• 文献检索
  • 文档翻译
  • 深度研究
  • 学术资讯
  • Suppr Zotero 插件Zotero 插件
  • 邀请有礼
  • 套餐&价格
  • 历史记录
应用&插件
Suppr Zotero 插件Zotero 插件浏览器插件Mac 客户端Windows 客户端微信小程序
定价
高级版会员购买积分包购买API积分包
服务
文献检索文档翻译深度研究API 文档MCP 服务
关于我们
关于 Suppr公司介绍联系我们用户协议隐私条款
关注我们

Suppr 超能文献

核心技术专利:CN118964589B侵权必究
粤ICP备2023148730 号-1Suppr @ 2026

文献检索

告别复杂PubMed语法,用中文像聊天一样搜索,搜遍4000万医学文献。AI智能推荐,让科研检索更轻松。

立即免费搜索

文件翻译

保留排版,准确专业,支持PDF/Word/PPT等文件格式,支持 12+语言互译。

免费翻译文档

深度研究

AI帮你快速写综述,25分钟生成高质量综述,智能提取关键信息,辅助科研写作。

立即免费体验

骶骨硬膜内鳞状细胞癌。

Intradural squamous cell carcinoma in the sacrum.

作者信息

Fukushima Tatsuki, Kasai Yuichi, Kato Ko, Fujisawa Kozo, Uchida Atsumasa

机构信息

Department of Orthopaedic Surgery, Mie University Graduate School of Medicine, Tsu City, Mie, Japan.

出版信息

World J Surg Oncol. 2009 Feb 11;7:16. doi: 10.1186/1477-7819-7-16.

DOI:10.1186/1477-7819-7-16
PMID:19208260
原文链接:https://pmc.ncbi.nlm.nih.gov/articles/PMC2644692/
Abstract

BACKGROUND

Leptomeningeal carcinomatosis occurs in patients with cancer at the rate of approximately 5%; it develops particularly in patients with breast cancer, lung cancer, melanoma, leukemia, or malignant lymphoma. We describe a rare case of leptomeningeal carcinomatosis in which spinal intradural squamous cell carcinoma with no lesions in the cerebral meninges and leptomeninx, was the primary lesion.

METHODS

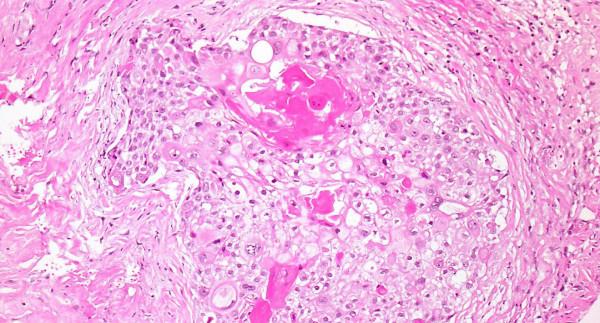
A 64-year-old man complained of sacral pain. Although the patient was treated with analgesics, epidural block and nerve root block, sacral pain persisted. Since acute urinary retention occurred, he was operated on. The patient was diagnosed as having an intradural squamous cell carcinoma of unknown origin.

RESULTS

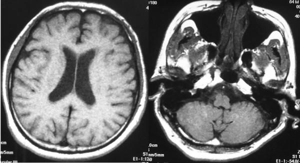
Since the patient presented with a slightly decreased level of consciousness 2 months after surgery, he was subjected to MRI scanning of the brain and spinal cord, which revealed disseminated lesions in the medulla oblongata. The patient died of pneumonia and sepsis caused by methicillin-resistant Staphylococcus aureus 5 months after surgery.

CONCLUSION

We report the first case of a patient with intradural squamous cell carcinoma with unknown origin that developed independently in the sacrum.

