• 文献检索
  • 文档翻译
  • 深度研究
  • 学术资讯
  • Suppr Zotero 插件Zotero 插件
  • 邀请有礼
  • 套餐&价格
  • 历史记录
应用&插件
Suppr Zotero 插件Zotero 插件浏览器插件Mac 客户端Windows 客户端微信小程序
定价
高级版会员购买积分包购买API积分包
服务
文献检索文档翻译深度研究API 文档MCP 服务
关于我们
关于 Suppr公司介绍联系我们用户协议隐私条款
关注我们

Suppr 超能文献

核心技术专利:CN118964589B侵权必究
粤ICP备2023148730 号-1Suppr @ 2026

文献检索

告别复杂PubMed语法,用中文像聊天一样搜索,搜遍4000万医学文献。AI智能推荐,让科研检索更轻松。

立即免费搜索

文件翻译

保留排版,准确专业,支持PDF/Word/PPT等文件格式,支持 12+语言互译。

免费翻译文档

深度研究

AI帮你快速写综述,25分钟生成高质量综述,智能提取关键信息,辅助科研写作。

立即免费体验

颈动脉直径与晚期糖基化终末产物N-ε-羧甲基赖氨酸(CML)之间的关联。

Association between carotid diameter and the advanced glycation end product N-epsilon-carboxymethyllysine (CML).

作者信息

Baumann Marcus, Richart Tom, Sollinger Daniel, Pelisek Jaroslav, Roos Marcel, Kouznetsova Tatiana, Eckstein Hans-Henning, Heemann Uwe, Staessen Jan A

机构信息

Department of Nephrology, Klinikum rechts der Isar, Technische Universität München, Munich, Germany.

出版信息

Cardiovasc Diabetol. 2009 Aug 6;8:45. doi: 10.1186/1475-2840-8-45.

DOI:10.1186/1475-2840-8-45
PMID:19660101
原文链接:https://pmc.ncbi.nlm.nih.gov/articles/PMC2733133/
Abstract

BACKGROUND

Nepsilon-carboxymethyllysine (CML) is the major non-cross linking advanced glycation end product (AGE). CML is elevated in diabetic patients and apparent in atherosclerotic lesions. AGEs are associated with hypertension and arterial stiffness potentially by qualitative changes of elastic fibers. We investigated whether CML affects carotid and aortic properties in normoglycemic subjects.

METHODS

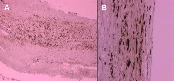
Hundred-two subjects (age 48.2+/-11.3 years) of the FLEMENGHO study were stratified according to the median of the plasma CML level (200.8 ng/ml; 25th percentile: 181.6 ng/ml, 75th percentile: 226.1 ng/ml) into "high CML" versus "low CML" as determined by ELISA. Local carotid artery properties, carotid intima media thickness (IMT), aortic pulse wave velocity (PWV), blood pressure and fetuin-A were analyzed. In 26 patients after carotidectomy, CML was visualized using immunohistochemistry.

RESULTS

According to the CML median, groups were similar for anthropometric and biochemical data. Carotid diameter was enlarged in the "high" CML group (485.7+/-122.2 versus 421.2+/-133.2 microm; P<0.05), in particular in participants with elevated blood pressure and with "high" CML ("low" CML: 377.9+/-122.2 microm and "high" CML: 514.5+/-151.6 microm; P<0.001). CML was associated fetuin-A as marker of vascular inflammation in the whole cohort (r=0.28; P<0.01) and with carotid diameter in hypertensive subjects (r=0.42; P<0.01). CML level had no effect on aortic stiffness. CML was detected in the subendothelial space of human carotid arteries.

CONCLUSION

In normoglycemic subjects CML was associated with carotid diameter without adaptive changes of elastic properties and with fetuin-A as vascular inflammation marker, in particular in subjects with elevated blood pressure. This may suggest qualitative changes of elastic fibers resulting in a defective mechanotransduction, in particular as CML is present in human carotid arteries.

