Gama V, Gomez J A, Mayo L D, Jackson M W, Danielpour D, Song K, Haas A L, Laughlin M J, Matsuyama S
Department of Medicine, Division of Hematology-Oncology, Case Comprehensive Cancer Center, Case Western Reserve University, Cleveland, OH 44106, USA.
Cell Death Differ. 2009 May;16(5):758-69. doi: 10.1038/cdd.2009.6. Epub 2009 Feb 27.
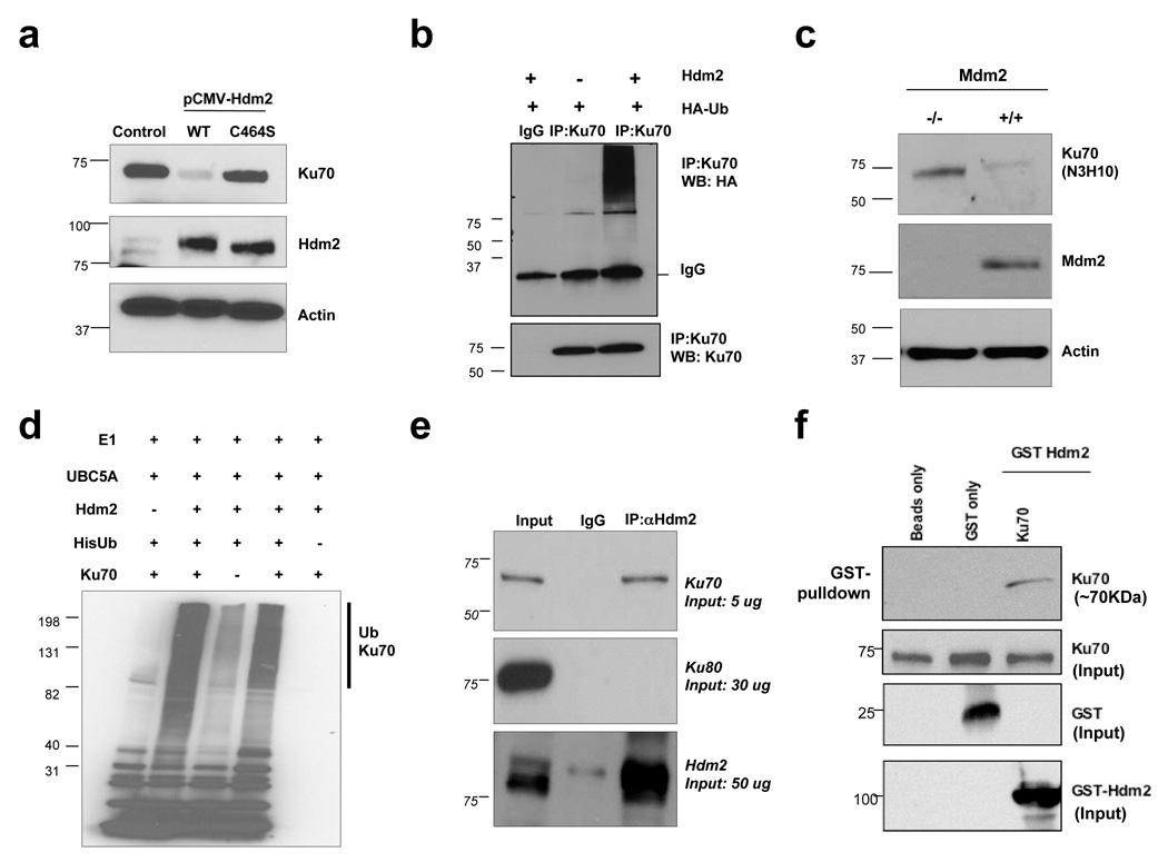
Earlier, we have reported that 70 kDa subunit of Ku protein heterodimer (Ku70) binds and inhibits Bax activity in the cytosol and that ubiquitin (Ub)-dependent proteolysis of cytosolic Ku70 facilitates Bax-mediated apoptosis. We found that Hdm2 (human homolog of murine double minute) has an ability to ubiquitinate Ku70 and that Hdm2 overexpression in cultured cells causes a decrease in Ku70 expression levels. An interaction between Ku70 and Hdm2 was shown by means of immunoprecipitation, whereas none could be shown between 80 kDa subunit of Ku protein heterodimer and Hdm2. Vascular endothelial growth factor (VEGF) is known to inhibit endothelial cell (EC) apoptosis through an Akt-mediated survival kinase signal; however, the mechanism underlying this inhibition of apoptosis has not been fully elucidated. We found that VEGF inhibited cytosolic Ku70 degradation induced by apoptotic stress. It is known that Akt-dependent phosphorylation of Hdm2 causes nuclear translocation of Hdm2 followed by Hdm2-mediated inactivation of p53. We found that VEGF stimulated nuclear translocation of Hdm2 in EC and efficiently inhibited Ku70 degradation. We also found that constitutively active Akt, but not kinase-dead Akt, inhibited Ku70 degradation in the cytosol. Furthermore, Ku70 knockdown diminished antiapoptotic activity of Akt. Taken together, we propose that Hdm2 is a Ku70 Ub ligase and that Akt inhibits Bax-mediated apoptosis, at least in part, by maintaining Ku70 levels through the promotion of Hdm2 nuclear translocation.
此前,我们曾报道过,Ku蛋白异二聚体的70 kDa亚基(Ku70)在细胞质中结合并抑制Bax活性,且细胞质中Ku70的泛素(Ub)依赖性蛋白水解促进了Bax介导的细胞凋亡。我们发现Hdm2(小鼠双微体的人类同源物)具有使Ku70泛素化的能力,并且在培养细胞中过表达Hdm2会导致Ku70表达水平降低。通过免疫沉淀显示了Ku70与Hdm2之间的相互作用,而Ku蛋白异二聚体的80 kDa亚基与Hdm2之间未显示出相互作用。血管内皮生长因子(VEGF)已知通过Akt介导的存活激酶信号抑制内皮细胞(EC)凋亡;然而,这种凋亡抑制的潜在机制尚未完全阐明。我们发现VEGF抑制了凋亡应激诱导的细胞质中Ku70的降解。已知Akt依赖性的Hdm2磷酸化会导致Hdm2的核转位,随后是Hdm2介导的p53失活。我们发现VEGF刺激了EC中Hdm2的核转位并有效抑制了Ku70的降解。我们还发现组成型活性Akt而非激酶失活的Akt抑制了细胞质中Ku70的降解。此外,敲低Ku70会减弱Akt的抗凋亡活性。综上所述,我们提出Hdm2是一种Ku70泛素连接酶,并且Akt至少部分地通过促进Hdm2核转位来维持Ku70水平,从而抑制Bax介导的细胞凋亡。