Suppr超能文献

孤立性下腰椎骨软骨瘤(累及L3棘突):一例报告

Solitary lower lumbar osteochondroma (spinous process of L3 involvement): a case report.

作者信息

Hassankhani Ebrahim Ghayem

机构信息

Department of Orthopedic and Spine Surgery, Imam Reza University Hospital, Ebnesina Street, Mashhad, 9187895356, Iran.

出版信息

Cases J. 2009 Dec 20;2:9359. doi: 10.1186/1757-1626-2-9359.

Abstract

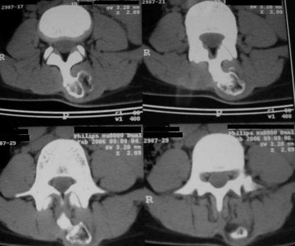
Solitary osteochondromas, which are the most common benign bone tumors of long bones, are rarely found in the vertebral column. A 16-year-old female patient presented with a hard palpable mass at lower lumbar region like a congenital deformity. Plain radiography illustrated a well-defined solid mass arising from the posterior elements of the L3 and ruled out any congenital anomalies. A computed tomography scan further determined a mass that arose from the spinous process of L3. The tumor was excised en bloc through a posterior approach and histopathological examination verified the diagnosis of osteocondroma.Osteochondromas are rarely found in the spine, when present in the spine, however, have a predilection for cervical or upper thoracic region arising usually from lamina of vertebrae and are rare in lumbosacral region and very rare at spinous process of the vertebrae.We present a case of osteochondroma locates in lumbar region and spinous process of vertebrae with unusual presentation and was considered clinically as congenital lumbar kyphosis.

摘要

孤立性骨软骨瘤是长骨最常见的良性骨肿瘤,很少见于脊柱。一名16岁女性患者,下腰部可触及硬性肿块,类似先天性畸形。X线平片显示L3后部有一个边界清晰的实性肿块,排除了任何先天性异常。计算机断层扫描进一步确定肿块起源于L3棘突。通过后路整块切除肿瘤,组织病理学检查证实为骨软骨瘤。骨软骨瘤很少见于脊柱,然而,当出现在脊柱时,多发生于颈椎或上胸椎区域,通常起源于椎板,在腰骶部区域罕见,在椎体棘突处非常罕见。我们报告一例位于腰椎区域和椎体棘突的骨软骨瘤,表现不寻常,临床上曾被认为是先天性腰椎后凸。

https://cdn.ncbi.nlm.nih.gov/pmc/blobs/2000/2804730/fd79f7f4482d/1757-1626-2-9359-1.jpg

文献AI研究员

20分钟写一篇综述,助力文献阅读效率提升50倍。

立即体验

用中文搜PubMed

大模型驱动的PubMed中文搜索引擎

马上搜索

文档翻译

学术文献翻译模型,支持多种主流文档格式。

立即体验