Suppr超能文献

旋转髋臼截骨术后股骨头坏死迅速缓解。

Rapid resolution of femoral head osteonecrosis after rotational acetabular osteotomy.

机构信息

Department of Orthopaedic Surgery, Juntendo University Nerima Hospital, 3-1-10 Takanodai, Nerima-ku, Tokyo 177-8521, Japan.

出版信息

J Orthop Traumatol. 2008 Dec;9(4):221-4. doi: 10.1007/s10195-008-0032-4. Epub 2008 Oct 25.

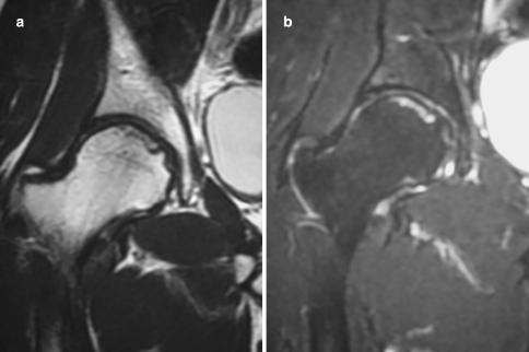
Abstract

The natural history of osteonecrosis of the femoral head is generally thought to be one of progressive deterioration if no intervention is undertaken. However, it is unknown whether surgical intervention is beneficial for patients with a small region of osteonecrosis. We observed rapid improvement of MRI findings after rotational acetabular osteotomy (RAO) was performed in a young patient with osteonecrosis of the femoral head. The band-like low signal area on T2-weighted images almost resolved by six months after surgery. He returned to work as an electrician by six months after surgery. Early surgical intervention such as RAO that alters the mechanical force acting on the necrotic region of the femoral head may accelerate the recovery of osteonecrosis and the improvement of symptoms.

摘要

股骨头坏死的自然病程通常被认为是进行性恶化的,如果不进行干预的话。然而,对于股骨头坏死中存在小区域骨坏死的患者,手术干预是否有益尚不清楚。我们观察到一位年轻的股骨头坏死患者接受了旋转髋臼截骨术(RAO)后,其 MRI 发现迅速改善。手术后六个月,T2 加权图像上的带状低信号区几乎完全消失。手术后六个月,他恢复了电工的工作。像 RAO 这样的早期手术干预可以改变作用于股骨头坏死区域的机械力,从而可能加速骨坏死的恢复和症状的改善。

https://cdn.ncbi.nlm.nih.gov/pmc/blobs/8a4d/2657333/46db7dd4bde7/10195_2008_32_Fig1_HTML.jpg

文献AI研究员

20分钟写一篇综述,助力文献阅读效率提升50倍。

立即体验

用中文搜PubMed

大模型驱动的PubMed中文搜索引擎

马上搜索

文档翻译

学术文献翻译模型,支持多种主流文档格式。

立即体验