• 文献检索
  • 文档翻译
  • 深度研究
  • 学术资讯
  • Suppr Zotero 插件Zotero 插件
  • 邀请有礼
  • 套餐&价格
  • 历史记录
应用&插件
Suppr Zotero 插件Zotero 插件浏览器插件Mac 客户端Windows 客户端微信小程序
定价
高级版会员购买积分包购买API积分包
服务
文献检索文档翻译深度研究API 文档MCP 服务
关于我们
关于 Suppr公司介绍联系我们用户协议隐私条款
关注我们

Suppr 超能文献

核心技术专利:CN118964589B侵权必究
粤ICP备2023148730 号-1Suppr @ 2026

文献检索

告别复杂PubMed语法,用中文像聊天一样搜索,搜遍4000万医学文献。AI智能推荐,让科研检索更轻松。

立即免费搜索

文件翻译

保留排版,准确专业,支持PDF/Word/PPT等文件格式,支持 12+语言互译。

免费翻译文档

深度研究

AI帮你快速写综述,25分钟生成高质量综述,智能提取关键信息,辅助科研写作。

立即免费体验

一个具有两个支链酰基转移酶缺陷等位基因的家族中枫糖尿症的分子遗传基础及该基因在人类1号染色体上的定位

Molecular genetic basis of maple syrup urine disease in a family with two defective alleles for branched chain acyltransferase and localization of the gene to human chromosome 1.

作者信息

Herring W J, Litwer S, Weber J L, Danner D J

机构信息

Department of Pediatrics, Emory University School of Medicine, Atlanta, GA.

出版信息

Am J Hum Genet. 1991 Feb;48(2):342-50.

PMID:1990841
原文链接:https://pmc.ncbi.nlm.nih.gov/articles/PMC1683011/
Abstract

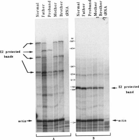
Maple syrup urine disease in humans results from inherited defects in branched chain alpha-ketoacid dehydrogenase, a mitochondrial multienzyme complex. A variety of genetic changes may produce this phenotype by affecting the function of any of the three complex-specific subunits. The varied clinical expression observed in patients may be partially explained by the defects in the involved subunit. Here we report localization of the gene for the branched chain acyltransferase component of the complex to human chromosome 1 and describe a proband who is a compound heterozygote at this locus. One allele, inherited from the father, produces transcripts with 124 nucleotides deleted from the coding region. The deletion is not found in the branched chain acyltransferase gene, implying that the deleted transcripts arise by an error in transcript processing. Cells from the patient's mother contain 50% of the normal amount of mRNA for the subunit, and the proband has inherited this nonexpressing allele from her. As a result, the proband produces no acyltransferase protein and therefore has greatly impaired complex activity. A phenotypically normal sibling is shown to be genetically similar to the mother having inherited the mother's nonexpressing allele and the father's normal allele.

摘要

人类枫糖尿症是由线粒体多酶复合物支链α-酮酸脱氢酶的遗传性缺陷引起的。多种基因变化可能通过影响三种复合物特异性亚基中任何一种的功能而产生这种表型。患者中观察到的不同临床表型可能部分由所涉及亚基的缺陷来解释。在此,我们报告该复合物的支链酰基转移酶成分的基因定位于人类染色体1,并描述了一位在该位点为复合杂合子的先证者。从父亲遗传的一个等位基因产生的转录本在编码区缺失了124个核苷酸。在支链酰基转移酶基因中未发现该缺失,这意味着缺失的转录本是由转录加工错误产生的。患者母亲的细胞中该亚基的mRNA含量为正常量的50%,先证者从她那里继承了这个不表达的等位基因。因此,先证者不产生酰基转移酶蛋白,从而复合物活性严重受损。一名表型正常的同胞在遗传上与母亲相似,继承了母亲的不表达等位基因和父亲的正常等位基因。

https://cdn.ncbi.nlm.nih.gov/pmc/blobs/0286/1683011/861243000e28/ajhg00086-0174-b.jpg
https://cdn.ncbi.nlm.nih.gov/pmc/blobs/0286/1683011/123e0e19bc04/ajhg00086-0172-a.jpg
https://cdn.ncbi.nlm.nih.gov/pmc/blobs/0286/1683011/c3e93d194a00/ajhg00086-0172-b.jpg
https://cdn.ncbi.nlm.nih.gov/pmc/blobs/0286/1683011/b66b3a1f3610/ajhg00086-0173-a.jpg
https://cdn.ncbi.nlm.nih.gov/pmc/blobs/0286/1683011/ad8f0f3e8cb2/ajhg00086-0174-a.jpg
https://cdn.ncbi.nlm.nih.gov/pmc/blobs/0286/1683011/861243000e28/ajhg00086-0174-b.jpg
https://cdn.ncbi.nlm.nih.gov/pmc/blobs/0286/1683011/123e0e19bc04/ajhg00086-0172-a.jpg
https://cdn.ncbi.nlm.nih.gov/pmc/blobs/0286/1683011/c3e93d194a00/ajhg00086-0172-b.jpg
https://cdn.ncbi.nlm.nih.gov/pmc/blobs/0286/1683011/b66b3a1f3610/ajhg00086-0173-a.jpg
https://cdn.ncbi.nlm.nih.gov/pmc/blobs/0286/1683011/ad8f0f3e8cb2/ajhg00086-0174-a.jpg
https://cdn.ncbi.nlm.nih.gov/pmc/blobs/0286/1683011/861243000e28/ajhg00086-0174-b.jpg

