St Hill Catherine A, Farooqui Mariya, Mitcheltree Gregory, Gulbahce H Evin, Jessurun Jose, Cao Qing, Walcheck Bruce
Department of Veterinary Clinical Sciences, University of Minnesota, Room C339, Veterinary Medical Center, 1352 Boyd Avenue, St, Paul, MN 55108, USA.
BMC Cancer. 2009 Mar 6;9:79. doi: 10.1186/1471-2407-9-79.
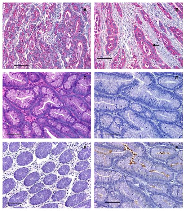
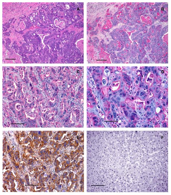
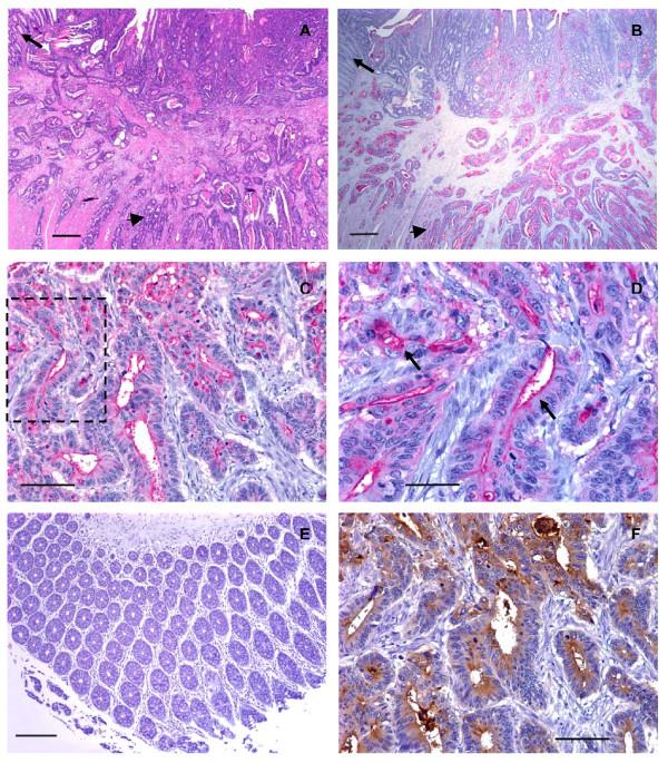
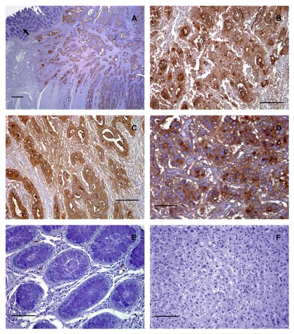
The metastasis of cancer cells and leukocyte extravasation into inflamed tissues share common features. Specialized carbohydrates modified with sialyl Lewis x (sLex) antigens on leukocyte membranes are ligands for selectin adhesion molecules on activated vascular endothelial cells at inflammatory sites. The activity of the enzyme core 2 beta1,6 N-acetylglucosaminyltransferase (C2GnT1) in leukocytes greatly increases their ability to bind to endothelial selectins. C2GnT1 is essential for the synthesis of core 2-branched O-linked carbohydrates terminated with sLex (C2-O-sLex). Our goal was to determine the expression profiles of C2-O-sLex in the malignant progression and metastasis of colorectal adenocarcinomas. The well characterized CHO-131 monoclonal antibody (mAb) specifically recognizes C2-O-sLex present in human leukocytes and carcinoma cells. Using CHO-131 mAb, we investigated whether C2-O-sLex was present in 113 human primary colorectal adenocarcinomas, 10 colorectal adenomas, 46 metastatic liver tumors, 28 normal colorectal tissues, and 5 normal liver tissues by immunohistochemistry. We also examined mRNA levels of the enzyme core 2 beta1,6-N-acetylglucosaminyltransferase (C2GnT1) in 20 well, 15 moderately, and 2 poorly differentiated colorectal adenocarcinomas, and in 5 normal colorectal tissues by using quantitative real-time polymerase chain reactions (RT-PCR).
We observed high reactivity with CHO-131 mAb in approximately 70% of colorectal carcinomas and 87% of metastatic liver tumors but a lack of reactivity in colorectal adenomas and normal colonic and liver tissues. Positive reactivity with CHO-131 mAb was very prominent in neoplastic colorectal glands of well to moderately differentiated adenocarcinomas. The most intense staining with CHO-131 mAb was observed at the advancing edge of tumors with the deepest invasive components.Finally, we analyzed C2GnT1 mRNA levels in 37 colorectal adenocarcinomas and 5 normal colorectal tissues by RT-PCR. Significantly, we observed a greater than 15-fold increase in C2GnT1 mRNA levels in colorectal adenocarcinomas compared to normal colorectal tissues.
C2-O-sLex, detected by the CHO-131 mAb, is a tumor associated antigen whose expression is highly upregulated in colorectal adenocarcinomas and metastatic liver tumors compared to normal tissues. C2-O-sLex is a potentially useful early predictor of metastasis.
癌细胞转移和白细胞渗入炎症组织具有共同特征。白细胞膜上经唾液酸化路易斯x(sLex)抗原修饰的特殊碳水化合物是炎症部位活化血管内皮细胞上选择素黏附分子的配体。白细胞中核心2β1,6-N-乙酰氨基葡萄糖转移酶(C2GnT1)的活性极大地增强了它们与内皮选择素结合的能力。C2GnT1对于合成以sLex结尾的核心2分支O-连接碳水化合物(C2-O-sLex)至关重要。我们的目标是确定C2-O-sLex在结直肠癌恶性进展和转移中的表达谱。特征明确的CHO-131单克隆抗体(mAb)特异性识别存在于人类白细胞和癌细胞中的C2-O-sLex。使用CHO-131 mAb,我们通过免疫组织化学研究了113例人类原发性结直肠癌、10例结肠腺瘤、46例转移性肝肿瘤、28例正常结肠组织和5例正常肝组织中是否存在C2-O-sLex。我们还通过定量实时聚合酶链反应(RT-PCR)检测了20例高分化、15例中分化和2例低分化结直肠癌以及5例正常结肠组织中核心2β1,6-N-乙酰氨基葡萄糖转移酶(C2GnT1)的mRNA水平。
我们观察到约70%的结直肠癌和87%的转移性肝肿瘤与CHO-131 mAb有高反应性,但结肠腺瘤以及正常结肠和肝组织中无反应性。在高分化至中分化腺癌的肿瘤性结肠腺管中,与CHO-131 mAb的阳性反应非常显著。在具有最深浸润成分的肿瘤前沿观察到CHO-131 mAb染色最强。最后,我们通过RT-PCR分析了37例结直肠癌和5例正常结肠组织中C2GnT1的mRNA水平。值得注意的是,我们观察到结直肠癌中C2GnT1的mRNA水平比正常结肠组织增加了15倍以上。
通过CHO-131 mAb检测到的C2-O-sLex是一种肿瘤相关抗原,与正常组织相比,其在结直肠癌和转移性肝肿瘤中的表达高度上调。C2-O-sLex是一种潜在有用的转移早期预测指标。