘤是一种非常罕见的肿瘤,文献中仅报道过少数病例。我们在此描述一例罕见的胆囊囊性淋巴管瘤病例,该病例不同寻常之处在于患者表现为胆绞痛和肝功能检查异常。腹部超声和计算机断层扫描显示胆囊窝有一个多分隔的囊性肿块以及相邻的受压胆囊。内镜逆行胆管造影显示胆道与病变之间没有连通,除了胆囊侧向受压外没有其他异常发现。在内镜下进行括约肌切开术后,从胆管中排出了少量胆泥。组织学检查结果与起源于胆囊浆膜下层的囊性淋巴管瘤一致。胆囊囊性淋巴管瘤这种不寻常的临床表现归因于胆泥,而胆泥是由胆囊功能障碍引起的,胆囊功能障碍可能是由于肿块对胆囊的压迫所致。

https://cdn.ncbi.nlm.nih.gov/pmc/blobs/679b/2687694/2e78d153b18e/kjim-22-197-g001.jpg

文献AI研究员

20分钟写一篇综述,助力文献阅读效率提升50倍。

立即体验

用中文搜PubMed

大模型驱动的PubMed中文搜索引擎

马上搜索

文档翻译

学术文献翻译模型,支持多种主流文档格式。

立即体验