Suppr超能文献

预防长春瑞滨所致静脉炎的方法:一项在兔身上的实验研究

Methods of preventing vinorelbine-induced phlebitis: an experimental study in rabbits.

作者信息

Kohno Emiko, Murase Saori, Nishikata Mayumi, Okamura Noboru, Matzno Sumio, Kuwahara Takashi, Matsuyama Kenji

机构信息

Department of Hospital Pharmacy, Kansai Medical University Takii Hospital, 10-15 Fumizono-cho, Moriguchi, Osaka 570-8507, Japan.

出版信息

Int J Med Sci. 2008 Jul 22;5(4):218-23. doi: 10.7150/ijms.5.218.

Abstract

PURPOSE

In order to identify methods for preventing phlebitis caused by intravenous administration of vinorelbine (VNR), we established a procedure for estimating the severity of phlebitis in an animal model.

METHODS

Four different factors (administration rate, dilution, flushing, and infusion of fat emulsion) were evaluated for alleviation of phlebitis caused by VNR infusion. VNR was diluted with normal saline to prepare test solutions with concentrations of 0.6 mg/mL or 0.3 mg/mL for infusion into the auricular veins of rabbits. Two days after VNR infusion, the veins were subjected to histopathological examination.

RESULTS

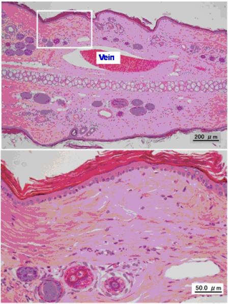
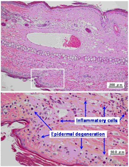
VNR did not cause obvious loss of venous endothelial cells, the most sensitive and common feature of phlebitis, but VNR infusion led to inflammatory cell infiltration, edema, and epidermal degeneration. Tissue damage was significantly decreased by shortening the administration time and by diluting the VNR solution for infusion from 0.6 mg/mL to 0.3 mg/mL. However, there was no effect of flushing with normal saline after VNR infusion, while treatment with fat emulsion before and after VNR infusion only had a minimal effect.

CONCLUSION

Rapid infusion and dilution are effective methods of reducing phlebitis caused by the infusion of VNR, but the efficacy of flushing with normal saline or infusion of fat emulsion was not confirmed.

摘要

目的

为了确定预防长春瑞滨(VNR)静脉给药引起静脉炎的方法,我们建立了一种在动物模型中评估静脉炎严重程度的程序。

方法

评估了四个不同因素(给药速率、稀释、冲洗和输注脂肪乳剂)对减轻VNR输注引起的静脉炎的作用。用生理盐水稀释VNR,制备浓度为0.6mg/mL或0.3mg/mL的测试溶液,用于输注到兔耳静脉中。VNR输注两天后,对静脉进行组织病理学检查。

结果

VNR未引起静脉炎最敏感和常见的特征——静脉内皮细胞明显缺失,但VNR输注导致炎症细胞浸润、水肿和表皮变性。通过缩短给药时间以及将用于输注的VNR溶液从0.6mg/mL稀释至0.3mg/mL,组织损伤显著减少。然而,VNR输注后用生理盐水冲洗没有效果,而在VNR输注前后用脂肪乳剂治疗仅有极小的效果。

结论

快速输注和稀释是减少VNR输注引起静脉炎的有效方法,但用生理盐水冲洗或输注脂肪乳剂的疗效未得到证实。

https://cdn.ncbi.nlm.nih.gov/pmc/blobs/ed86/2500147/beae27b3daa8/ijmsv05p0218g01.jpg

文献AI研究员

20分钟写一篇综述,助力文献阅读效率提升50倍。

立即体验

用中文搜PubMed

大模型驱动的PubMed中文搜索引擎

马上搜索

文档翻译

学术文献翻译模型,支持多种主流文档格式。

立即体验