• 文献检索
  • 文档翻译
  • 深度研究
  • 学术资讯
  • Suppr Zotero 插件Zotero 插件
  • 邀请有礼
  • 套餐&价格
  • 历史记录
应用&插件
Suppr Zotero 插件Zotero 插件浏览器插件Mac 客户端Windows 客户端微信小程序
定价
高级版会员购买积分包购买API积分包
服务
文献检索文档翻译深度研究API 文档MCP 服务
关于我们
关于 Suppr公司介绍联系我们用户协议隐私条款
关注我们

Suppr 超能文献

核心技术专利:CN118964589B侵权必究
粤ICP备2023148730 号-1Suppr @ 2026

文献检索

告别复杂PubMed语法,用中文像聊天一样搜索,搜遍4000万医学文献。AI智能推荐,让科研检索更轻松。

立即免费搜索

文件翻译

保留排版,准确专业,支持PDF/Word/PPT等文件格式,支持 12+语言互译。

免费翻译文档

深度研究

AI帮你快速写综述,25分钟生成高质量综述,智能提取关键信息,辅助科研写作。

立即免费体验

128 层多排螺旋 CT 冠状动脉造影的非心脏偶然发现:我们是否只应关注心脏?

Incidental non-cardiac findings of a coronary angiography with a 128-slice multi-detector CT scanner: should we only concentrate on the heart?

机构信息

Department of Radiology, Medical School of Thessaly, Mezourlo, Larissa 41110, Greece.

出版信息

Korean J Radiol. 2010 Jan-Feb;11(1):60-8. doi: 10.3348/kjr.2010.11.1.60. Epub 2009 Dec 28.

DOI:10.3348/kjr.2010.11.1.60
PMID:20046496
原文链接:https://pmc.ncbi.nlm.nih.gov/articles/PMC2799652/
Abstract

OBJECTIVE

To evaluate the spectrum, prevalence, and significance of incidental non-cardiac findings (INCF) in patients referred for a non-invasive coronary angiography using a 128-slice multi-detector CT (MDCT).

MATERIALS AND METHODS

The study subjects included 1,044 patients; 774 males (mean age, 59.9 years) and 270 females (mean age, 63 years), referred for a coronary CT angiography on a 128-slice MDCT scanner. The scans were acquired from the level of the carina to just below the diaphragm. To evaluate INCFs, images were reconstructed with a large field of view (> 300 mm) covering the entire thorax. Images were reviewed in the axial, coronal, and sagittal planes, using the mediastinal, lung, and bone windows. The INCFs were classified as severe, indeterminate, and mild, based on their clinical importance, and as thoracic or abdominal based on their locations.

RESULTS

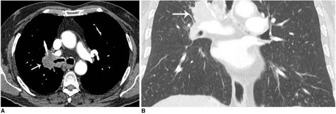
Incidental non-cardiac findings were detected in 56% of patients (588 of 1,044), including 435 males (mean age, 65.6 years) and 153 females (mean age, 67.9 years). A total of 729 INCFs were observed: 459 (63%) mild (58% thoracic, 43% abdominal), 96 (13%) indeterminate (95% thoracic, 5% abdominal), and 174 (24%) severe (87% thoracic, 13% abdominal). The prevalence of severe INCFs was 15%. Two severe INCFs were histologically verified as lung cancers.

CONCLUSION

The 128-slice MDCT coronary angiography, in addition to cardiac imaging, can provide important information on the pathology of the chest and upper abdomen. The presence of severe INCFs is not rare, especially in the thorax. Therefore, all organs in the scan should be thoroughly evaluated in daily clinical practice.

摘要

目的

评估使用 128 层多探测器 CT(MDCT)进行非侵入性冠状动脉造影检查的患者中偶然的非心脏发现(INCF)的谱、患病率和意义。

材料和方法

研究对象包括 1044 名患者;774 名男性(平均年龄 59.9 岁)和 270 名女性(平均年龄 63 岁),因冠状动脉 CT 血管造影而在 128 层 MDCT 扫描仪上接受检查。扫描范围从隆突到膈肌以下。为了评估 INCF,使用大视野(>300mm)重建图像,覆盖整个胸部。在轴位、冠状位和矢状位平面上,使用纵隔、肺和骨窗对图像进行了评估。根据其临床重要性,将 INCF 分为严重、不确定和轻度,并根据其位置分为胸部或腹部。

