• 文献检索
  • 文档翻译
  • 深度研究
  • 学术资讯
  • Suppr Zotero 插件Zotero 插件
  • 邀请有礼
  • 套餐&价格
  • 历史记录
应用&插件
Suppr Zotero 插件Zotero 插件浏览器插件Mac 客户端Windows 客户端微信小程序
定价
高级版会员购买积分包购买API积分包
服务
文献检索文档翻译深度研究API 文档MCP 服务
关于我们
关于 Suppr公司介绍联系我们用户协议隐私条款
关注我们

Suppr 超能文献

核心技术专利:CN118964589B侵权必究
粤ICP备2023148730 号-1Suppr @ 2026

文献检索

告别复杂PubMed语法,用中文像聊天一样搜索,搜遍4000万医学文献。AI智能推荐,让科研检索更轻松。

立即免费搜索

文件翻译

保留排版,准确专业,支持PDF/Word/PPT等文件格式,支持 12+语言互译。

免费翻译文档

深度研究

AI帮你快速写综述,25分钟生成高质量综述,智能提取关键信息,辅助科研写作。

立即免费体验

相似文献

1
MicroRNA expression in ileal carcinoid tumors: downregulation of microRNA-133a with tumor progression.回肠类癌肿瘤中的 microRNA 表达:随着肿瘤进展 microRNA-133a 的下调。
Mod Pathol. 2010 Mar;23(3):367-75. doi: 10.1038/modpathol.2009.161. Epub 2009 Dec 25.
2
Typical Lung Carcinoids with Metastasis: Potential Role of MicroRNAs in the Regulation of Adaptive Immunity Associated with Disease: a Case Study.典型肺类癌伴转移:微小 RNA 在调节与疾病相关的适应性免疫中的潜在作用:病例研究。
Cell Physiol Biochem. 2021 Jan 6;55(S2):1-12. doi: 10.33594/000000320.
3
Novel markers for enterochromaffin cells and gastrointestinal neuroendocrine carcinomas.肠嗜铬细胞和胃肠道神经内分泌癌的新型标志物。
Mod Pathol. 2009 Feb;22(2):261-72. doi: 10.1038/modpathol.2008.174. Epub 2008 Oct 24.
4
Global microRNA profiling of well-differentiated small intestinal neuroendocrine tumors.全肠道神经内分泌肿瘤中差异表达 microRNA 的基因芯片分析
Mod Pathol. 2013 May;26(5):685-96. doi: 10.1038/modpathol.2012.216. Epub 2013 Jan 18.
5
Profiling of 95 microRNAs in pancreatic cancer cell lines and surgical specimens by real-time PCR analysis.通过实时PCR分析对胰腺癌细胞系和手术标本中的95种微小RNA进行分析。
World J Surg. 2009 Apr;33(4):698-709. doi: 10.1007/s00268-008-9833-0.
6
Galectin-4 expression in carcinoid tumors.类癌肿瘤中半乳糖凝集素-4的表达。
Endocr Pathol. 2006 Fall;17(3):243-9. doi: 10.1385/ep:17:3:243.
7
Pulmonary Carcinoids and Low-Grade Gastrointestinal Neuroendocrine Tumors Show Common MicroRNA Expression Profiles, Different from Adenocarcinomas and Small Cell Carcinomas.肺类癌和低级别胃肠道神经内分泌肿瘤表现出共同的 microRNA 表达谱,与腺癌和小细胞癌不同。
Neuroendocrinology. 2018;106(1):47-57. doi: 10.1159/000461582. Epub 2017 Feb 17.
8
The microRNA-218 and ROBO-1 signaling axis correlates with the lymphatic metastasis of pancreatic cancer.miRNA-218 和 ROBO-1 信号轴与胰腺癌的淋巴转移相关。
Oncol Rep. 2013 Aug;30(2):651-8. doi: 10.3892/or.2013.2516. Epub 2013 Jun 3.
9
Establishment and characterization of three novel cell lines - P-STS, L-STS, H-STS - derived from a human metastatic midgut carcinoid.源自人转移性中肠类癌的三种新型细胞系——P-STS、L-STS、H-STS的建立与鉴定
Anticancer Res. 2009 Jun;29(6):1951-61.
10
Identification of MicroRNAs Differentially Expressed in Lung Carcinoid Subtypes and Progression.肺癌类癌亚型及进展中差异表达的微小RNA的鉴定
Neuroendocrinology. 2015;101(3):246-55. doi: 10.1159/000381454. Epub 2015 Mar 16.

