Suppr超能文献

一名20岁女孩的胰腺巨大血淋巴管瘤:1例报告并文献复习

A giant hemolymphangioma of the pancreas in a 20-year-old girl: a report of one case and review of the literature.

作者信息

Sun Li-Feng, Ye Hui-Lin, Zhou Qi-Yan, Ding Ke-Feng, Qiu Pei-Lin, Deng Yong-Chuan, Zhang Shu-Zhan, Zheng Shu

机构信息

Department of Surgical Oncology, the Second Affiliated Hospital, College of Medicine, Zhejinag University, Hangzhou Zhejiang 310009, PR China.

出版信息

World J Surg Oncol. 2009 Mar 18;7:31. doi: 10.1186/1477-7819-7-31.

Abstract

BACKGROUND

Hemolymphangioma of the pancreas is a very rare benign tumor. There were only six reports of this disease until December 2008. Herein, we report a case of giant hemolymphangioma of the pancreas in a 20-year-old girl.

CASE PRESENTATION

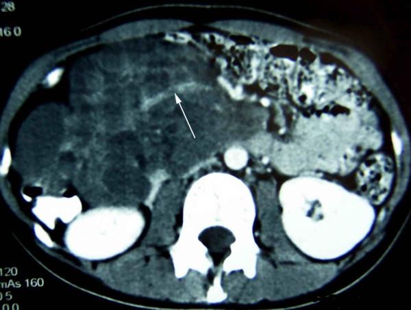
We describe a 20-year-old girl who presented with a mass in abdominal cavity and epigastric discomfort about a week. Physical examination showed a great abdominal mass. Abdominal computed tomography showed extrinsic duodenal compression due to a large retroperitoneal tumor possibly arising from pancreas. The tumor enucleation was performed and a diagnosis of hemolymphangioma of the pancreas was made. The patient had a complication of chylous leakage, which was successfully managed. The patient is alive and well, after 26 months of follow-up, with no complaints or recurrence.

CONCLUSION

From this case and literature, we can conclude that hemolymphangioma of the pancreas in adult is a rare benign tumor, and accurate diagnosis can not be preoperatively established. Tumor resection should be performed whenever possible. The risk of recurrence seems very low.

摘要

背景

胰腺血淋巴管瘤是一种非常罕见的良性肿瘤。截至2008年12月,关于该疾病的报道仅有6例。在此,我们报告一例20岁女孩的胰腺巨大血淋巴管瘤病例。

病例介绍

我们描述了一名20岁女孩,她出现腹腔肿块和上腹部不适约一周。体格检查发现腹部有一个巨大肿块。腹部计算机断层扫描显示十二指肠受外部压迫,原因是一个可能起源于胰腺的巨大腹膜后肿瘤。进行了肿瘤剜除术,并诊断为胰腺血淋巴管瘤。患者出现了乳糜漏并发症,该并发症得到了成功处理。经过26个月的随访,患者存活且状况良好,无任何不适或复发。

结论

从该病例及文献中,我们可以得出结论,成人胰腺血淋巴管瘤是一种罕见的良性肿瘤,术前无法准确诊断。只要有可能,就应进行肿瘤切除。复发风险似乎非常低。

https://cdn.ncbi.nlm.nih.gov/pmc/blobs/1100/2662842/0785b752b47f/1477-7819-7-31-1.jpg

文献AI研究员

20分钟写一篇综述,助力文献阅读效率提升50倍。

立即体验

用中文搜PubMed

大模型驱动的PubMed中文搜索引擎

马上搜索

文档翻译

学术文献翻译模型,支持多种主流文档格式。

立即体验