结果

在 56%的患者(1044 名患者中的 588 名)中发现了偶然的非心脏发现,包括 435 名男性(平均年龄 65.6 岁)和 153 名女性(平均年龄 67.9 岁)。共观察到 729 例 INCF:459 例(63%)轻度(58%胸部,43%腹部),96 例(13%)不确定(95%胸部,5%腹部)和 174 例(24%)严重(87%胸部,13%腹部)。严重 INCF 的患病率为 15%。2 例严重 INCF 经组织学证实为肺癌。

结论

128 层 MDCT 冠状动脉造影术除了心脏成像外,还可以提供有关胸部和上腹部病理学的重要信息。严重 INCF 的存在并不罕见,尤其是在胸部。因此,在日常临床实践中,应彻底评估扫描中的所有器官。

https://cdn.ncbi.nlm.nih.gov/pmc/blobs/6eec/2799652/dcf1aec67c59/kjr-11-60-g006.jpg
https://cdn.ncbi.nlm.nih.gov/pmc/blobs/6eec/2799652/e7cff9bf14f2/kjr-11-60-g001.jpg
https://cdn.ncbi.nlm.nih.gov/pmc/blobs/6eec/2799652/42b21140c6c8/kjr-11-60-g002.jpg
https://cdn.ncbi.nlm.nih.gov/pmc/blobs/6eec/2799652/fd8297cc581d/kjr-11-60-g003.jpg
https://cdn.ncbi.nlm.nih.gov/pmc/blobs/6eec/2799652/20f141a6c868/kjr-11-60-g004.jpg
https://cdn.ncbi.nlm.nih.gov/pmc/blobs/6eec/2799652/4221bae7c72c/kjr-11-60-g005.jpg
https://cdn.ncbi.nlm.nih.gov/pmc/blobs/6eec/2799652/dcf1aec67c59/kjr-11-60-g006.jpg
https://cdn.ncbi.nlm.nih.gov/pmc/blobs/6eec/2799652/e7cff9bf14f2/kjr-11-60-g001.jpg
https://cdn.ncbi.nlm.nih.gov/pmc/blobs/6eec/2799652/42b21140c6c8/kjr-11-60-g002.jpg
https://cdn.ncbi.nlm.nih.gov/pmc/blobs/6eec/2799652/fd8297cc581d/kjr-11-60-g003.jpg
https://cdn.ncbi.nlm.nih.gov/pmc/blobs/6eec/2799652/20f141a6c868/kjr-11-60-g004.jpg
https://cdn.ncbi.nlm.nih.gov/pmc/blobs/6eec/2799652/4221bae7c72c/kjr-11-60-g005.jpg
https://cdn.ncbi.nlm.nih.gov/pmc/blobs/6eec/2799652/dcf1aec67c59/kjr-11-60-g006.jpg