摘要

背景

癌性脑膜炎在癌症患者中的发生率约为5%;尤其在乳腺癌、肺癌、黑色素瘤、白血病或恶性淋巴瘤患者中易发生。我们描述了一例罕见的癌性脑膜炎病例,其原发性病变为脊髓硬膜内鳞状细胞癌,而脑膜和软脑膜无病变。

方法

一名64岁男性主诉骶骨疼痛。尽管患者接受了镇痛药、硬膜外阻滞和神经根阻滞治疗,但骶骨疼痛仍持续存在。由于出现急性尿潴留,对其进行了手术。患者被诊断为来源不明的硬膜内鳞状细胞癌。

结果

术后2个月患者出现意识水平略有下降,遂对其进行脑和脊髓的MRI扫描,结果显示延髓有播散性病变。患者术后5个月死于耐甲氧西林金黄色葡萄球菌引起的肺炎和败血症。

结论

我们报告了首例起源不明的硬膜内鳞状细胞癌独立发生于骶骨的病例。

https://cdn.ncbi.nlm.nih.gov/pmc/blobs/0324/2644692/16f4906f6115/1477-7819-7-16-7.jpg
https://cdn.ncbi.nlm.nih.gov/pmc/blobs/0324/2644692/1203a9ac4cae/1477-7819-7-16-1.jpg
https://cdn.ncbi.nlm.nih.gov/pmc/blobs/0324/2644692/7e05facbc2e4/1477-7819-7-16-2.jpg
https://cdn.ncbi.nlm.nih.gov/pmc/blobs/0324/2644692/d36188d7c144/1477-7819-7-16-3.jpg
https://cdn.ncbi.nlm.nih.gov/pmc/blobs/0324/2644692/34a54de6049a/1477-7819-7-16-4.jpg
https://cdn.ncbi.nlm.nih.gov/pmc/blobs/0324/2644692/317f17d59638/1477-7819-7-16-5.jpg
https://cdn.ncbi.nlm.nih.gov/pmc/blobs/0324/2644692/8eea5e6ff5d3/1477-7819-7-16-6.jpg
https://cdn.ncbi.nlm.nih.gov/pmc/blobs/0324/2644692/16f4906f6115/1477-7819-7-16-7.jpg
https://cdn.ncbi.nlm.nih.gov/pmc/blobs/0324/2644692/1203a9ac4cae/1477-7819-7-16-1.jpg
https://cdn.ncbi.nlm.nih.gov/pmc/blobs/0324/2644692/7e05facbc2e4/1477-7819-7-16-2.jpg
https://cdn.ncbi.nlm.nih.gov/pmc/blobs/0324/2644692/d36188d7c144/1477-7819-7-16-3.jpg
https://cdn.ncbi.nlm.nih.gov/pmc/blobs/0324/2644692/34a54de6049a/1477-7819-7-16-4.jpg
https://cdn.ncbi.nlm.nih.gov/pmc/blobs/0324/2644692/317f17d59638/1477-7819-7-16-5.jpg
https://cdn.ncbi.nlm.nih.gov/pmc/blobs/0324/2644692/8eea5e6ff5d3/1477-7819-7-16-6.jpg
https://cdn.ncbi.nlm.nih.gov/pmc/blobs/0324/2644692/16f4906f6115/1477-7819-7-16-7.jpg

