Suppr超能文献

一名71岁白种男性中酷似心脏肿物的非缩窄性心外膜炎:病例报告及文献复习

Nonconstrictive epicarditis mimicking a cardiac mass in a 71-year-old Caucasian man: a case report and review of the literature.

作者信息

Margolis Asa M, Emmerman Andrew B, Rascon Mario, Chaudhry Saima I

机构信息

Department of Medicine North Shore University Hospital, 300 Community Drive, Manhasset, New York 11030, NY, USA.

出版信息

J Med Case Rep. 2009 Jan 6;3:2. doi: 10.1186/1752-1947-3-2.

Abstract

INTRODUCTION

Isolated cases of epicarditis are rare. Thus far, all have occurred with constrictive physiology as most cases involve both parietal and visceral pericardium. We report the first case of asymptomatic epicarditis that involved only the visceral pericardium presenting without constrictive physiology.

CASE PRESENTATION

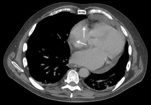
A 71-year-old male with a history of atrial fibrillation, coronary artery disease, pericardial effusion, type-2 diabetes and hypothyroidism presented with 5 weeks of fatigue and 1 day of dizziness. Physical examination was significant for pallor and tachycardia. Laboratory analysis revealed a hemoglobin count of 7.2 g/dl and iron deficiency anemia. The patient was transfused and evaluated by endoscopic ultrasound. A polypoid mass in the gastric cardia was found and later diagnosed as gastric adenocarcinoma (staged as T1N0M0). The pericardial effusion was evaluated with transthoracic echocardiography which showed a 2.0 x 2.7 cm mass associated with the right atrium. Transesophageal echocardiography confirmed the mass but did not reveal constrictive physiology. Whole-body contrast computed tomography failed to demonstrate metastatic disease. Biopsy of the cardiac mass revealed epicarditis without parietal pericardium involvement. Partial gastrectomy was performed to remove the gastric adenocarcinoma.

CONCLUSION

This is the first reported case of asymptomatic epicarditis. Our case was especially unusual because the epicarditis presented as an incidental cardiac mass. The clinical picture was complicated due to the concomitant presence of gastric adenocarcinoma and chronic pericardial effusion. This case demonstrates that epicarditis should be considered in the differential diagnosis of cardiac masses.

摘要

引言

孤立性心外膜炎病例罕见。迄今为止,所有病例均伴有缩窄性生理学表现,因为大多数病例同时累及脏层和壁层心包。我们报告首例仅累及脏层心包且无缩窄性生理学表现的无症状性心外膜炎病例。

病例介绍

一名71岁男性,有房颤、冠状动脉疾病、心包积液、2型糖尿病和甲状腺功能减退病史,出现5周疲劳及1天头晕症状。体格检查发现面色苍白和心动过速。实验室分析显示血红蛋白计数为7.2 g/dl,诊断为缺铁性贫血。患者接受输血治疗并接受内镜超声检查。发现胃贲门处有一息肉样肿物,后来诊断为胃腺癌(分期为T1N0M0)。通过经胸超声心动图评估心包积液,结果显示右心房有一个2.0×2.7 cm的肿物。经食管超声心动图证实了该肿物,但未显示缩窄性生理学表现。全身对比计算机断层扫描未发现转移性疾病。心脏肿物活检显示为心外膜炎,未累及壁层心包。患者接受了部分胃切除术以切除胃腺癌。

结论

这是首例报告的无症状性心外膜炎病例。我们的病例特别罕见,因为心外膜炎表现为偶然发现的心脏肿物。由于同时存在胃腺癌和慢性心包积液,临床情况较为复杂。该病例表明,在心脏肿物的鉴别诊断中应考虑心外膜炎。

https://cdn.ncbi.nlm.nih.gov/pmc/blobs/962a/2639604/373091e86b7d/1752-1947-3-2-1.jpg

文献AI研究员

20分钟写一篇综述,助力文献阅读效率提升50倍。

立即体验

用中文搜PubMed

大模型驱动的PubMed中文搜索引擎

马上搜索

文档翻译

学术文献翻译模型,支持多种主流文档格式。

立即体验