Suppr超能文献

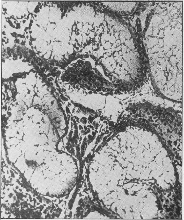
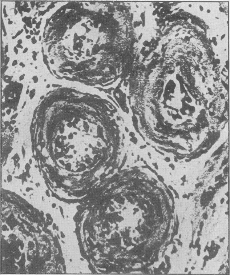
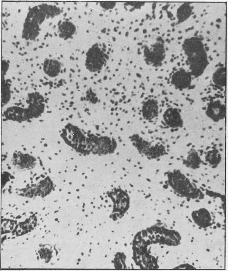
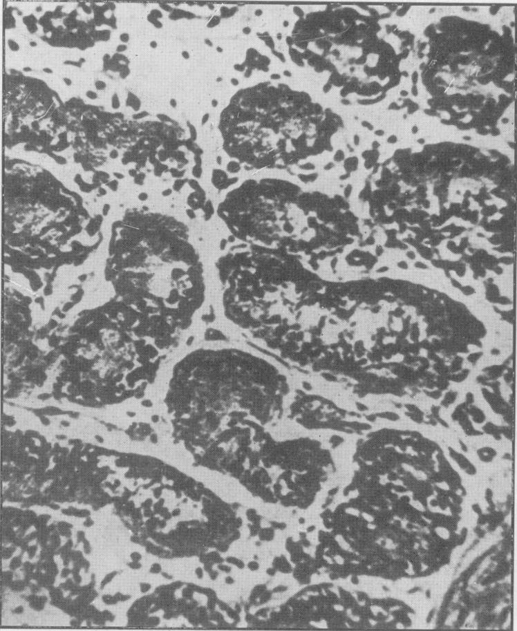
Investigations on the endocrine function of the testicle in cryptorchidism.

作者信息

ENGBERG H

出版信息

Proc R Soc Med. 1949 Sep;42(9):652-8. doi: 10.1177/003591574904200903.

Abstract
摘要
https://cdn.ncbi.nlm.nih.gov/pmc/blobs/15e0/2081336/a17d57953ff9/procrsmed00605-0016-a.jpg

相似文献

1
Investigations on the endocrine function of the testicle in cryptorchidism.
Proc R Soc Med. 1949 Sep;42(9):652-8. doi: 10.1177/003591574904200903.
3
[Endocrine function of the testes in cryptorchidism].
Endokrinologie. 1956 Mar;33(3-4):160-9.
5
Delayed treatment of undescended testes may promote hypogonadism and infertility.
Endocrine. 2017 Mar;55(3):914-924. doi: 10.1007/s12020-016-1178-0. Epub 2017 Jan 9.
6
The problem of the undescended testicle.
Med World. 1946 Mar 15;64:135-9.
7
Surgical treatment of the undescended testicle.
J Indiana State Med Assoc. 1946 Aug;39:392-4.
8
Treatment of undescended testicle.
Proc R Soc Med. 1949 Sep;42(9):643-5. doi: 10.1177/003591574904200901.
9
Management of the undescended testicle.
N Z Med J. 1949 Feb;48(263):4-6.
10
Management of cryptorchidism and gastroschisis.
J Pediatr Surg. 2011 Sep;46(9):1798-803. doi: 10.1016/j.jpedsurg.2011.01.017.

引用本文的文献

文献AI研究员

20分钟写一篇综述,助力文献阅读效率提升50倍。

立即体验

用中文搜PubMed

大模型驱动的PubMed中文搜索引擎

马上搜索

文档翻译

学术文献翻译模型,支持多种主流文档格式。

立即体验