Suppr超能文献

根治性膀胱切除术后引流管导致的肠穿孔:一例报告

Postradical cystectomy bowel perforation caused by a drainage tube: a case report.

作者信息

Chatzidarellis Eleftherios P, Skolarikos Andreas, Mazaris Evangelos, Mitsogiannis Iraklis, Alivizatos Gerasimos

机构信息

2nd Department of Urology Athens Medical School, Sismanoglio Hospital, Athens, Greece.

出版信息

Cases J. 2008 Nov 25;1(1):350. doi: 10.1186/1757-1626-1-350.

Abstract

INTRODUCTION

Open drains are frequently placed in the abdominal cavity to prevent the collection of fluid or blood following major surgery.

CASE PRESENTATION

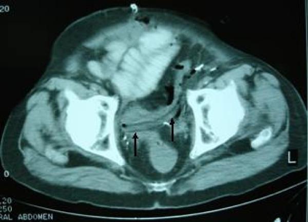
We describe a case of perforation of the large bowel caused by the drain tube placed in a 74-year-old patient who had undergone radical cystectomy for invasive bladder cancer.

摘要

引言

开放性引流管常置于腹腔内,以防止大手术后积液或积血。

病例报告

我们描述了一例74岁患者的大肠穿孔病例,该患者因浸润性膀胱癌接受了根治性膀胱切除术,穿孔由放置的引流管所致。

https://cdn.ncbi.nlm.nih.gov/pmc/blobs/24d1/2605765/246aa840ee4a/1757-1626-1-350-1.jpg

文献AI研究员

20分钟写一篇综述,助力文献阅读效率提升50倍。

立即体验

用中文搜PubMed

大模型驱动的PubMed中文搜索引擎

马上搜索

文档翻译

学术文献翻译模型,支持多种主流文档格式。

立即体验