Suppr超能文献

快速老化小鼠角膜内皮细胞衰老的分子证据。

Molecular evidence of senescence in corneal endothelial cells of senescence-accelerated mice.

作者信息

Xiao Xuan, Wang Ye, Gong Huaqing, Chen Peng, Xie Lixin

机构信息

Department of Ophthalmology, Renmin Hospital of Wuhan University, China.

出版信息

Mol Vis. 2009;15:747-61. Epub 2009 Apr 15.

Abstract

PURPOSE

To investigate senescent evidence in corneal endothelial cells (CECs) of the senescence-accelerated mouse (SAM), which is considered a suitable animal model for the further study of the senescent mechanism in CECs.

METHODS

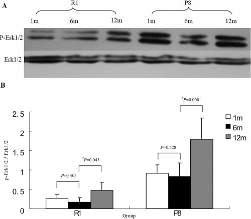
Thirty-six male mice from a senescence resistant mouse strain (SAM R1) and a senescence-prone strain (SAM P8) at various ages (1, 6, and 12 months) were analyzed in this study. The endothelial cell density (ECD) and cell viability were detected using trypan blue and alizarin red dyes while the senescent cells were observed by senescence-associated beta-galactosidase (SA-beta-Gal; pH 6.0) staining. In addition, ultrastructure was observed using an electron microscope. The senescence-related genes (p16(INK4a), p19(ARF), p21(WAF1/CIP1), and p53) in the CECs were visualized via immunohistochemistry and were quantitatively detected using real-time polymerase chain reaction (PCR). Signal proteins of phospho-extracellular signal-regulated kinase 1/2 (p-ERK 1/2) were detected by western blot analysis.

RESULTS

Our results indicated that the ECD values decreased with increasing age in both the SAM-R1 and SAM P8 series where the values in the older SAM p8 series decreased even lower than in the older SAM R1 series. The mean decreased rate was 2.276% per month in the SAM R1 and 2.755% per month in the SAM P8 series. In addition, changes in the senescence-like ultrastructure were observed in the CECs of both strains, and the increase in the positive staining of SA-beta-Gal was observed in both strains as well. It is worth noting that such changes were more significant in the SAM P8 strain. Immunohistochemical detection assays indicated the expression of p-ERK 1/2, p16(INK4a), p19(ARF), p21(WAF1/CIP1), and p53 (nuclear localization for each) in each age group analyzed. Furthermore, the results of real-time PCR studies showed an increase in the expression of p16(INK4a) mRNA as a function of age in the SAM R1 strain and in the early senescence stage of the SAM P8 strain in addition to an increase in the expression of p21(WAF1/CIP1) and p53 mRNA as a function of age in the SAM P8 strain (no significant increase was observed in the SAM R1 strain). Additional results from western blot analysis demonstrated an age-related increase in the quantity of the p-ERK 1/2 proteins in both strains.

CONCLUSIONS

The SAM R1 and SAM P8 strains represent suitable models for the study of CEC senescence in vivo. In addition, the progression of cellular senescence in CECs occurs more quickly in the SAM P8 strain as opposed to the SAM R1 strain. Our results also indicate that the p16(INK4a) signaling pathway may play a key role in the early stages of senescence in CECs while the p53/p21(WAF1/CIP1) signaling pathway may exert its principle effect in the late stages of senescence in CECs. Further study is still required about the role of the mitogen-activated protein kinase (MAPK) signaling cascade in the process of senescence in CECs.

摘要

目的

研究快速老化小鼠(SAM)角膜内皮细胞(CEC)中的衰老证据,该小鼠被认为是进一步研究CEC衰老机制的合适动物模型。

方法

本研究分析了36只来自抗衰老小鼠品系(SAM R1)和易衰老品系(SAM P8)的不同年龄(1、6和12个月)的雄性小鼠。使用台盼蓝和茜素红染料检测内皮细胞密度(ECD)和细胞活力,同时通过衰老相关β-半乳糖苷酶(SA-β-Gal;pH 6.0)染色观察衰老细胞。此外,使用电子显微镜观察超微结构。通过免疫组织化学观察CEC中衰老相关基因(p16(INK4a)、p19(ARF)、p21(WAF1/CIP1)和p53)的表达,并使用实时聚合酶链反应(PCR)进行定量检测。通过蛋白质印迹分析检测磷酸化细胞外信号调节激酶1/2(p-ERK 1/2)的信号蛋白。

结果

我们的结果表明,在SAM-R1和SAM P8系列中,ECD值均随年龄增长而降低,其中较老的SAM p8系列中的值下降得甚至比老的SAM R1系列更低。SAM R1系列中平均每月下降率为2.276%,SAM P8系列中为2.755%。此外,在两个品系的CEC中均观察到衰老样超微结构的变化,并且在两个品系中也观察到SA-β-Gal阳性染色增加。值得注意的是,这种变化在SAM P8品系中更为显著。免疫组织化学检测分析表明,在每个分析的年龄组中均有p-ERK 1/2、p16(INK4a)、p19(ARF)、p21(WAF1/CIP1)和p53(各为核定位)的表达。此外,实时PCR研究结果表明,在SAM R1品系中,p16(INK4a) mRNA的表达随年龄增加,在SAM P8品系的早期衰老阶段也增加,此外,在SAM P8品系中,p21(WAF1/CIP1)和p53 mRNA的表达随年龄增加(在SAM R1品系中未观察到显著增加)。蛋白质印迹分析的其他结果表明,两个品系中p-ERK 1/2蛋白的量均随年龄增加。

结论

SAM R1和SAM P8品系是体内研究CEC衰老的合适模型。此外,与SAM R1品系相比,CEC中细胞衰老的进展在SAM P8品系中发生得更快。我们的结果还表明,p16(INK4a)信号通路可能在CEC衰老的早期阶段起关键作用,而p53/p21(WAF1/CIP1)信号通路可能在CEC衰老的后期发挥其主要作用。关于丝裂原活化蛋白激酶(MAPK)信号级联在CEC衰老过程中的作用仍需要进一步研究。

https://cdn.ncbi.nlm.nih.gov/pmc/blobs/e113/2669445/d6d7d20deeb4/mv-v15-747-f1.jpg

文献AI研究员

20分钟写一篇综述,助力文献阅读效率提升50倍。

立即体验

用中文搜PubMed

大模型驱动的PubMed中文搜索引擎

马上搜索

文档翻译

学术文献翻译模型,支持多种主流文档格式。

立即体验