引用本文的文献

1
Recent research advances in interleukin, microRNA and neuroendocrine tumor biomarkers (Review).白细胞介素、微小RNA与神经内分泌肿瘤生物标志物的最新研究进展(综述)
Mol Clin Oncol. 2025 Jun 17;23(2):71. doi: 10.3892/mco.2025.2866. eCollection 2025 Aug.
2
Gastroenteropancreatic neuroendocrine neoplasms: epidemiology, genetics, and treatment.胃肠胰神经内分泌肿瘤:流行病学、遗传学和治疗。
Front Endocrinol (Lausanne). 2024 Sep 30;15:1424839. doi: 10.3389/fendo.2024.1424839. eCollection 2024.
3
The uprise of RNA biology in neuroendocrine neoplasms: altered splicing and RNA species unveil translational opportunities.

本文引用的文献

1
MicroRNA-10b is overexpressed in malignant glioma and associated with tumor invasive factors, uPAR and RhoC.微小RNA-10b在恶性胶质瘤中过表达,并与肿瘤侵袭因子尿激酶型纤溶酶原激活物受体(uPAR)和RhoC相关。
Int J Cancer. 2009 Sep 15;125(6):1407-13. doi: 10.1002/ijc.24522.
2
Gene and microRNA analysis of neutrophils from patients with polycythemia vera and essential thrombocytosis: down-regulation of micro RNA-1 and -133a.
J Transl Med. 2009 Jun 4;7:39. doi: 10.1186/1479-5876-7-39.
3
Restoration of tumour suppressor hsa-miR-145 inhibits cancer cell growth in lung adenocarcinoma patients with epidermal growth factor receptor mutation.肿瘤抑制因子hsa-miR-145的恢复可抑制表皮生长因子受体突变的肺腺癌患者的癌细胞生长。
RNA 生物学在神经内分泌肿瘤中的兴起:剪接改变和 RNA 种类揭示了翻译机会。
Rev Endocr Metab Disord. 2023 Apr;24(2):267-282. doi: 10.1007/s11154-022-09771-4. Epub 2022 Nov 24.
4
Circulating Neuroendocrine Tumor Biomarkers: Past, Present and Future.循环神经内分泌肿瘤生物标志物:过去、现在与未来
J Clin Med. 2022 Sep 21;11(19):5542. doi: 10.3390/jcm11195542.
5
Overview of microRNAs as liquid biopsy biomarkers for colorectal cancer sub-type profiling and chemoresistance.微小RNA作为结直肠癌亚型分析和化疗耐药性液体活检生物标志物的概述
Cancer Drug Resist. 2021 Oct 26;4(4):934-945. doi: 10.20517/cdr.2021.62. eCollection 2021.
6
Genetic Drivers of Ileal Neuroendocrine Tumors.回肠神经内分泌肿瘤的遗传驱动因素
Cancers (Basel). 2021 Oct 10;13(20):5070. doi: 10.3390/cancers13205070.
7
The Role of miRNA in the Pathophysiology of Neuroendocrine Tumors.miRNA 在神经内分泌肿瘤病理生理学中的作用。
Int J Mol Sci. 2021 Aug 9;22(16):8569. doi: 10.3390/ijms22168569.
8
Exploring the Epigenome in Gastroenteropancreatic Neuroendocrine Neoplasias.探索胃肠胰神经内分泌肿瘤中的表观基因组
Cancers (Basel). 2021 Aug 20;13(16):4181. doi: 10.3390/cancers13164181.
9
MiRNA Expression in Neuroendocrine Neoplasms of Frequent Localizations.常见部位神经内分泌肿瘤中的微小RNA表达
Noncoding RNA. 2021 Jun 25;7(3):38. doi: 10.3390/ncrna7030038.
10
Essential Role of the 14q32 Encoded miRNAs in Endocrine Tumors.14q32编码的微小RNA在内分泌肿瘤中的重要作用。
Genes (Basel). 2021 May 8;12(5):698. doi: 10.3390/genes12050698.
Eur J Cancer. 2009 Aug;45(12):2197-206. doi: 10.1016/j.ejca.2009.04.039. Epub 2009 Jun 1.
4
Decreased expression of microRNA-143 and -145 in human gastric cancers.人胃癌中微小RNA - 143和 - 145表达降低。
Oncology. 2009;77(1):12-21. doi: 10.1159/000218166. Epub 2009 May 12.
5
Co-suppression of miR-221/222 cluster suppresses human glioma cell growth by targeting p27kip1 in vitro and in vivo.在体外和体内,miR-221/222簇的共抑制通过靶向p27kip1抑制人胶质瘤细胞生长。
Int J Oncol. 2009 Jun;34(6):1653-60. doi: 10.3892/ijo_00000296.
6
Analysis of deregulated miRNAs is helpful to distinguish poorly differentiated thyroid carcinoma from papillary thyroid carcinoma.对失调的微小RNA进行分析有助于鉴别低分化甲状腺癌和乳头状甲状腺癌。
Horm Metab Res. 2009 Jun;41(6):475-81. doi: 10.1055/s-0029-1215593. Epub 2009 Apr 15.
7
The role of microRNA-221 and microRNA-222 in androgen-independent prostate cancer cell lines.微小RNA - 221和微小RNA - 222在雄激素非依赖性前列腺癌细胞系中的作用。
Cancer Res. 2009 Apr 15;69(8):3356-63. doi: 10.1158/0008-5472.CAN-08-4112. Epub 2009 Apr 7.
8
Over- and under-expressed microRNAs in human colorectal cancer.人类结直肠癌中过表达和低表达的微小RNA
Int J Oncol. 2009 Apr;34(4):1069-75. doi: 10.3892/ijo_00000233.
9
Breast cancer metastasis suppressor 1 up-regulates miR-146, which suppresses breast cancer metastasis.乳腺癌转移抑制因子1上调miR-146,从而抑制乳腺癌转移。
Cancer Res. 2009 Feb 15;69(4):1279-83. doi: 10.1158/0008-5472.CAN-08-3559. Epub 2009 Feb 3.
10
Genetics and molecular pathology of neuroendocrine gastrointestinal and pancreatic tumors (gastroenteropancreatic neuroendocrine tumors).神经内分泌性胃肠及胰腺肿瘤(胃肠胰神经内分泌肿瘤)的遗传学与分子病理学
Curr Opin Endocrinol Diabetes Obes. 2009 Feb;16(1):72-8. doi: 10.1097/med.0b013e328320d845.

