Suppr超能文献

多发性骨骺发育不良。

Multiple epiphyseal dysplasia.

机构信息

Department of Genetics and Pathology, the Rudbeck Laboratory, Uppsala University, Uppsala, Sweden.

出版信息

Acta Orthop. 2009 Dec;80(6):711-5. doi: 10.3109/17453670903473032.

Abstract

BACKGROUND

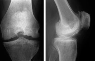
Multiple epiphyseal dysplasia (MED) is a common genetically and clinically heterogeneous skeletal dysplasia characterized by early-onset osteoarthritis, mainly in the hip and knee, and mild-to-moderate short stature. Here we report on a 6-generation MED family with 17 affected members.

METHOD

The clinical and radiographic data on the 12 affected members still living were scrutinized. A structured inquiry comprising state of health and MED-related symptoms since birth up to the present time and the osteoarthritis outcome (KOOS) questionnaire were sent to all living family members with MED. The 5 known gene loci for autosomal dominant MED were analyzed for linkage, using fluorescence-labeled microsatellite markers. Linkage was ascertained with markers close to the COL9A2 gene, which was analyzed for mutations by sequencing.

RESULTS

We identified an exon 3 donor splice mutation in the COL9A2 gene in all affected family members. Clinical, radiographic, and questionnaire data from affected family members suggested that MED caused by COL9A2 mutations starts in early childhood with knee pain accompanied by delayed ossification of femoral epiphyses. The disease then either stabilizes during puberty or progresses with additional joints becoming affected; joint surgery might be necessary. The progression of the disease also affects muscles, with increasing atrophy, resulting in muscle fatigue and pain. Muscular atrophy has not been reported earlier in cases with COL9A2 mutations.

INTERPRETATION

In a patient with clinically suspected or verified MED, it is important to perform DNA-based analysis to identify a possible disease-causing mutation. This information can be used to carry out genetic risk assessment of other family members and to achieve an early and correct diagnosis in the children.

摘要

背景

多发性骨骺发育不良(MED)是一种常见的遗传性和临床异质性骨骼发育不良,其特征为早发性骨关节炎,主要发生在髋关节和膝关节,以及轻度至中度身材矮小。在此,我们报告了一个 6 代 MED 家系,共有 17 名受累成员。

方法

详细检查了仍在世的 12 名受累成员的临床和影像学数据。我们向所有患有 MED 的在世家庭成员发送了一份包含自出生以来健康状况和 MED 相关症状以及骨关节炎结局(KOOS)问卷的结构化查询。分析了 5 个常染色体显性 MED 的已知基因座是否存在连锁,使用荧光标记的微卫星标记。通过测序分析 COL9A2 基因,确定与 COL9A2 基因紧密相关的标记是否存在连锁。

结果

我们在所有受累的家族成员中均发现 COL9A2 基因外显子 3 供体位点剪接突变。受累家族成员的临床、影像学和问卷数据表明,COL9A2 基因突变引起的 MED 从儿童早期开始出现膝关节疼痛,伴股骨骨骺骨化延迟。然后,疾病在青春期稳定,或随更多关节受累而进展;可能需要关节手术。疾病的进展也会影响肌肉,导致肌肉萎缩,引起肌肉疲劳和疼痛。肌肉萎缩在 COL9A2 突变病例中尚未有报道。

解释

对于临床上疑似或确诊的 MED 患者,进行基于 DNA 的分析以确定可能的致病突变非常重要。该信息可用于对其他家庭成员进行遗传风险评估,并在儿童中实现早期和正确的诊断。

https://cdn.ncbi.nlm.nih.gov/pmc/blobs/7ca1/2823319/c50c5359c59d/ORT-1745-3674-80-711-g001.jpg

文献AI研究员

20分钟写一篇综述,助力文献阅读效率提升50倍。

立即体验

用中文搜PubMed

大模型驱动的PubMed中文搜索引擎

马上搜索

文档翻译

学术文献翻译模型,支持多种主流文档格式。

立即体验