Division of Animal Sciences, National Institute of Agrobiological Sciences, Tsukuba, Ibaraki, Japan.
Proc Jpn Acad Ser B Phys Biol Sci. 2009;85(8):337-47. doi: 10.2183/pjab.85.337.
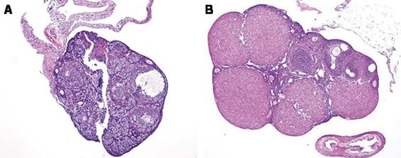
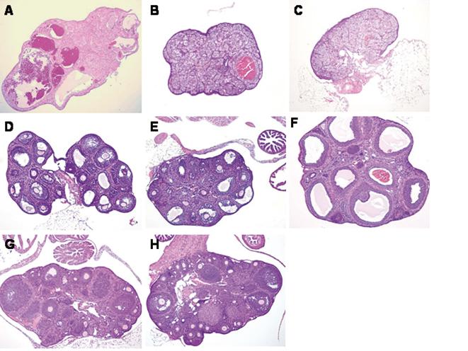
After two generations of backcrossing six different Y-consomic strains onto a C57BL/6J inbred mouse strain with a dominant hemimelia (Dh) mutation, a small percentage of Dh/+ males containing a Y chromosome from the AKR/J or RF/J strain showed hermaphrodism; they lacked the right testis and had an ovary and a uterus instead. Approximately 15% of Dh/+ females considered to be phenotypically normal had the Sry gene from the AKR/J or RF/J strain; they were actually sex-reversed XY females. Backcrossing of Y chromosomes from BALB/cA, C3H/HeJ, C57BL/6J, DH/Sgn, and DDD/Sgn onto the C57BL/6J strain with Dh did not result in hermaphrodism or sex reversal in adult mice. Subsequent linkage mapping analysis revealed that at least one C57BL/6J-derived homozygous allele at a locus on chromosome 13 was required for hermaphrodism and sex reversal. This condition was genetically distinct from known inherited sex-reversal conditions. It therefore offers a novel opportunity to investigate the genetic basis of sex determination in mammals.
经过两代回交,将六种不同的 Y 染色体同型系小鼠与携带显性半肢畸形(Dh)突变的 C57BL/6J 近交系杂交,一小部分含有 AKR/J 或 RF/J 品系 Y 染色体的 Dh/+雄性出现雌雄同体现象;它们缺少右侧睾丸,而代之以卵巢和子宫。大约 15%被认为表型正常的 Dh/+雌性具有 AKR/J 或 RF/J 品系的 Sry 基因;实际上,它们是性反转的 XY 雌性。将 Y 染色体从 BALB/cA、C3H/HeJ、C57BL/6J、DH/Sgn 和 DDD/Sgn 回交至携带 Dh 的 C57BL/6J 品系,并未导致成年小鼠出现雌雄同体或性反转。随后的连锁图谱分析表明,至少需要一个位于 13 号染色体上的 C57BL/6J 来源的纯合等位基因才能导致雌雄同体和性反转。这种情况在遗传上与已知的遗传性性别反转条件不同。因此,它为研究哺乳动物性别决定的遗传基础提供了一个新的机会。