Suppr超能文献

卵圆孔未闭继发基底动脉卒中的不寻常表现:一例病例报告

Unusual presentation of basilar artery stroke secondary to patent foramen ovale: a case report.

作者信息

Salam Abdul, Sanmuganathan Phil, Pycock Chris

机构信息

Specialist Registrar Geriatric/General Medicine, Worcester Royal Hospital, Worcester, UK.

出版信息

J Med Case Rep. 2008 Mar 7;2:75. doi: 10.1186/1752-1947-2-75.

Abstract

INTRODUCTION

We report a case of a patient presenting with neuropsychiatric manifestations secondary to paradoxical embolism

CASE PRESENTATION

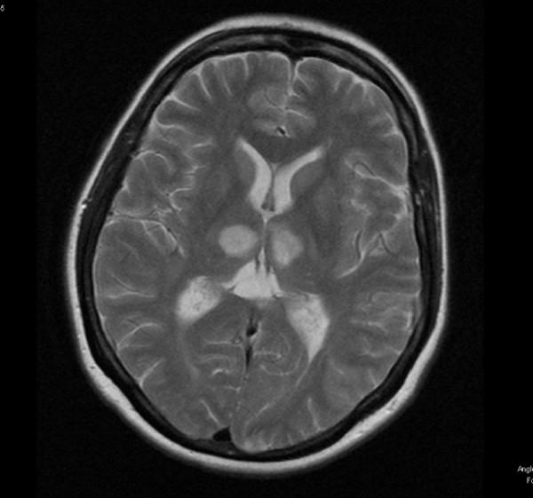
Unexplained rapid onset of confusion with amnesia and minimal neurological deficits can be a manifestation of various systemic causes of which stroke, either ischemic or hemorrhagic, is one. Thorough and systematic evaluation of these patients can be highly rewarding in terms of optimizing patient outcome. We report the case of a 45-year-old woman whose initial presentation was with acute onset of confusion, memory loss with personality change and headaches. A differential diagnosis of systemic illness and cerebral pathology was entertained. She was empirically treated for neurological infection. Brain imaging revealed bilateral thalamic and cerebellar infarction. Further evaluation with an aim to define the etiology, revealed the diagnosis of Patent Foramen Ovale with paradoxical embolism. The differential diagnosis of unexplained rapid onset of confusion, amnesia with minimal motor neurological deficits and relevant appropriate investigations are discussed in this case report.

CONCLUSION

This case highlights the importance of recognising the atypical manifestations of posterior fossa stroke. In young patients presenting with non-focal neuropsychiatric manifestations, paradoxical embolism, secondary to patent foramen ovale is a possible cause.

摘要

引言

我们报告一例因反常栓塞继发神经精神症状的患者。

病例报告

原因不明的快速出现的意识模糊伴失忆且神经功能缺损轻微,可能是多种全身性病因的表现,其中缺血性或出血性中风是病因之一。对这些患者进行全面系统的评估,在优化患者预后方面可能会有很大收获。我们报告一例45岁女性,其最初表现为急性意识模糊、记忆力丧失伴人格改变及头痛。考虑了全身性疾病和脑部病变的鉴别诊断。她接受了针对神经感染的经验性治疗。脑部影像学检查显示双侧丘脑和小脑梗死。进一步评估以明确病因,诊断为卵圆孔未闭伴反常栓塞。本病例报告讨论了原因不明的快速出现的意识模糊、失忆伴轻微运动神经功能缺损的鉴别诊断及相关的适当检查。

结论

本病例强调了认识后颅窝中风非典型表现的重要性。在出现非局灶性神经精神症状的年轻患者中,卵圆孔未闭继发的反常栓塞是一个可能的病因。

https://cdn.ncbi.nlm.nih.gov/pmc/blobs/79cd/2278152/651db41b25d6/1752-1947-2-75-1.jpg

相似文献

6
Patent foramen ovale: is stroke due to paradoxical embolism?
Stroke. 1993 Jan;24(1):31-4. doi: 10.1161/01.str.24.1.31.
7
Arterial embolism in a patient with pulmonary embolism and patent foramen ovale.
Proc (Bayl Univ Med Cent). 2019 Mar 28;32(2):256-258. doi: 10.1080/08998280.2019.1576460. eCollection 2019 Apr.
8
Paradoxical embolism through a patent foramen ovale from central venous catheter thrombosis: A potential cause of stroke.
J Neurol Sci. 2020 Jul 15;414:116820. doi: 10.1016/j.jns.2020.116820. Epub 2020 Apr 4.
9
Paradoxical Embolism of Stroke-Related Patent Foramen Ovale in a Nonagenarian Woman.
J Cardiovasc Echogr. 2019 Oct-Dec;29(4):172-174. doi: 10.4103/jcecho.jcecho_35_19.

引用本文的文献

1
Decreased consciousness: bilateral thalamic infarction and its relation to the artery of Percheron.
BMJ Case Rep. 2014 Jan 16;2014:bcr2013201848. doi: 10.1136/bcr-2013-201848.

本文引用的文献

2
Anteromedian, central, and posterolateral infarcts of the thalamus: three variant types.
Stroke. 2004 Dec;35(12):2826-31. doi: 10.1161/01.STR.0000147039.49252.2f. Epub 2004 Oct 28.
3
The cerebellar cognitive affective syndrome.
Brain. 1998 Apr;121 ( Pt 4):561-79. doi: 10.1093/brain/121.4.561.
4
Causes and mechanisms of cerebellar infarction in young patients.
Stroke. 1997 Dec;28(12):2400-4. doi: 10.1161/01.str.28.12.2400.
5
[Cerebellar infarctions and their mechanisms].
Rev Neurol (Paris). 1993;149(11):728-48.
6
Cerebellar infarction: natural history, prognosis, and pathology.
Stroke. 1987 Sep-Oct;18(5):849-55. doi: 10.1161/01.str.18.5.849.
7
Prevalence of patent foramen ovale in patients with stroke.
N Engl J Med. 1988 May 5;318(18):1148-52. doi: 10.1056/NEJM198805053181802.
8
Patent foramen ovale in young stroke patients.
Lancet. 1988 Jul 2;2(8601):11-2. doi: 10.1016/s0140-6736(88)92944-3.

文献AI研究员

20分钟写一篇综述,助力文献阅读效率提升50倍。

立即体验

用中文搜PubMed

大模型驱动的PubMed中文搜索引擎

马上搜索

文档翻译

学术文献翻译模型,支持多种主流文档格式。

立即体验