相似文献

1
Molecular genetic basis of maple syrup urine disease in a family with two defective alleles for branched chain acyltransferase and localization of the gene to human chromosome 1.一个具有两个支链酰基转移酶缺陷等位基因的家族中枫糖尿症的分子遗传基础及该基因在人类1号染色体上的定位
Am J Hum Genet. 1991 Feb;48(2):342-50.
2
Branched chain acyltransferase absence due to an Alu-based genomic deletion allele and an exon skipping allele in a compound heterozygote proband expressing maple syrup urine disease.一名表达枫糖尿症的复合杂合子先证者中,由于基于Alu的基因组缺失等位基因和外显子跳跃等位基因导致支链酰基转移酶缺失。
Biochim Biophys Acta. 1992 Mar 20;1138(3):236-42. doi: 10.1016/0925-4439(92)90043-m.
3
Regulation of the branched-chain alpha-ketoacid dehydrogenase and elucidation of a molecular basis for maple syrup urine disease.支链α-酮酸脱氢酶的调节及枫糖尿症分子基础的阐明。
Adv Enzyme Regul. 1990;30:245-63. doi: 10.1016/0065-2571(90)90021-s.
4
Thiamin-responsive maple syrup urine disease in a patient antigenically missing dihydrolipoamide acyltransferase.一名抗原性缺乏二氢硫辛酰胺酰基转移酶的患者患硫胺素反应性枫糖尿症。
Biochem Med Metab Biol. 1993 Jun;49(3):363-74. doi: 10.1006/bmmb.1993.1037.
5
Reversion of the maple syrup urine disease phenotype of impaired branched chain alpha-ketoacid dehydrogenase complex activity in fibroblasts from an affected child.一名患病儿童成纤维细胞中支链α-酮酸脱氢酶复合体活性受损所致枫糖尿症表型的逆转。
J Biol Chem. 1989 Sep 5;264(25):14597-600.
6
Maple syrup urine disease. Complete defect of the E1 beta subunit of the branched chain alpha-ketoacid dehydrogenase complex due to a deletion of an 11-bp repeat sequence which encodes a mitochondrial targeting leader peptide in a family with the disease.枫糖尿症。在一个患有该疾病的家族中,由于编码线粒体靶向前导肽的11个碱基对重复序列缺失,导致支链α-酮酸脱氢酶复合体的E1β亚基完全缺陷。
J Clin Invest. 1991 May;87(5):1862-6. doi: 10.1172/JCI115209.
7
Definition of the mutation responsible for maple syrup urine disease in Poll Shorthorns and genotyping Poll Shorthorns and Poll Herefords for maple syrup urine disease alleles.波耳短角牛中与枫糖尿症相关的突变定义以及对波耳短角牛和波耳赫里福德牛进行枫糖尿症等位基因基因分型
Res Vet Sci. 1999 Aug;67(1):1-6. doi: 10.1053/rvsc.1998.0296.
8
Molecular basis of intermittent maple syrup urine disease: novel mutations in the E2 gene of the branched-chain alpha-keto acid dehydrogenase complex.间歇性枫糖尿症的分子基础:支链α-酮酸脱氢酶复合体E2基因的新突变
J Hum Genet. 1998;43(2):91-100. doi: 10.1007/s100380050047.
9
Molecular defects in the E1 alpha subunit of the branched-chain alpha-ketoacid dehydrogenase complex that cause maple syrup urine disease.导致枫糖尿症的支链α-酮酸脱氢酶复合体E1α亚基的分子缺陷。
Mol Biol Med. 1991 Feb;8(1):39-47.
10
Maple syrup urine disease: domain structure, mutations and exon skipping in the dihydrolipoyl transacylase (E2) component of the branched-chain alpha-keto acid dehydrogenase complex.枫糖尿症:支链α-酮酸脱氢酶复合体中二氢硫辛酰转乙酰基酶(E2)组分的结构域结构、突变与外显子跳跃
Mol Biol Med. 1991 Feb;8(1):49-63.

引用本文的文献

1
Genomic and biochemical analysis of repeatedly observed variants in DBT in individuals with maple syrup urine disease of Central American ancestry.中美洲裔枫糖尿症患者 DBT 中反复观察到的变异的基因组和生化分析。
Am J Med Genet A. 2022 Sep;188(9):2738-2749. doi: 10.1002/ajmg.a.62893. Epub 2022 Jul 7.
2
Identification of novel mutations in BCKDHB and DBT genes in Vietnamese patients with maple sirup urine disease.鉴定越南枫糖尿症患者 BCKDHB 和 DBT 基因中的新突变。
Mol Genet Genomic Med. 2020 Aug;8(8):e1337. doi: 10.1002/mgg3.1337. Epub 2020 Jun 9.
3
The ubiquitin ligase UBE3B, disrupted in intellectual disability and absent speech, regulates metabolic pathways by targeting BCKDK.

