Suppr超能文献

韩国儿童胫股角的发育情况

Development of tibiofemoral angle in Korean children.

作者信息

Yoo Jae Ho, Choi In Ho, Cho Tae-Joon, Chung Chin Youb, Yoo Won Joon

机构信息

Department of Orthopaedic Surgery, Seoul National University Children's Hospital, Jongno-gu, Seoul, Korea.

出版信息

J Korean Med Sci. 2008 Aug;23(4):714-7. doi: 10.3346/jkms.2008.23.4.714.

Abstract

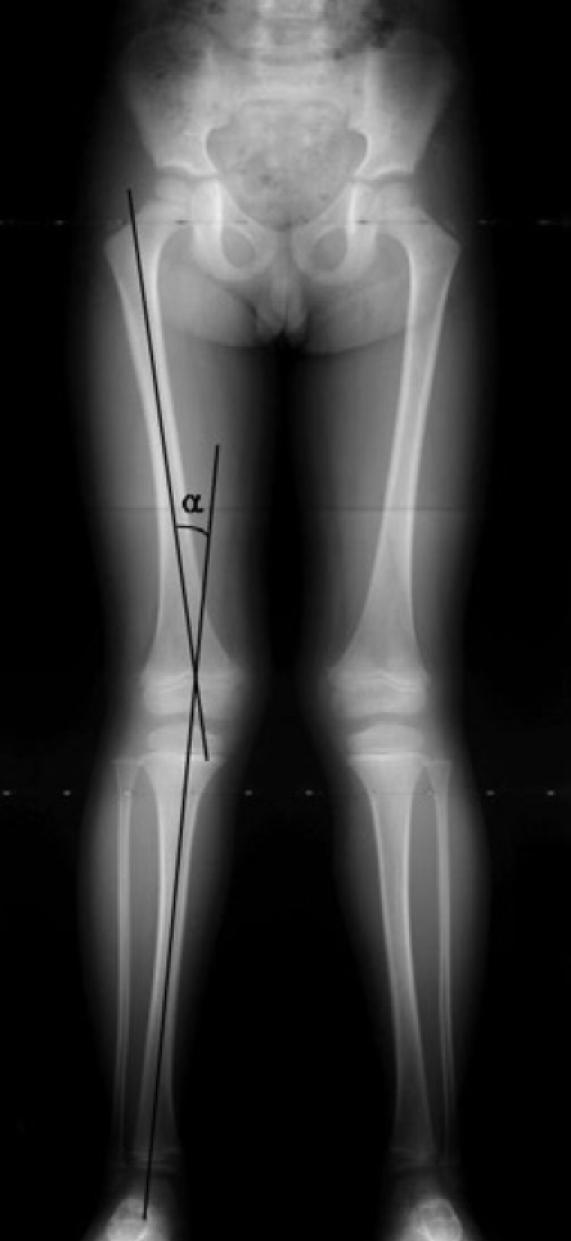
This study was performed to identify the chronological changes of the knee angle or the tibiofemoral angles in normal healthy Korean children. Full-length anteroposterior view standing radiographs of 818 limbs of 452 Korean children were analyzed. The overall patterns of the chronological changes in the knee angle were similar to those described previously in western or Asian children, but the knee angle development was delayed, i.e., genu varum before 1 yr, neutral at 1.5 yr, increasing genu valgum with maximum a value of 7.8 degrees at 4 yr, followed by a gradual decrease to approximately 5-6 degrees of genu valgum of the adult level at 7 to 8 yr of age. These normative data on chronological changes of knee angles should be taken into consideration when evaluating lower limb alignment in children.

摘要

本研究旨在确定正常健康韩国儿童膝关节角度或胫股角随时间的变化。对452名韩国儿童的818条肢体的全长前后位站立位X线片进行了分析。膝关节角度随时间变化的总体模式与先前在西方或亚洲儿童中描述的相似,但膝关节角度发育延迟,即1岁前膝内翻,1.5岁时为中立位,4岁时膝外翻增加,最大值为7.8度,随后逐渐减小,在7至8岁时达到成人水平的约5 - 6度膝外翻。在评估儿童下肢对线时,应考虑这些关于膝关节角度随时间变化的规范数据。

https://cdn.ncbi.nlm.nih.gov/pmc/blobs/d0e4/2526399/7e48644cc6d5/jkms-23-714-g001.jpg

文献AI研究员

20分钟写一篇综述,助力文献阅读效率提升50倍。

立即体验

用中文搜PubMed

大模型驱动的PubMed中文搜索引擎

马上搜索

文档翻译

学术文献翻译模型,支持多种主流文档格式。

立即体验