相似文献

1
Intradural squamous cell carcinoma in the sacrum.骶骨硬膜内鳞状细胞癌。
World J Surg Oncol. 2009 Feb 11;7:16. doi: 10.1186/1477-7819-7-16.
2
Radiculopathy due to malignant melanoma in the sacrum with unknown primary site.骶骨恶性黑色素瘤伴原发部位不明所致的神经根病
Eur Spine J. 2008 Sep;17 Suppl 2(Suppl 2):S271-4. doi: 10.1007/s00586-007-0561-1. Epub 2007 Dec 13.
3
Diffuse large B-cell lymphoma presenting as a sacral tumor. Report of two cases.以骶骨肿瘤形式出现的弥漫性大B细胞淋巴瘤。两例报告。
Neurosurg Focus. 2003 Aug 15;15(2):E10. doi: 10.3171/foc.2003.15.2.10.
4
Malignant transformation of an intracranial large epidermoid cyst with leptomeningeal carcinomatosis: case report.颅内大型表皮样囊肿伴软脑膜癌病的恶性转化:病例报告
Neurol Med Chir (Tokyo). 2010;50(4):349-53. doi: 10.2176/nmc.50.349.
5
Primary sacral lymphoma: a case report and review of the literature.原发性骶骨淋巴瘤:一例病例报告及文献综述
Turk Neurosurg. 2011;21(4):659-62.
6
Intraosseous sacral paraganglioma with extradural extension: case report.骨内骶部副神经节瘤伴硬脊膜外延伸:病例报告。
Acta Neurochir (Wien). 2010 Mar;152(3):475-80. doi: 10.1007/s00701-009-0362-x.
7
Primary intraosseous paraganglioma of the sacrum: a case report.骶骨原发性骨内副神经节瘤:一例报告
Spine J. 2007 Nov-Dec;7(6):733-8. doi: 10.1016/j.spinee.2006.09.008. Epub 2006 Dec 22.
8
Can Navigation-assisted Surgery Help Achieve Negative Margins in Resection of Pelvic and Sacral Tumors?导航辅助手术能否帮助实现骨盆和骶骨肿瘤切除的阴性切缘?
Clin Orthop Relat Res. 2018 Mar;476(3):499-508. doi: 10.1007/s11999.0000000000000064.
9
Leptomeningeal Carcinomatosis From Carcinoma of Unknown Primary in a Young Patient: A Case Report and a Literature Review.青年患者原发性不明癌所致软脑膜癌病:1例报告及文献复习
J Investig Med High Impact Case Rep. 2019 Jan-Dec;7:2324709619869380. doi: 10.1177/2324709619869380.
10
Paraganglioma of the sacral spinal canal.骶管副神经节瘤
Neurosciences (Riyadh). 2011 Jul;16(3):270-2.

引用本文的文献

1
Primary CNS teratocarcinoma.原发性中枢神经系统畸胎癌
Front Neurol. 2012 Feb 6;3:14. doi: 10.3389/fneur.2012.00014. eCollection 2012.

本文引用的文献

1
A rare case of spinal cord metastases from oral SCC.一例罕见的口腔鳞状细胞癌脊髓转移病例。
Br J Oral Maxillofac Surg. 2008 Oct;46(7):594-5. doi: 10.1016/j.bjoms.2008.02.004. Epub 2008 Mar 24.
2
Leptomeningeal neoplasms.脑膜肿瘤。
Curr Treat Options Neurol. 2007 Jul;9(4):283-93. doi: 10.1007/s11940-007-0014-5.
3
Malignant transformation of a lumbar intradural dermoid cyst.腰椎硬膜内皮样囊肿的恶性转化
J Orthop Sci. 2007 May;12(3):300-2. doi: 10.1007/s00776-007-1125-2. Epub 2007 May 31.
4
Leptomeningeal metastasis.软脑膜转移
Cancer Invest. 2005;23(2):145-54.
5
Leptomeningeal carcinomatosis from squamous cell carcinoma of the supraglottic larynx.声门上型喉鳞状细胞癌所致软脑膜癌病
Australas Radiol. 2003 Sep;47(3):325-30. doi: 10.1046/j.1440-1673.2003.01188.x.
6
[Two cases of intramedullary spinal cord metastasis of lung cancer detected with MRI].[两例经磁共振成像检测出的肺癌脊髓髓内转移病例]
Nihon Kokyuki Gakkai Zasshi. 2003 Apr;41(4):320-3.
7
Leptomeningeal carcinomatosis.柔脑膜癌病
Cancer Treat Rev. 1999 Apr;25(2):103-19. doi: 10.1053/ctrv.1999.0119.
8
Intramedullary spinal metastasis from carcinoma of the cervix.子宫颈癌的脊髓髓内转移
Br J Radiol. 1999 Jan;72(853):89-91. doi: 10.1259/bjr.72.853.10341697.
9
Intramedullary spinal cord metastasis: report of three cases and review of the literature.脊髓髓内转移瘤:三例报告并文献复习
Surg Neurol. 1996 Oct;46(4):329-37; discussion 337-8. doi: 10.1016/s0090-3019(96)00162-0.
10
Intradural metastasis to the cauda equina from carcinoma of the anus.肛门癌硬膜内转移至马尾神经。
Spine (Phila Pa 1976). 1995 Nov 1;20(21):2341-4. doi: 10.1097/00007632-199511000-00014.