回肠类癌肿瘤中的 microRNA 表达:随着肿瘤进展 microRNA-133a 的下调。

MicroRNA expression in ileal carcinoid tumors: downregulation of microRNA-133a with tumor progression.

机构信息

Division of Anatomic Pathology, Department of Laboratory Medicine and Pathology, Mayo Clinic, Rochester, MN 55905, USA.

出版信息

Mod Pathol. 2010 Mar;23(3):367-75. doi: 10.1038/modpathol.2009.161. Epub 2009 Dec 25.

DOI:10.1038/modpathol.2009.161
PMID:20037573
原文链接:https://pmc.ncbi.nlm.nih.gov/articles/PMC2886953/
Abstract

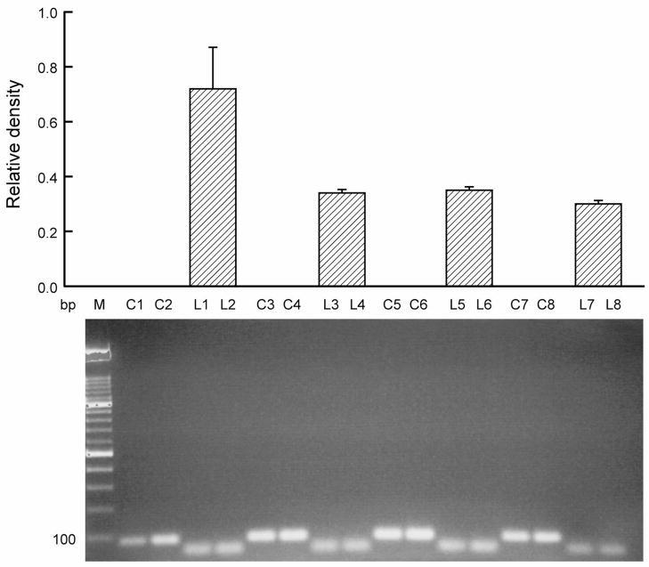
MicroRNAs (miRNAs) are involved in cell proliferation, differentiation, and apoptosis and can function as tumor suppressor genes or oncogenes. The role of miRNAs in neuroendocrine tumors such as ileal carcinoids is largely unknown. We examined the differential expression of 95 miRNAs by RT-PCR using the QuantiMir System in eight matching primary and metastatic carcinoid tumors from the ileum. All miRNAs chosen for the QuantiMir System array were based on their potential functions related to cancer biology, cell development, and apoptosis. The expression of miRNAs for the samples was normalized to miRNA-197, and the matching primary and metastatic tumors were compared. There was downregulation of miRNA-133a, -145, -146, -222, and -10b in all samples between the primary and matching metastatic tumors and upregulation of miRNA-183, -488, and -19a+b in six of eight metastatic carcinoids compared to the primary tumors. miRNA-133a was further analyzed by TaqMan real-time RT-PCR and northern hybridization using six additional matching primary and metastatic samples, which supported the PCR array findings. There were significant differences in miRNA-133a expression with downregulation in the metastasis compared to the primary in the eight original cases (P<0.009) and in the six additional cases used for validation (P<0.014). Laser capture microdissection and real-time RT-PCR analysis using normal ileum found miRNA-133a expression in normal enterochromaffin cells. In situ hybridization in normal ileum showed that some of the mucosal endocrine cells expressed miRNA-133a. Both primary and metastatic ileal carcinoid tumors expressed miRNA-133a by in situ hybridization. These results provide information about novel marker miRNAs that may be used as biomarkers and/or therapeutic targets in intestinal carcinoid tumors.

