Suppr超能文献

孕26周早期检测出法洛四联症合并右位心及肺动脉瓣缺如综合征。

Absent pulmonary valve syndrome with tetralogy of Fallot and associated dextrocardia detected at an early gestational age of 26 weeks.

作者信息

Bharati Alpa H, Naware Ajita, Merchant Suleman A

机构信息

Department of Radiology, Lokmanya Tilak Municipal General Hospital, Sion, Mumbai, India.

出版信息

Indian J Radiol Imaging. 2008 Nov;18(4):352-4. doi: 10.4103/0971-3026.43841.

Abstract

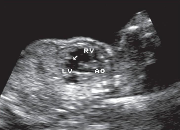
Absent pulmonary valve syndrome is a rare congenital anomaly, usually seen in association with a ventricular septal defect. It has been reported to occur in 3-6% of cases of tetralogy of Fallot. Absence of the pulmonary valve results in a dilated main pulmonary artery, which can be seen as a cystic, pulsatile, paracardiac lesion on antenatal USG. Such a lesion, though rare, can easily be detected. We report a case of this rare anomaly which was present in association with a ventricular septal defect, tetralogy of Fallot, and dextrocardia. The case was detected at 26 weeks of gestation.

摘要

肺动脉瓣缺如综合征是一种罕见的先天性畸形,通常与室间隔缺损相关。据报道,它在法洛四联症病例中发生率为3% - 6%。肺动脉瓣缺如会导致主肺动脉扩张,在产前超声检查中可表现为心脏旁的囊性、搏动性病变。这种病变虽然罕见,但很容易被检测到。我们报告了一例这种罕见畸形病例,该病例同时合并室间隔缺损、法洛四联症和右位心。该病例在妊娠26周时被检测到。

https://cdn.ncbi.nlm.nih.gov/pmc/blobs/4df8/2747463/00efe8b93e6a/IJRI-18-352-g001.jpg

文献AI研究员

20分钟写一篇综述,助力文献阅读效率提升50倍。

立即体验

用中文搜PubMed

大模型驱动的PubMed中文搜索引擎

马上搜索

文档翻译

学术文献翻译模型,支持多种主流文档格式。

立即体验