Suppr超能文献

用于开放楔形高位胫骨截骨术后增加胫骨后倾坡度的矢状面重新排列截骨术:1例报告

Sagittal realignment osteotomy for increased posterior tibial slope after opening-wedge high tibial osteotomy: a case report.

作者信息

Kimura Yuka, Ishibashi Yasuyuki, Tsuda Eiichi, Fukuda Akira, Tsukada Harehiko

机构信息

Department of Orthopaedic Surgery, Hirosaki University Graduate School of Medicine, Hirosaki, Japan.

出版信息

Sports Med Arthrosc Rehabil Ther Technol. 2009 Nov 26;1(1):26. doi: 10.1186/1758-2555-1-26.

Abstract

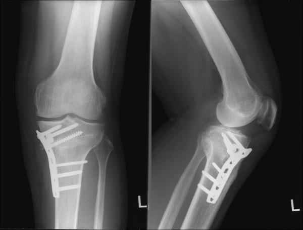
A 40 year old welder who underwent opening-wedge high tibial osteotomy for correction of alignment in a varus knee developed persistent pain with loss of knee extension. The posterior tibial slope increased from 9 degrees to 20 degrees after the osteotomy and caused the anteromedial knee pain and limited extension. The patient then underwent a revision osteotomy using a closing wedge technique to correct tibial slope. The osteotomy was performed, first from the medial cortex in the lateral direction, and second in the anteroposterior direction to remove the tibial bone in wedge shape and obtain full extension of the knee. The posterior tibial slope decreased to 8 degrees after the revision osteotomy and the patients returned to pain-free daily life. We reviewed this unique technique for correction of sagittal malalignment using a closing-wedge osteotomy for revision after opening-wedge osteotomy.

摘要

一名40岁的焊工因膝内翻接受了开放性楔形高位胫骨截骨术以矫正力线,术后出现持续疼痛且膝关节伸展受限。截骨术后胫骨后倾角度从9度增加到20度,导致膝关节前内侧疼痛和伸展受限。该患者随后采用闭合楔形技术进行翻修截骨术以矫正胫骨倾斜度。截骨术首先从内侧皮质向外侧进行,然后从前向后进行,以楔形切除胫骨骨质,使膝关节完全伸直。翻修截骨术后胫骨后倾角度降至8度,患者恢复了无痛的日常生活。我们回顾了这种使用闭合楔形截骨术矫正矢状面畸形的独特技术,用于开放性楔形截骨术后的翻修。

https://cdn.ncbi.nlm.nih.gov/pmc/blobs/c9a4/2789041/ddc4e26759f4/1758-2555-1-26-1.jpg

文献AI研究员

20分钟写一篇综述,助力文献阅读效率提升50倍。

立即体验

用中文搜PubMed

大模型驱动的PubMed中文搜索引擎

马上搜索

文档翻译

学术文献翻译模型,支持多种主流文档格式。

立即体验