相似文献

1
Incidental non-cardiac findings of a coronary angiography with a 128-slice multi-detector CT scanner: should we only concentrate on the heart?128 层多排螺旋 CT 冠状动脉造影的非心脏偶然发现:我们是否只应关注心脏?
Korean J Radiol. 2010 Jan-Feb;11(1):60-8. doi: 10.3348/kjr.2010.11.1.60. Epub 2009 Dec 28.
2
Incidental Non-cardiac Findings in Coronary Computed Tomography Angiography: Is it Worth Reporting?冠状动脉计算机断层扫描血管造影术中的偶然非心脏发现:是否值得报告?
J Clin Imaging Sci. 2019 Aug 2;9:40. doi: 10.25259/JCIS_41_2019. eCollection 2019.
3
Prevalence and significance of incidental extracardiac findings at 64-multidetector coronary CTA.64层多排冠状动脉CTA检查中意外发现的心脏外病变的患病率及意义
J Thorac Imaging. 2007 Nov;22(4):330-4. doi: 10.1097/RTI.0b013e31813434a9.
4
Noncardiac findings in cardiac imaging with multidetector computed tomography.多排螺旋计算机断层扫描心脏成像中的非心脏表现。
J Am Coll Cardiol. 2006 Jul 18;48(2):402-6. doi: 10.1016/j.jacc.2006.04.071. Epub 2006 May 24.
5
[Extra-cardiac findings on coronary computed Tomography scanning].[冠状动脉计算机断层扫描的心脏外表现]
Tunis Med. 2012 May;90(5):394-6.
6
[Clinical value of multi-detector computed tomography source image on detecting extracoronary abnormalities].多排螺旋计算机断层扫描源图像在检测冠状动脉外异常中的临床价值
Zhonghua Xin Xue Guan Bing Za Zhi. 2013 Aug;41(8):687-92.
7
Coronary dual source multi detector computed tomography in patients suspected of coronary artery disease: prevalence of incidental extra-cardiac findings.冠状动脉双源多探测器 CT 在疑似冠状动脉疾病患者中的应用:偶然发现的心脏外异常的发生率。
Eur J Radiol. 2011 Oct;80(1):109-14. doi: 10.1016/j.ejrad.2010.05.024. Epub 2010 Jul 31.
8
Stenosis quantification in coronary CT angiography: impact of an integrated circuit detector with iterative reconstruction.冠状动脉 CT 血管造影中的狭窄量化:集成电路探测器与迭代重建的影响。
Invest Radiol. 2013 Jan;48(1):32-40. doi: 10.1097/RLI.0b013e318274cf82.
9
Non-Cardiovascular Computed Tomography Incidental Findings in Patients Who Underwent Transaortic Valve Implantation Procedure.接受经主动脉瓣植入手术患者的非心血管计算机断层扫描偶然发现
Cardiol Res. 2017 Feb;8(1):13-19. doi: 10.14740/cr445w. Epub 2017 Mar 3.
10
Prevalence of non-cardiac findings in a large series of patients undergoing cardiac multi-detector computed tomography scans.大量接受心脏多排计算机断层扫描的患者中非心脏检查结果的患病率。
Int J Cardiovasc Imaging. 2009 Jun;25(5):537-43. doi: 10.1007/s10554-009-9455-0. Epub 2009 Mar 26.

引用本文的文献

1
Clinically Relevant Extracardiac Findings at Cardiac Imaging: Insights from the European MR/CT Registry.心脏影像学的临床相关心脏外表现:来自欧洲 MR/CT 注册研究的启示。
Radiol Cardiothorac Imaging. 2024 Oct;6(5):e240117. doi: 10.1148/ryct.240117.
2
Detection of relevant extracardiac findings on coronary computed tomography angiography vs. invasive coronary angiography.冠状动脉 CT 血管造影与有创冠状动脉造影检测相关的心脏外发现。
Eur Radiol. 2022 Jan;32(1):122-131. doi: 10.1007/s00330-021-07967-x. Epub 2021 Jun 15.
3
Coronavirus disease 2019 (COVID-19) pneumonia incidentally detected on coronary CT angiogram: a do-not-miss diagnosis.

