Suppr超能文献

一种对纤维蛋白具有高亲和力的重组嵌合纤溶酶原激活剂在体外和体内均具有增强的溶栓效力。

A recombinant chimeric plasminogen activator with high affinity for fibrin has increased thrombolytic potency in vitro and in vivo.

作者信息

Runge M S, Quertermous T, Zavodny P J, Love T W, Bode C, Freitag M, Shaw S Y, Huang P L, Chou C C, Mullins D

机构信息

Cardiology Division, Emory University, Atlanta, GA 30322.

出版信息

Proc Natl Acad Sci U S A. 1991 Nov 15;88(22):10337-41. doi: 10.1073/pnas.88.22.10337.

Abstract

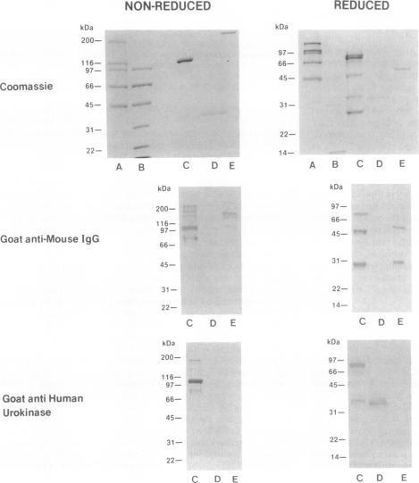
A recombinant plasminogen activator with high fibrin affinity and specificity was expressed by transfecting hybridoma cells with a plasmid that combines sequence coding for low molecular mass (32 kDa) single-chain urokinase-type plasminogen activator [scuPA(32kDa)] and anti-fibrin monoclonal antibody 59D8. The expression of the recombinant molecule [r-scuPA(32kDa)-59D8] was optimized by replacing the 3' untranslated region (initially that of high molecular mass scuPA) in the plasmid with the 3' untranslated region of either beta-globin or mouse immunoglobulin. This modification resulted in a greater than 100-fold improvement in the level of protein expression. The 103-kDa r-scuPA(32kDa)-59D8 protein displayed catalytic activity indistinguishable from that of high molecular mass scuPA and fibrin binding comparable to that of native antibody 59D8. r-scuPA(32kDa)-59D8 was 6 times more potent than high molecular mass scuPA in lysing a human plasma clot in vitro and was 20 times more potent than high molecular mass scuPA in the rabbit jugular vein model of thrombolysis. Molecules of this type may serve as prototypes for highly specific, antibody-targeted enzymes suitable for human use.

摘要

通过用一种质粒转染杂交瘤细胞来表达具有高纤维蛋白亲和力和特异性的重组纤溶酶原激活剂,该质粒将编码低分子量(32 kDa)单链尿激酶型纤溶酶原激活剂[scuPA(32kDa)]的序列与抗纤维蛋白单克隆抗体59D8结合在一起。通过用β-珠蛋白或小鼠免疫球蛋白的3'非翻译区替换质粒中的3'非翻译区(最初是高分子量scuPA的3'非翻译区),优化了重组分子[r-scuPA(32kDa)-59D8]的表达。这种修饰使蛋白质表达水平提高了100倍以上。103 kDa的r-scuPA(32kDa)-59D8蛋白表现出与高分子量scuPA无法区分的催化活性,以及与天然抗体59D8相当的纤维蛋白结合能力。在体外溶解人血浆凝块方面,r-scuPA(32kDa)-59D8比高分子量scuPA强6倍,在兔颈静脉溶栓模型中比高分子量scuPA强20倍。这类分子可作为适用于人类的高特异性、抗体靶向酶的原型。

https://cdn.ncbi.nlm.nih.gov/pmc/blobs/4634/52923/805774891b82/pnas01072-0439-a.jpg

文献AI研究员

20分钟写一篇综述,助力文献阅读效率提升50倍。

立即体验

用中文搜PubMed

大模型驱动的PubMed中文搜索引擎

马上搜索

文档翻译

学术文献翻译模型,支持多种主流文档格式。

立即体验