摘要

背景

N-ε-羧甲基赖氨酸(CML)是主要的非交联晚期糖基化终产物(AGE)。糖尿病患者体内CML水平升高,且在动脉粥样硬化病变中较为明显。AGEs可能通过弹性纤维的质性改变与高血压和动脉僵硬度相关。我们研究了CML是否会影响血糖正常受试者的颈动脉和主动脉特性。

方法

根据FLEMENGHO研究中102名受试者(年龄48.2±11.3岁)血浆CML水平的中位数(200.8 ng/ml;第25百分位数:181.6 ng/ml,第75百分位数:226.1 ng/ml),通过酶联免疫吸附测定法(ELISA)将其分为“高CML组”和“低CML组”。分析局部颈动脉特性、颈动脉内膜中层厚度(IMT)、主动脉脉搏波速度(PWV)、血压和胎球蛋白-A。对26例颈动脉切除术后的患者,采用免疫组织化学方法观察CML。

结果

根据CML中位数,两组在人体测量和生化数据方面相似。“高”CML组的颈动脉直径增大(485.7±122.2对421.2±133.2微米;P<0.05),特别是在血压升高且CML“高”的参与者中(“低”CML:377.9±122.2微米,“高”CML:514.5±151.6微米;P<0.001)。在整个队列中,CML与作为血管炎症标志物的胎球蛋白-A相关(r=0.28;P<0.01),在高血压受试者中与颈动脉直径相关(r=0.42;P<0.01)。CML水平对主动脉僵硬度无影响。在人颈动脉的内皮下空间检测到CML。

结论

在血糖正常的受试者中,CML与颈动脉直径相关,弹性特性无适应性变化,且与作为血管炎症标志物的胎球蛋白-A相关,特别是在血压升高的受试者中。这可能提示弹性纤维的质性改变导致机械转导缺陷,尤其是因为CML存在于人体颈动脉中。

https://cdn.ncbi.nlm.nih.gov/pmc/blobs/aff5/2733133/b1374336ae6e/1475-2840-8-45-3.jpg
https://cdn.ncbi.nlm.nih.gov/pmc/blobs/aff5/2733133/13b871f536c2/1475-2840-8-45-1.jpg
https://cdn.ncbi.nlm.nih.gov/pmc/blobs/aff5/2733133/97c5e462084e/1475-2840-8-45-2.jpg
https://cdn.ncbi.nlm.nih.gov/pmc/blobs/aff5/2733133/b1374336ae6e/1475-2840-8-45-3.jpg
https://cdn.ncbi.nlm.nih.gov/pmc/blobs/aff5/2733133/13b871f536c2/1475-2840-8-45-1.jpg
https://cdn.ncbi.nlm.nih.gov/pmc/blobs/aff5/2733133/97c5e462084e/1475-2840-8-45-2.jpg
https://cdn.ncbi.nlm.nih.gov/pmc/blobs/aff5/2733133/b1374336ae6e/1475-2840-8-45-3.jpg