本文引用的文献

1
Clinical relevance and scope of accidental extracoronary findings in coronary computed tomography angiography: a cardiac versus thoracic FOV study.冠状动脉计算机断层血管造影术中外周意外发现的临床意义和范围:心脏与胸部视野研究。
Eur J Radiol. 2010 Apr;74(1):166-74. doi: 10.1016/j.ejrad.2009.01.038. Epub 2009 Mar 5.
2
Cardiac computed tomographic angiography: evaluation of non-cardiac structures.心脏计算机断层血管造影:非心脏结构的评估
J Nucl Cardiol. 2009 Jan-Feb;16(1):139-50. doi: 10.1007/s12350-008-9035-z. Epub 2009 Jan 20.
3
Incidental extracardiac findings at cardiac CT angiography: comparison of prevalence and clinical significance between precontrast low-dose whole thoracic scan and postcontrast retrospective ECG-gated cardiac scan.
在冠状动脉CT血管造影中偶然发现的2019冠状病毒病(COVID-19)肺炎:不可漏诊的诊断。
Emerg Radiol. 2020 Dec;27(6):721-726. doi: 10.1007/s10140-020-01802-4. Epub 2020 Jun 9.
4
Extracardiac findings on coronary computed tomography angiography in patients without significant coronary artery disease.无明显冠状动脉疾病患者冠状动脉 CT 血管造影的心脏外表现。
Eur Radiol. 2019 Apr;29(4):1714-1723. doi: 10.1007/s00330-018-5688-4. Epub 2018 Sep 25.
5
Detection of incidental cardiac findings in noncardiac chest computed tomography.非心脏胸部计算机断层扫描中偶然发现的心脏病变的检测
Medicine (Baltimore). 2017 Jul;96(29):e7531. doi: 10.1097/MD.0000000000007531.
6
Diagnostic Accuracy of Dual-Source Computerized Tomography Coronary Angiography in Symptomatic Patients Presenting to a Referral Cardiovascular Center During Daily Clinical Practice.日常临床实践中,双源计算机断层扫描冠状动脉造影在转诊至心血管中心的有症状患者中的诊断准确性
Iran J Radiol. 2016 Feb 29;13(2):e24350. doi: 10.5812/iranjradiol.24350. eCollection 2016 Apr.
7
The prevalence and significance of thoracic findings in patients undergoing extended coverage computed tomography for assessment of abdominal aortic aneurysms.在接受用于评估腹主动脉瘤的扩展覆盖计算机断层扫描的患者中胸部检查结果的患病率及意义。
Br J Radiol. 2016 Jun;89(1062):20150723. doi: 10.1259/bjr.20150723. Epub 2016 Mar 18.
8
Relevant incidental findings at abdominal multi-detector contrast-enhanced computed tomography: A collateral screening?腹部多排螺旋CT增强扫描的相关偶然发现:一种附带筛查?
World J Radiol. 2015 Oct 28;7(10):350-6. doi: 10.4329/wjr.v7.i10.350.
9
Using coronary artery calcification combined with pretest clinical risk assessment as a means of determining investigation and treatment in patients presenting with chest pain in a rural setting.在农村地区,将冠状动脉钙化与检查前临床风险评估相结合,作为确定胸痛患者检查和治疗方案的一种方法。
Biomed Res Int. 2015;2015:582590. doi: 10.1155/2015/582590. Epub 2015 Feb 5.
10
Incidental findings on MRI of the temporomandibular joint.颞下颌关节磁共振成像的偶然发现。
Dentomaxillofac Radiol. 2013;42(10):20130175. doi: 10.1259/dmfr.20130175. Epub 2013 Sep 4.
心脏CT血管造影术中偶然发现的心脏外病变:对比剂前低剂量全胸部扫描与对比剂后回顾性心电图门控心脏扫描在患病率及临床意义上的比较
Int J Cardiovasc Imaging. 2009 Apr;25 Suppl 1:75-81. doi: 10.1007/s10554-008-9417-y. Epub 2009 Jan 9.
4
Incidental findings on cardiac computed tomography. Should we look?
J Cardiovasc Comput Tomogr. 2007 Oct;1(2):97-105. doi: 10.1016/j.jcct.2007.04.002. Epub 2007 May 18.
5
Incidental findings of cardiac MSCT: who might benefit from scanning the entire thorax on Ca score imaging?心脏 MSCT 的偶然发现:哪些人可能受益于在钙评分成像时对整个胸部进行扫描?
Int J Cardiol. 2010 Apr 15;140(2):239-41. doi: 10.1016/j.ijcard.2008.11.056. Epub 2008 Dec 14.
6
The prevalence of incidental findings at cardiac MRI.心脏磁共振成像中偶然发现的发生率。
Open Cardiovasc Med J. 2008;2:20-5. doi: 10.2174/1874192400802010020. Epub 2008 Apr 2.
7
Incidental findings on cardiac imaging.心脏成像中的偶然发现。
AJR Am J Roentgenol. 2008 Sep;191(3):882-4. doi: 10.2214/AJR.08.1133.
8
Pulmonary nodules detected at cardiac CT: comparison of images in limited and full fields of view.心脏CT检测到的肺结节:有限视野与全视野图像的比较
AJR Am J Roentgenol. 2008 Sep;191(3):878-81. doi: 10.2214/AJR.07.2939.
9
Prevalence of significant extracoronary findings on multislice CT coronary angiography examinations and coronary artery calcium scoring examinations.多层螺旋CT冠状动脉造影检查和冠状动脉钙化评分检查中显著冠状动脉外发现的患病率。
J Med Imaging Radiat Oncol. 2008 Feb;52(1):49-56. doi: 10.1111/j.1440-1673.2007.01911.x.
10
Prevalence and significance of incidental extracardiac findings at 64-multidetector coronary CTA.64层多排冠状动脉CTA检查中意外发现的心脏外病变的患病率及意义
J Thorac Imaging. 2007 Nov;22(4):330-4. doi: 10.1097/RTI.0b013e31813434a9.