Moncini Silvia, Bevilacqua Annamaria, Venturin Marco, Fallini Claudia, Ratti Antonia, Nicolin Angelo, Riva Paola
Department of Biology and Genetics, Medical Faculty, University of Milan, Via Viotti 3/5, 20133 Milan, Italy.
BMC Mol Biol. 2007 Dec 3;8:111. doi: 10.1186/1471-2199-8-111.
CDK5R1 plays a central role in neuronal migration and differentiation during central nervous system development. CDK5R1 has been implicated in neurodegenerative disorders and proposed as a candidate gene for mental retardation. The remarkable size of CDK5R1 3'-untranslated region (3'-UTR) suggests a role in post-transcriptional regulation of CDK5R1 expression.
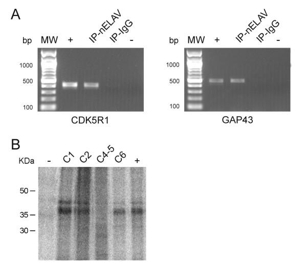
The bioinformatic study shows a high conservation degree in mammals and predicts several AU-Rich Elements (AREs). The insertion of CDK5R1 3'-UTR into luciferase 3'-UTR causes a decreased luciferase activity in four transfected cell lines. We identified 3'-UTR subregions which tend to reduce the reporter gene expression, sometimes in a cell line-dependent manner. In most cases the quantitative analysis of luciferase mRNA suggests that CDK5R1 3'-UTR affects mRNA stability. A region, leading to a very strong mRNA destabilization, showed a significantly low half-life, indicating an accelerated mRNA degradation. The 3' end of the transcript, containing a class I ARE, specifically displays a stabilizing effect in neuroblastoma cell lines. We also observed the interaction of the stabilizing neuronal RNA-binding proteins ELAV with the CDK5R1 transcript in SH-SY5Y cells and identified three 3'-UTR sub-regions showing affinity for ELAV proteins.
Our findings evince the presence of both destabilizing and stabilizing regulatory elements in CDK5R1 3'-UTR and support the hypothesis that CDK5R1 gene expression is post-transcriptionally controlled in neurons by ELAV-mediated mechanisms. This is the first evidence of the involvement of 3'-UTR in the modulation of CDK5R1 expression. The fine tuning of CDK5R1 expression by 3'-UTR may have a role in central nervous system development and functioning, with potential implications in neurodegenerative and cognitive disorders.
CDK5R1在中枢神经系统发育过程中的神经元迁移和分化中起核心作用。CDK5R1与神经退行性疾病有关,并被提议作为智力障碍的候选基因。CDK5R1 3'-非翻译区(3'-UTR)的显著长度表明其在CDK5R1表达的转录后调控中发挥作用。
生物信息学研究表明,CDK5R1在哺乳动物中具有高度保守性,并预测有几个富含AU元件(AREs)。将CDK5R1 3'-UTR插入荧光素酶3'-UTR会导致四种转染细胞系中的荧光素酶活性降低。我们鉴定出了倾向于降低报告基因表达的3'-UTR亚区域,有时这种作用具有细胞系依赖性。在大多数情况下,荧光素酶mRNA的定量分析表明CDK5R1 3'-UTR影响mRNA稳定性。一个导致mRNA非常不稳定的区域显示出显著较短的半衰期,表明mRNA降解加速。转录本的3'端包含一个I类ARE,在神经母细胞瘤细胞系中特别表现出稳定作用。我们还观察到稳定神经元RNA结合蛋白ELAV与SH-SY5Y细胞中CDK5R1转录本的相互作用,并鉴定出三个对ELAV蛋白具有亲和力的3'-UTR亚区域。
我们的研究结果表明CDK5R1 3'-UTR中存在不稳定和稳定的调控元件,并支持这样的假设,即CDK5R1基因表达在神经元中通过ELAV介导的机制受到转录后控制。这是3'-UTR参与CDK5R1表达调控的首个证据。3'-UTR对CDK5R1表达的精细调节可能在中枢神经系统发育和功能中发挥作用,对神经退行性和认知障碍具有潜在影响。