Suppr超能文献

泰勒空间框架在开放性胫骨干骨折治疗中的应用

Taylor spatial frame in the treatment of open tibial shaft fractures.

作者信息

Al-Sayyad Mohammed J

机构信息

Department of Orthopedic Surgery, King Abdulaziz University Hospital, Jeddah, Saudi Arabia.

出版信息

Indian J Orthop. 2008 Oct;42(4):431-8. doi: 10.4103/0019-5413.43393.

Abstract

BACKGROUND

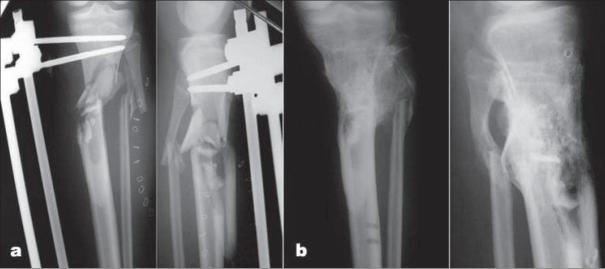
The Taylor spatial frame (TSF) is a modern multiplanar external fixator that combines the ease of application and computer accuracy in the reduction of fractures. A retrospective review of our prospective TSF database for the use of this device for treating open tibial fractures in pediatric, adolescent, and adult patients was carried out to determine the effectiveness and complications of TSF in the treatment of these fractures.

MATERIALS AND METHODS

Nineteen male patients with open tibial fractures were included. Of these fractures, 10 were Gustilo Type II, five were Gustilo Type IIIA (two had delayed primary closure and three had split thickness skin grafting), and four were Gustilo Type IIIB (all had rotational flaps). Twelve of our patients presented immediately to the emergency room, and the remaining seven cases presented at a mean of 3 months (range, 2.2-4.5 months) after the initial injury. The fractures were located in proximal third (n=1), proximal/middle junction (n=2), middle third (n=3), middle/distal junction (n=8), distal third (n=3), and segmental fractures (n=2). Patients were of an average age of 26 years (range, 6-45years). Mean duration of follow-up was 3.5 years.

RESULTS

All fractures healed over a mean of 25 weeks (range, 9-46 weeks). All were able to participate in the activities of daily living without any difficulty and most were involved in sports during the last follow-up. Postoperative complications included pin tract infection in 12 patients.

CONCLUSION

The TSF is an effective definitive method of open tibial fracture care with the advantage of early mobilization, ease of soft tissue management through gradual fracture reduction, and the ability to postoperatively manipulate the fracture into excellent alignment.

摘要

背景

泰勒空间框架(TSF)是一种现代的多平面外固定器,在骨折复位方面兼具应用简便和计算机精确性的特点。我们对前瞻性TSF数据库进行了回顾性研究,该数据库用于记录使用此设备治疗儿童、青少年和成年患者开放性胫骨骨折的情况,以确定TSF治疗这些骨折的有效性和并发症。

材料与方法

纳入19例男性开放性胫骨骨折患者。其中,10例为 Gustilo II型骨折,5例为 Gustilo IIIA型骨折(2例延迟一期缝合,3例行中厚皮片移植),4例为 Gustilo IIIB型骨折(均采用旋转皮瓣)。12例患者伤后立即就诊于急诊室,其余7例患者在初次受伤后平均3个月(范围2.2 - 4.5个月)就诊。骨折部位位于近端三分之一处(n = 1)、近端/中段交界处(n = 2)、中段三分之一处(n = 3)、中/远端交界处(n = 8)、远端三分之一处(n = 3)及节段性骨折(n = 2)。患者平均年龄26岁(范围6 - 45岁)。平均随访时间为3.5年。

结果

所有骨折平均在25周(范围9 - 46周)内愈合。所有患者均能毫无困难地参与日常生活活动,且在末次随访时大多数患者参与了体育运动。术后并发症包括12例患者出现针道感染。

结论

TSF是治疗开放性胫骨骨折的一种有效的确定性方法,具有早期活动的优势,通过逐渐复位骨折便于软组织管理,并且术后能够将骨折整复至良好对线。

https://cdn.ncbi.nlm.nih.gov/pmc/blobs/7fec/2740357/1e8852482000/IJO-42-431-g001.jpg

文献AI研究员

20分钟写一篇综述,助力文献阅读效率提升50倍。

立即体验

用中文搜PubMed

大模型驱动的PubMed中文搜索引擎

马上搜索

文档翻译

学术文献翻译模型,支持多种主流文档格式。

立即体验