Suppr超能文献

急性可逆性心肌病的一种变异形式:病例报告

A variant form of acute reversible cardiomyopathy: a case report.

作者信息

Karavidas Apostolos, Arapi Sofia, Fotiadis John, Zacharoulis Achilleas, Matsakas Evagellos

机构信息

Cardiology Department, 'G, Gennimatas' Hospital, Athens, Greece.

出版信息

J Med Case Rep. 2008 Mar 7;2:74. doi: 10.1186/1752-1947-2-74.

Abstract

INTRODUCTION

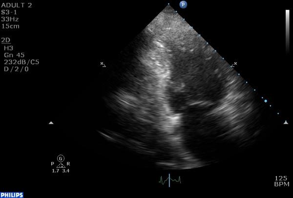
Stress cardiomyopathy, also known as Takotsubo cardiomyopathy or left ventricular apical ballooning, has been linked to emotional or physical stress resulting in transient left ventricular dysfunction. It typically affects the mid and apical left ventricular segments. At onset, it resembles acute myocardial infarction, due to the acute onset of chest pain and ST-T segment elevation. However, there is minimal biomarker elevation and a normal coronary artery angiogram.

CASE PRESENTATION

We report a case of a woman with transient myocardial injury after a stressful event, presenting with a variation of the affected segments. In this case, only the basal and mid portions of the left ventricle were affected, while the apex was completely spared. Coronary angiography revealed no significant occlusion and left ventricular function had recovered completely by the third day of hospitalization.

CONCLUSION

We present a variant form of stress cardiomyopathy, affecting the basal and mid segments of the left ventricle.

摘要

引言

应激性心肌病,也称为Takotsubo心肌病或左心室心尖气球样变,与情绪或身体应激导致的短暂性左心室功能障碍有关。它通常影响左心室的中部和心尖段。发病时,由于胸痛和ST-T段抬高的急性发作,它类似于急性心肌梗死。然而,生物标志物升高极少,冠状动脉血管造影正常。

病例报告

我们报告一例女性在应激事件后发生短暂性心肌损伤的病例,其受累节段有所不同。在该病例中,仅左心室的基底段和中段受累,而心尖完全未受累。冠状动脉造影显示无明显阻塞,住院第三天左心室功能已完全恢复。

结论

我们呈现了一种应激性心肌病的变异形式,影响左心室的基底段和中段。

https://cdn.ncbi.nlm.nih.gov/pmc/blobs/f2a1/2288610/6ea921c668fa/1752-1947-2-74-1.jpg

文献AI研究员

20分钟写一篇综述,助力文献阅读效率提升50倍。

立即体验

用中文搜PubMed

大模型驱动的PubMed中文搜索引擎

马上搜索

文档翻译

学术文献翻译模型,支持多种主流文档格式。

立即体验