Suppr超能文献

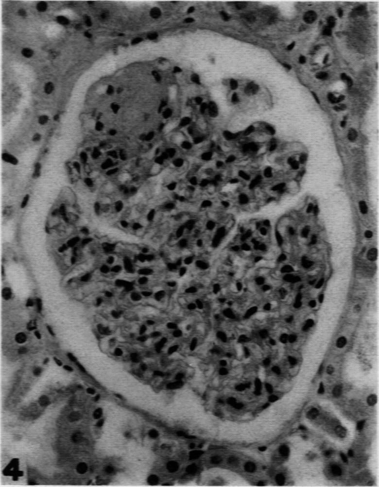
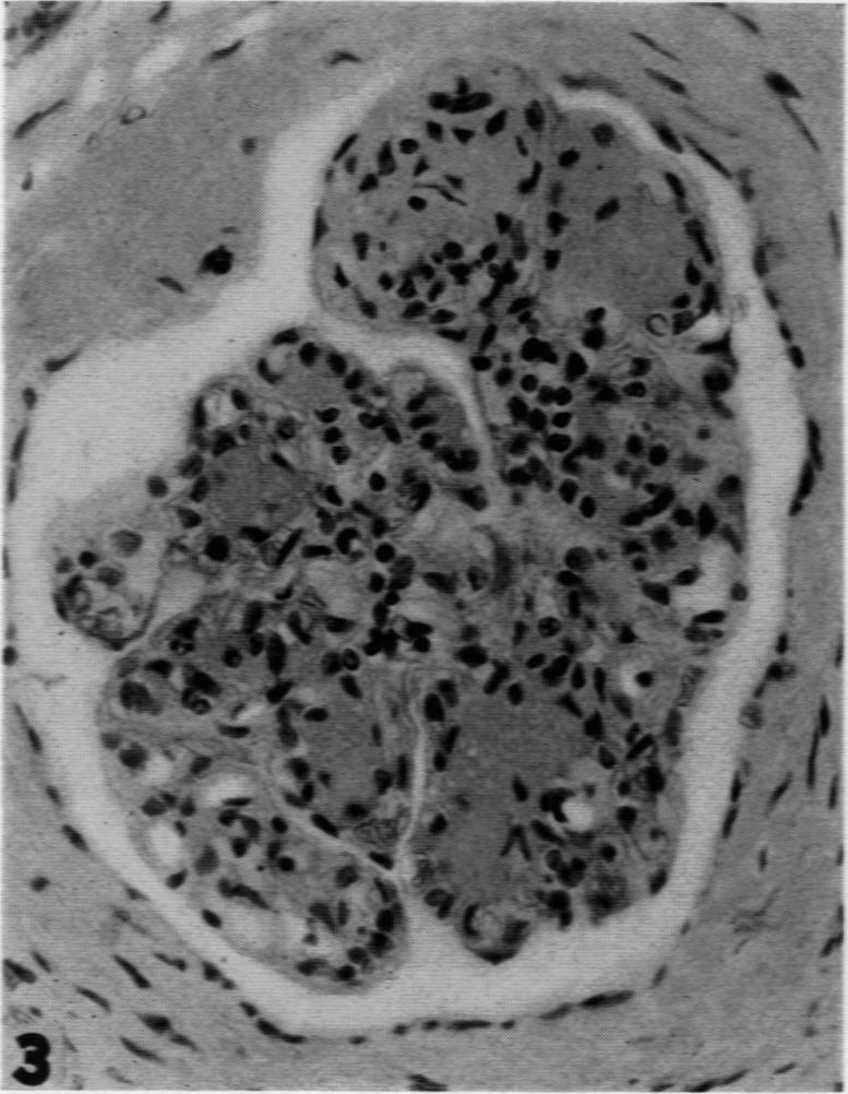
Intercapillary Glomerulosclerosis.

作者信息

Horn R C, Smetana H

出版信息

Am J Pathol. 1942 Jan;18(1):93-9.

Abstract
摘要
https://cdn.ncbi.nlm.nih.gov/pmc/blobs/44f2/2032921/5c5a835713b8/amjpathol00683-0104-a.jpg

文献AI研究员

20分钟写一篇综述,助力文献阅读效率提升50倍。

立即体验

用中文搜PubMed

大模型驱动的PubMed中文搜索引擎

马上搜索

文档翻译

学术文献翻译模型,支持多种主流文档格式。

立即体验