Suppr超能文献

慢性胰腺炎内镜治疗的最新进展。

Update on endoscopic treatment of chronic pancreatitis.

作者信息

Yoo Byung Moo, Lehman Glen A

机构信息

Division of Gastroenterology/Hepatology, Department of Medicine, Indiana University Medical Center, Indianapolis, IN 46202, USA.

出版信息

Korean J Intern Med. 2009 Sep;24(3):169-79. doi: 10.3904/kjim.2009.24.3.169. Epub 2009 Aug 26.

Abstract

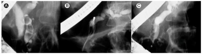
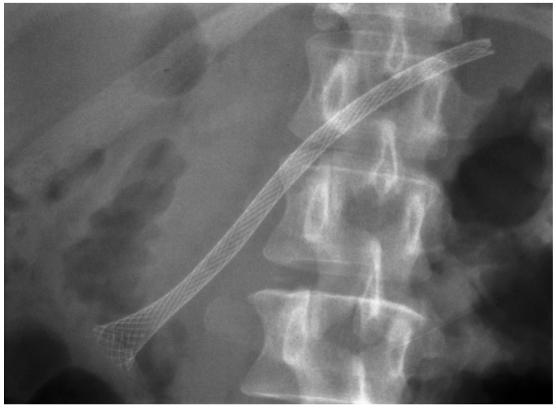
Endoscopic therapy has been increasingly recognized as the effective therapy in selected patients with chronic pancreatitis. Utility of endotherapy in various conditions occurring in chronic pancreatitis is discussed. Its efficacy, limitations, and alternatives are addressed. For the best management of these complex entities, a multidisciplinary approach involving expertise in all pancreatic specialties is essential to achieve the goal.

摘要

内镜治疗已越来越被认为是慢性胰腺炎特定患者的有效治疗方法。本文讨论了内镜治疗在慢性胰腺炎各种情况下的应用。阐述了其疗效、局限性及替代方案。对于这些复杂疾病的最佳管理,多学科方法(包括所有胰腺专业的专业知识)对于实现目标至关重要。

https://cdn.ncbi.nlm.nih.gov/pmc/blobs/52fe/2732774/215d49d01224/kjim-24-169-g001.jpg

文献AI研究员

20分钟写一篇综述,助力文献阅读效率提升50倍。

立即体验

用中文搜PubMed

大模型驱动的PubMed中文搜索引擎

马上搜索

文档翻译

学术文献翻译模型,支持多种主流文档格式。

立即体验