Kikuchi M, Mikami T, Sato T, Tokuyama W, Araki K, Watanabe M, Saigenji K, Okayasu I
Department of Pathology, Kitasato University School of Medicine, Sagamihara, Kanagawa, Japan.
Br J Cancer. 2009 Jul 7;101(1):116-23. doi: 10.1038/sj.bjc.6605105. Epub 2009 Jun 2.
Recently, preoperative chemoradiation therapy (CRT) for rectal cancer has been increasingly used as a neoadjuvant treatment. In the present study, the relation between histological response to CRT and immunohistochemical markers in biopsy specimens was investigated.
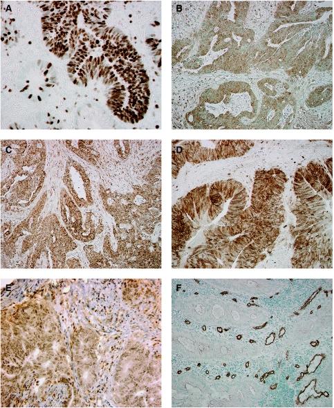
Biopsy specimens from a total of 60 patients were collected before preoperative CRT with S-1 and irinotecan, and liniac 45 Gy. Immunohistochemical staining for Ki67, Mcm3, Bax, Bcl-2, ssDNA, Grp78, thymidylate synthase (TS), dihydropyrimidine dehydrogenase (DPD), CD34, vascular endothelial growth factor, nestin, and L-type amino-acid transporter 1 was performed to allow comparison of the Ki67 labelling index (LI), Bax score, TS score, DPD score, microvessel density by CD34, and Grp78 score with cancer regression.
When the cases were divided into responders (Dworak grades 3 and 4) and non-responders (grades 1 and 2) groups, good correlations were evident with Ki67 LI, Bax, Grp78, and TS expression. On multiple logistic regression analysis, Ki67 LI, Bax, and TS scores were found to be independent factors. With their use in a logistic model, P-values could predict responder cases with a sensitivity of 82.8% and a specificity of 83.9%.
Using this system, treatment strategy for locally advanced rectal cancers can be determined before chemoradiation.
近年来,术前放化疗(CRT)作为一种新辅助治疗方法在直肠癌治疗中越来越常用。在本研究中,我们调查了活检标本中CRT组织学反应与免疫组化标志物之间的关系。
收集了60例患者在术前接受S-1和伊立替康化疗以及直线加速器45 Gy放疗之前的活检标本。对Ki67、Mcm3、Bax、Bcl-2、单链DNA、Grp78、胸苷酸合成酶(TS)、二氢嘧啶脱氢酶(DPD)、CD34、血管内皮生长因子、巢蛋白和L型氨基酸转运体1进行免疫组化染色,以便比较Ki67标记指数(LI)、Bax评分、TS评分、DPD评分、CD34微血管密度和Grp78评分与癌症消退情况。
当将病例分为反应者(Dworak分级3级和4级)和无反应者(1级和2级)组时,Ki67 LI、Bax、Grp78和TS表达之间存在明显的良好相关性。多因素逻辑回归分析发现,Ki67 LI、Bax和TS评分是独立因素。将它们用于逻辑模型时,P值可预测反应者病例,灵敏度为82.8%,特异度为83.9%。
使用该系统,可以在放化疗前确定局部晚期直肠癌的治疗策略。