Suppr超能文献

先天性半侧膈肌缺如表现为可复性系膜轴型胃扭转和膈疝:一例报告

Congenital hemidiaphragmatic agenesis presenting as reversible mesenteroaxial gastric volvulus and diaphragmatic hernia: a case report.

作者信息

Sung Hye Young, Cho Se Hyun, Sim Sung Bo, Kim Jin Il, Cheung Dae Young, Park Soo-Heon, Han Joon-Yeol, Lee Se Min, Noh Chee Ho, Park Yong-Bum, Jung Seung Eun, Lee Seon Hui, Choi Kyu Yong

机构信息

Division of Gastroenterology, Department of Internal Medicine, The Catholic University of Korea, Seoul, Korea.

出版信息

J Korean Med Sci. 2009 Jun;24(3):517-9. doi: 10.3346/jkms.2009.24.3.517. Epub 2009 Jun 16.

Abstract

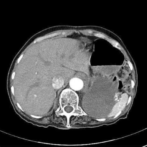
A 70-yr-old woman complained of left sided chest pain and non-bilious vomiting for four days after taking a gastric bloating agent for an upper gastrointestinal study. The chest radiography revealed gastric air-fluid levels and bowel loops in the left thoracic cavity. An emergency thoracotomy was performed. The abdominal organs (stomach, spleen, splenic flexure of the colon) were in the left thorax and the entire left hemidiaphragm was absent. There were no diaphragmatic remnants visible for reconstruction of the left diaphragm. We provided warm saline irrigation and performed a left lower lobe adhesiotomy. Thirteen days after surgery, the chest radiography showed improvement in the herniation but mild haziness remained at the left lower lung field. Here we present the oldest case of congenital diaphragmatic agenesis presenting with transient gastric volvulus and diaphragmatic hernia.

摘要

一名70岁女性在服用用于上消化道检查的胃胀气剂四天后,出现左侧胸痛和非胆汁性呕吐。胸部X线片显示左侧胸腔有胃内气液平面和肠袢。遂行急诊开胸手术。发现腹部脏器(胃、脾、结肠脾曲)位于左胸腔,整个左半膈肌缺如。未见膈肌残余组织用于重建左膈肌。我们进行了温盐水冲洗,并实施了左下叶粘连松解术。术后13天,胸部X线片显示疝出情况有所改善,但左下肺野仍有轻度模糊。在此,我们报告了年龄最大的先天性膈肌缺如病例,该病例表现为短暂性胃扭转和膈疝。

https://cdn.ncbi.nlm.nih.gov/pmc/blobs/fe50/2698203/72285733ea4f/jkms-24-517-g001.jpg

文献AI研究员

20分钟写一篇综述,助力文献阅读效率提升50倍。

立即体验

用中文搜PubMed

大模型驱动的PubMed中文搜索引擎

马上搜索

文档翻译

学术文献翻译模型,支持多种主流文档格式。

立即体验