本文引用的文献

1
A new syndrome: progressive familial infantile cerebral dysfunction associated with an unusual urinary substance.一种新综合征:与一种异常尿物质相关的进行性家族性婴儿脑功能障碍。
Pediatrics. 1954 Nov;14(5):462-7.
2
Synthesis and intracellular transport of mitochondrial matrix proteins in rat liver: studies in vivo and in vitro.
Methods Enzymol. 1983;97:396-408. doi: 10.1016/0076-6879(83)97151-3.
3
A technique for radiolabeling DNA restriction endonuclease fragments to high specific activity.一种将DNA限制性内切酶片段放射性标记至高比活度的技术。
UBE3B 是一种泛素连接酶,与智力障碍和言语缺失有关,它通过靶向 BCKDK 来调节代谢途径。
Proc Natl Acad Sci U S A. 2019 Feb 26;116(9):3662-3667. doi: 10.1073/pnas.1818751116. Epub 2019 Feb 11.
4
The management of pregnancy in maple syrup urine disease: experience with two patients.枫糖尿症患者孕期管理:两名患者的经验
JIMD Rep. 2013;10:113-7. doi: 10.1007/8904_2013_212. Epub 2013 Feb 14.
5
A simple method to confirm and size deletion, duplication, and insertion mutations detected by sequence analysis.一种通过序列分析确认和确定缺失、重复和插入突变大小的简单方法。
J Mol Diagn. 2010 Sep;12(5):607-10. doi: 10.2353/jmoldx.2010.100011. Epub 2010 Jul 15.
6
Occurrence of a 2-bp (AT) deletion allele and a nonsense (G-to-T) mutant allele at the E2 (DBT) locus of six patients with maple syrup urine disease: multiple-exon skipping as a secondary effect of the mutations.6例枫糖尿症患者E2(DBT)基因座的2碱基对(AT)缺失等位基因和无义(G到T)突变等位基因的出现:突变的次要效应为多外显子跳跃
Am J Hum Genet. 1993 Feb;52(2):414-24.
7
Maple syrup urine disease 1954 to 1993.枫糖尿症,1954年至1993年
J Inherit Metab Dis. 1994;17(1):3-15. doi: 10.1007/BF00735389.
8
Maple syrup urine disease (MSUD): screening for known mutations in Italian patients.枫糖尿症(MSUD):意大利患者已知突变的筛查
J Inherit Metab Dis. 1994;17(6):652-60. doi: 10.1007/BF00712006.
Anal Biochem. 1983 Jul 1;132(1):6-13. doi: 10.1016/0003-2697(83)90418-9.
4
A synthetic signal peptide blocks import of precursor proteins destined for the mitochondrial inner membrane or matrix.一种合成信号肽可阻止运往线粒体内膜或基质的前体蛋白的导入。
J Biol Chem. 1985 Dec 25;260(30):16045-8.
5
Gene for lipoamide dehydrogenase maps to human chromosome 7.硫辛酰胺脱氢酶基因定位于人类7号染色体。
Somat Cell Mol Genet. 1988 Jul;14(4):411-4. doi: 10.1007/BF01534650.
6
Effects of dietary protein intake on branched-chain keto acid dehydrogenase activity of the rat. Immunochemical analysis of the enzyme complex.膳食蛋白质摄入量对大鼠支链酮酸脱氢酶活性的影响。酶复合物的免疫化学分析。
J Biol Chem. 1988 Mar 5;263(7):3454-61.
7
Cloning and cDNA sequence of the dihydrolipoamide dehydrogenase component human alpha-ketoacid dehydrogenase complexes.人α-酮酸脱氢酶复合体中二氢硫辛酰胺脱氢酶组分的克隆及cDNA序列
Proc Natl Acad Sci U S A. 1988 Mar;85(5):1422-6. doi: 10.1073/pnas.85.5.1422.
8
Inhibition of branched-chain alpha-keto acid dehydrogenase kinase by alpha-chloroisocaproate.α-氯异己酸对支链α-酮酸脱氢酶激酶的抑制作用。
Methods Enzymol. 1988;166:114-23. doi: 10.1016/s0076-6879(88)66017-4.
9
Identification of mutations leading to the Lesch-Nyhan syndrome by automated direct DNA sequencing of in vitro amplified cDNA.通过对体外扩增的互补DNA(cDNA)进行自动直接DNA测序来鉴定导致莱施-奈恩综合征的突变。
Proc Natl Acad Sci U S A. 1989 Mar;86(6):1919-23. doi: 10.1073/pnas.86.6.1919.
10
Abundant class of human DNA polymorphisms which can be typed using the polymerase chain reaction.可通过聚合酶链反应进行分型的大量人类DNA多态性类别。
Am J Hum Genet. 1989 Mar;44(3):388-96.