Suppr超能文献

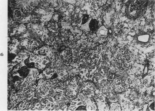
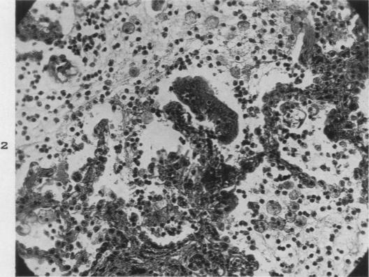
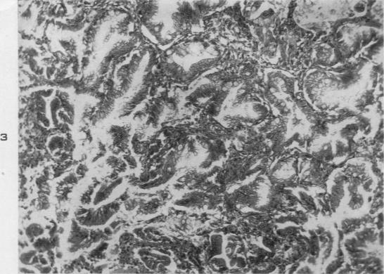
So-Called Pulmonary Adenomatosis and "Alveolar Cell Tumors": Report of a Case.

作者信息

Simon M A

出版信息

Am J Pathol. 1947 May;23(3):413-27.

Abstract
摘要
https://cdn.ncbi.nlm.nih.gov/pmc/blobs/d8c9/1934286/dc283046c821/amjpathol00500-0096-a.jpg

相似文献

6
Pulmonary adenomatosis; report of a case.肺腺瘤病;一例报告。
Am Rev Tuberc. 1949 Aug;60(2):258-63. doi: 10.1164/art.1949.60.2.258.
7
Pulmonary adenomatosis; report of a case.肺腺瘤病;一例报告。
J Am Med Assoc. 1951 Mar 17;145(11):815-8. doi: 10.1001/jama.1951.72920290005008b.
8
Pulmonary adenomatosis; a report of 4 cases.
Radiology. 1950 Nov;55(5):669-80. doi: 10.1148/55.5.669.
9
Pulmonary adenomatosis; report of two cases.
N Engl J Med. 1951 Mar 22;244(12):429-33. doi: 10.1056/NEJM195103222441202.

引用本文的文献

2
Alveolar carcinoma: a review.肺泡癌:综述
Thorax. 1984 Mar;39(3):166-74. doi: 10.1136/thx.39.3.166.

文献AI研究员

20分钟写一篇综述,助力文献阅读效率提升50倍。

立即体验

用中文搜PubMed

大模型驱动的PubMed中文搜索引擎

马上搜索

文档翻译

学术文献翻译模型,支持多种主流文档格式。

立即体验