相似文献

1
Association between carotid diameter and the advanced glycation end product N-epsilon-carboxymethyllysine (CML).颈动脉直径与晚期糖基化终末产物N-ε-羧甲基赖氨酸(CML)之间的关联。
Cardiovasc Diabetol. 2009 Aug 6;8:45. doi: 10.1186/1475-2840-8-45.
2
Modulation of circulating levels of advanced glycation end products and its impact on intima-media thickness of both common carotid arteries: CORDIOPREV randomised controlled trial.调节循环中晚期糖基化终产物水平及其对颈总动脉内膜中层厚度的影响:CORDIOPREV 随机对照试验。
Cardiovasc Diabetol. 2024 Oct 14;23(1):361. doi: 10.1186/s12933-024-02451-4.
3
Endothelial Dysfunction and Advanced Glycation End Products in Patients with Newly Diagnosed Versus Established Diabetes: From the CORDIOPREV Study.新诊断与已确诊糖尿病患者的血管内皮功能障碍与晚期糖基化终产物:来自 CORDIOPREV 研究。
Nutrients. 2020 Jan 16;12(1):238. doi: 10.3390/nu12010238.
4
Serum carboxymethyl-lysine, an advanced glycation end product, is associated with increased aortic pulse wave velocity in adults.血清羧甲基赖氨酸是一种晚期糖基化终产物,与成人主动脉脉搏波速度增加有关。
Am J Hypertens. 2009 Jan;22(1):74-9. doi: 10.1038/ajh.2008.320. Epub 2008 Nov 20.
5
Carotid plaques, but not common carotid intima-media thickness, are independently associated with aortic stiffness.颈动脉斑块而非颈总动脉内膜中层厚度与主动脉僵硬度独立相关。
J Hypertens. 2002 Jan;20(1):85-93. doi: 10.1097/00004872-200201000-00013.
6
High plasma fetuin-A is associated with increased carotid intima-media thickness in a middle-aged population.在中年人群中,高血浆胎球蛋白-A与颈动脉内膜中层厚度增加有关。
Atherosclerosis. 2009 Dec;207(2):341-2. doi: 10.1016/j.atherosclerosis.2009.05.018. Epub 2009 May 22.
7
Associations between dietary patterns and arterial stiffness, carotid artery intima-media thickness and atherosclerosis.饮食模式与动脉僵硬度、颈动脉内膜中层厚度及动脉粥样硬化之间的关联。
Eur J Cardiovasc Prev Rehabil. 2010 Dec;17(6):718-24. doi: 10.1097/HJR.0b013e32833a197f.
8
Coronary artery calcification, common carotid artery intima-media thickness and aortic pulse wave velocity in patients on peritoneal dialysis.腹膜透析患者的冠状动脉钙化、颈总动脉内膜中层厚度及主动脉脉搏波速度
Int J Artif Organs. 2006 Aug;29(8):736-44. doi: 10.1177/039139880602900802.
9
High serum pentosidine concentrations are associated with increased arterial stiffness and thickness in patients with type 2 diabetes.2型糖尿病患者血清戊糖苷浓度升高与动脉僵硬度增加和血管壁增厚有关。
Metabolism. 2005 Mar;54(3):345-50. doi: 10.1016/j.metabol.2004.09.014.
10
Serum carboxymethyl-lysine, an advanced glycation end product, is associated with arterial stiffness in older adults.血清羧甲基赖氨酸是一种晚期糖基化终产物,与老年人的动脉僵硬度有关。
J Hypertens. 2015 Apr;33(4):797-803; discussion 803. doi: 10.1097/HJH.0000000000000460.

引用本文的文献

1
The Interplay Between Carotid Intima-Media Thickness and Selected Serum Biomarkers in Various Stages of Chronic Kidney Disease.慢性肾脏病各阶段颈动脉内膜中层厚度与选定血清生物标志物之间的相互作用
Biomedicines. 2025 Feb 1;13(2):335. doi: 10.3390/biomedicines13020335.
2
Roles of the Receptor for Advanced Glycation End Products and Its Ligands in the Pathogenesis of Alzheimer's Disease.晚期糖基化终末产物受体及其配体在阿尔茨海默病发病机制中的作用
Int J Mol Sci. 2025 Jan 5;26(1):403. doi: 10.3390/ijms26010403.
3
Advanced glycation end products measured by skin autofluorescence and subclinical cardiovascular disease: the Rotterdam Study.

