Suppr超能文献

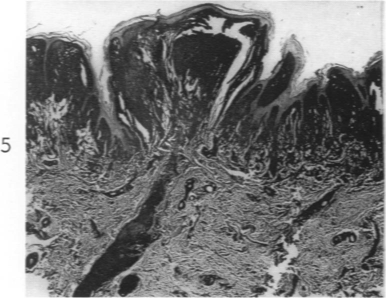
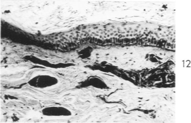
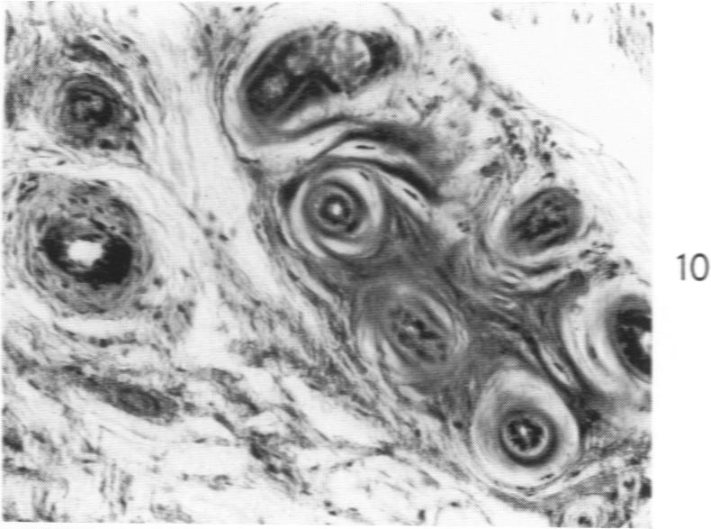
Lipoid Proteinosis (Lipoglycoproteinosis): A Histochemical Study of Two Cases.

作者信息

McCusker J J, Caplan R M

出版信息

Am J Pathol. 1962 May;40(5):599-613.

Abstract
摘要
https://cdn.ncbi.nlm.nih.gov/pmc/blobs/25c1/1949550/322ffe7fd64b/amjpathol00330-0118-a.jpg

文献AI研究员

20分钟写一篇综述,助力文献阅读效率提升50倍。

立即体验

用中文搜PubMed

大模型驱动的PubMed中文搜索引擎

马上搜索

文档翻译

学术文献翻译模型,支持多种主流文档格式。

立即体验