Feola Mauro, Rosso Gian Luca, Biggi Alberto, Chauvie Stephane, Leonardi Giovanni, Margaria Franca, Grosso Maurizio, Ferrero Valeria
Department of Cardiovascular Diseases, Ospedale Santa Croce-Carle Cuneo, Italy.
J Med Case Rep. 2007 Oct 30;1:120. doi: 10.1186/1752-1947-1-120.
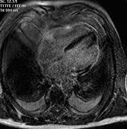
Delayed-enhancement magnetic resonance imaging (DE-MRI) has been recently proposed as an alternative tool in identifying myocardial viability and transmural distribution of necrosis in the myocardium.
We describe a case of a 71-year-old man admitted for ischemic-like chest pain in which DE-MRI and post-nitrate 99mTc-tetrofosmin myocardial scintigraphy equally contributed to the diagnosis of previous lateral myocardial infarction.
In this patient with coronary artery disease, the absence of uptake of tracer at myocardial scintigraphy appeared to be closely correlated to DE-MRI data. Cardiologists can use SPECT or DE-MRI to obtain similar information about myocardial viability.
延迟强化磁共振成像(DE-MRI)最近被提议作为一种识别心肌活力和心肌坏死透壁分布的替代工具。
我们描述了一名71岁男性因缺血样胸痛入院的病例,其中DE-MRI和硝酸酯后99mTc-替曲膦心肌闪烁显像对既往侧壁心肌梗死的诊断同样有帮助。
在这名冠心病患者中,心肌闪烁显像时示踪剂摄取缺失似乎与DE-MRI数据密切相关。心脏病专家可以使用单光子发射计算机断层显像(SPECT)或DE-MRI来获取关于心肌活力的类似信息。