本文引用的文献

1
Mechanical ventilation during experimental sepsis increases deposition of advanced glycation end products and myocardial inflammation.
Crit Care. 2009;13(3):R87. doi: 10.1186/cc7911. Epub 2009 Jun 9.
2
Role of TNF-alpha in vascular dysfunction.肿瘤坏死因子-α在血管功能障碍中的作用。
Clin Sci (Lond). 2009 Feb;116(3):219-30. doi: 10.1042/CS20080196.
3
Fetuin-A and arterial stiffness in patients with normal kidney function.正常肾功能患者的胎球蛋白-A与动脉僵硬度
Regul Pept. 2009 Apr 10;154(1-3):39-43. doi: 10.1016/j.regpep.2008.12.001. Epub 2008 Dec 13.
皮肤自发荧光测量的晚期糖基化终产物与亚临床心血管疾病:鹿特丹研究。
Cardiovasc Diabetol. 2023 Nov 28;22(1):326. doi: 10.1186/s12933-023-02052-7.
4
High serum levels of N-epsilon-carboxymethyllysine are associated with poor coronary collateralization in type 2 diabetic patients with chronic total occlusion of coronary artery.血清 N-ε-羧甲基赖氨酸水平与 2 型糖尿病合并冠状动脉慢性完全闭塞患者侧支循环不良相关。
BMC Cardiovasc Disord. 2022 Jun 22;22(1):282. doi: 10.1186/s12872-022-02694-7.
5
Advanced Glycation End Products: A Sweet Flavor That Embitters Cardiovascular Disease.晚期糖基化终产物:一种令心血管疾病苦不堪言的甜蜜味道。
Int J Mol Sci. 2022 Feb 22;23(5):2404. doi: 10.3390/ijms23052404.
6
Greater daily glucose variability and lower time in range assessed with continuous glucose monitoring are associated with greater aortic stiffness: The Maastricht Study.连续血糖监测评估的更大日葡萄糖变异性和更低的时间在范围内与更大的主动脉僵硬相关:马斯特里赫特研究。
Diabetologia. 2021 Aug;64(8):1880-1892. doi: 10.1007/s00125-021-05474-8. Epub 2021 May 15.
7
The oral glucose tolerance test-derived incremental glucose peak is associated with greater arterial stiffness and maladaptive arterial remodeling: The Maastricht Study.口服葡萄糖耐量试验衍生的增量血糖峰值与更大的动脉僵硬度和适应性不良的动脉重塑相关:马斯特里赫特研究。
Cardiovasc Diabetol. 2019 Nov 14;18(1):152. doi: 10.1186/s12933-019-0950-x.
8
Role of AGEs in the progression and regression of atherosclerotic plaques.AGEs 在动脉粥样硬化斑块的进展和消退中的作用。
Glycoconj J. 2018 Oct;35(5):443-450. doi: 10.1007/s10719-018-9831-x. Epub 2018 Jul 10.
9
A Comparative Study on Skin and Plasma Advanced Glycation End Products and Their Associations with Arterial Stiffness.皮肤和血浆晚期糖基化终产物及其与动脉僵硬度的关联的比较研究
Pulse (Basel). 2017 Jan;4(4):208-218. doi: 10.1159/000453581. Epub 2016 Dec 21.
10
Vascular effects of advanced glycation end-products: content of immunohistochemically detected AGEs in radial artery samples as a predictor for arterial calcification and cardiovascular risk in asymptomatic patients with chronic kidney disease.晚期糖基化终产物的血管效应:作为慢性肾病无症状患者动脉钙化和心血管风险预测指标的桡动脉样本中免疫组化检测的晚期糖基化终产物含量
Dis Markers. 2015;2015:153978. doi: 10.1155/2015/153978. Epub 2015 Mar 17.
4
Renal N(epsilon)-carboxymethyllysine deposition after kidney transplantation.肾移植后肾脏中N-ε-羧甲基赖氨酸的沉积
Transplantation. 2008 Jul 27;86(2):330-5. doi: 10.1097/TP.0b013e31817ef7a5.
5
Fetuin-A induces cytokine expression and suppresses adiponectin production.胎球蛋白-A诱导细胞因子表达并抑制脂联素的产生。
PLoS One. 2008 Mar 12;3(3):e1765. doi: 10.1371/journal.pone.0001765.
6
An association between the estimated glomerular filtration rate and carotid atherosclerosis.估算肾小球滤过率与颈动脉粥样硬化之间的关联。
Intern Med. 2008;47(5):391-8. doi: 10.2169/internalmedicine.47.0552. Epub 2008 Mar 3.
7
Advanced glycation end-products and arterial stiffness in hypertension.高血压中的晚期糖基化终产物与动脉僵硬度
Am J Hypertens. 2007 Mar;20(3):242-7. doi: 10.1016/j.amjhyper.2006.08.009.
8
Blockade of RAGE suppresses alloimmune reactions in vitro and delays allograft rejection in murine heart transplantation.阻断晚期糖基化终末产物受体(RAGE)可在体外抑制同种免疫反应,并延缓小鼠心脏移植中的同种异体移植排斥反应。
Am J Transplant. 2007 Feb;7(2):293-302. doi: 10.1111/j.1600-6143.2006.01617.x.
9
Association of serum fetuin-A with carotid arterial stiffness.血清胎球蛋白-A与颈动脉僵硬度的关联。
Clin Endocrinol (Oxf). 2007 Feb;66(2):246-50. doi: 10.1111/j.1365-2265.2006.02716.x.
10
The advanced glycation end product N(epsilon)-carboxymethyllysine is not a predictor of cardiovascular events and renal outcomes in patients with type 2 diabetic kidney disease and hypertension.晚期糖基化终末产物N(ε)-羧甲基赖氨酸并非2型糖尿病肾病合并高血压患者心血管事件及肾脏结局的预测指标。
Am J Kidney Dis. 2006 Oct;48(4):571-9. doi: 10.1053/j.ajkd.2006.07.009.