摘要

微小 RNA(miRNA)参与细胞增殖、分化和凋亡,可作为肿瘤抑制基因或癌基因发挥作用。miRNA 在神经内分泌肿瘤(如回肠类癌)中的作用尚不清楚。我们采用 RT-PCR 法(使用 QuantiMir 系统)检测了 8 例来自回肠的原发性和转移性类癌的 95 种 miRNA 的差异表达。QuantiMir 系统芯片中选择的所有 miRNA 都是基于它们在癌症生物学、细胞发育和凋亡方面的潜在功能。用 miRNA-197 对样本 miRNA 的表达进行标准化,并对原发性和转移性肿瘤进行比较。所有样本中 miRNA-133a、-145、-146、-222 和 -10b 在原发性和匹配的转移性肿瘤之间下调,而在 8 例转移性类癌中的 6 例与原发性肿瘤相比,miRNA-183、-488 和 -19a+b 上调。用 TaqMan 实时 RT-PCR 和 Northern 杂交对另外 6 例原发性和转移性匹配样本进行了 miRNA-133a 的进一步分析,支持了 PCR 芯片的发现。在 8 例原始病例中,与原发性肿瘤相比,转移性肿瘤中 miRNA-133a 的表达明显下调(P<0.009),在用于验证的 6 例病例中也有同样结果(P<0.014)。用正常回肠进行的激光捕获显微切割和实时 RT-PCR 分析发现,正常肠嗜铬细胞中存在 miRNA-133a 的表达。正常回肠的原位杂交显示,一些黏膜内分泌细胞表达 miRNA-133a。原发性和转移性回肠类癌肿瘤均通过原位杂交表达 miRNA-133a。这些结果提供了关于新型标记 miRNA 的信息,这些 miRNA 可能作为肠道类癌肿瘤的生物标志物和/或治疗靶点。

https://cdn.ncbi.nlm.nih.gov/pmc/blobs/5357/2886953/6e8e8861761e/nihms152138f5.jpg
https://cdn.ncbi.nlm.nih.gov/pmc/blobs/5357/2886953/83945aa1327f/nihms152138f1.jpg
https://cdn.ncbi.nlm.nih.gov/pmc/blobs/5357/2886953/fb9c9edda93c/nihms152138f2.jpg
https://cdn.ncbi.nlm.nih.gov/pmc/blobs/5357/2886953/b3ccbd1e7783/nihms152138f3.jpg
https://cdn.ncbi.nlm.nih.gov/pmc/blobs/5357/2886953/df760f47c10f/nihms152138f4.jpg
https://cdn.ncbi.nlm.nih.gov/pmc/blobs/5357/2886953/6e8e8861761e/nihms152138f5.jpg
https://cdn.ncbi.nlm.nih.gov/pmc/blobs/5357/2886953/83945aa1327f/nihms152138f1.jpg
https://cdn.ncbi.nlm.nih.gov/pmc/blobs/5357/2886953/fb9c9edda93c/nihms152138f2.jpg
https://cdn.ncbi.nlm.nih.gov/pmc/blobs/5357/2886953/b3ccbd1e7783/nihms152138f3.jpg
https://cdn.ncbi.nlm.nih.gov/pmc/blobs/5357/2886953/df760f47c10f/nihms152138f4.jpg
https://cdn.ncbi.nlm.nih.gov/pmc/blobs/5357/2886953/6e8e8861761e/nihms152138f5.jpg