Suppr超能文献

(18)F-FDG PET与(18)F-FDG PET/CT用于肾上腺病变特征分析:肺癌患者诊断效能的比较

(18)F-FDG PET versus (18)F-FDG PET/CT for adrenal gland lesion characterization: a comparison of diagnostic efficacy in lung cancer patients.

作者信息

Sung Yon Mi, Lee Kyung Soo, Kim Byung Tae, Choi Joon Young, Chung Myung Jin, Shim Young Mog, Yi Chin A, Kim Tae Sung

机构信息

Department of Radiology and Center for Imaging Science, Samsung Medical Center, Sungkyunkwan University School of Medicine, Kangnam-Gu, Seoul, Korea.

出版信息

Korean J Radiol. 2008 Jan-Feb;9(1):19-28. doi: 10.3348/kjr.2008.9.1.19.

Abstract

OBJECTIVE

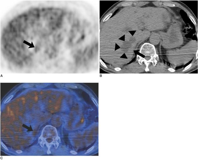
The aim of this study was to assess the diagnostic efficacy of integrated PET/CT using fluorodeoxyglucose (FDG) for the differentiation of benign and metastatic adrenal gland lesions in patients with lung cancer and to compare the diagnostic efficacy with the use of PET alone.

MATERIALS AND METHODS

Sixty-one adrenal lesions (size range, 5-104 mm; mean size, 16 mm) were evaluated retrospectively in 42 lung cancer patients. Both PET images alone and integrated PET/CT images were assessed, respectively, at two-month intervals. PET findings were interpreted as positive if the FDG uptake of adrenal lesions was greater than or equal to that of the liver, and the PET/CT findings were interpreted as positive if an adrenal lesion show attenuation > 10 HU and showed increased FDG uptake. Final diagnoses of adrenal gland lesions were made at clinical follow-up (n = 52) or by a biopsy (n = 9) when available. The diagnostic accuracies of PET and PET/CT for the characterization of adrenal lesions were compared using the McNemar test.

RESULTS

Thirty-five (57%) of the 61 adrenal lesions were metastatic and the remaining 26 lesions were benign. For the depiction of adrenal gland metastasis, the sensitivity, specificity, and accuracy of PET were 74%, 73%, and 74%, respectively, whereas those of integrated PET/CT were 80%, 89%, and 84%, respectively (p values; 0.5, 0.125, and 0.031, respectively).

CONCLUSION

The use of integrated PET/CT is more accurate than the use of PET alone for differentiating benign and metastatic adrenal gland lesions in lung cancer patients.

摘要

目的

本研究旨在评估使用氟脱氧葡萄糖(FDG)的PET/CT融合成像对肺癌患者肾上腺良性和转移性病损的鉴别诊断效能,并与单独使用PET的诊断效能进行比较。

材料与方法

回顾性评估了42例肺癌患者的61个肾上腺病损(大小范围为5 - 104 mm;平均大小为16 mm)。分别每隔两个月评估单独的PET图像和PET/CT融合图像。如果肾上腺病损的FDG摄取大于或等于肝脏,则PET检查结果判定为阳性;如果肾上腺病损的衰减>10 HU且FDG摄取增加,则PET/CT检查结果判定为阳性。肾上腺病损的最终诊断通过临床随访(n = 52)或在可行时通过活检(n = 9)做出。使用McNemar检验比较PET和PET/CT对肾上腺病损特征的诊断准确性。

结果

61个肾上腺病损中35个(57%)为转移性,其余26个病损为良性。对于肾上腺转移的显示,PET的敏感性、特异性和准确性分别为74%、73%和74%,而PET/CT融合成像的敏感性、特异性和准确性分别为80%、89%和84%(p值分别为0.5、0.125和0.031)。

结论

对于肺癌患者肾上腺良性和转移性病损的鉴别,PET/CT融合成像的使用比单独使用PET更准确。

https://cdn.ncbi.nlm.nih.gov/pmc/blobs/f758/2627169/0cd446a43f84/kjr-9-19-g001.jpg

文献AI研究员

20分钟写一篇综述,助力文献阅读效率提升50倍。

立即体验

用中文搜PubMed

大模型驱动的PubMed中文搜索引擎

马上搜索

文档翻译

学术文献翻译模型,支持多种主流文档格式。

立即体验