Suppr超能文献

骨形态发生蛋白-4(BMP-4)及其信号通路在培养的人黑素细胞中的作用

Role of BMP-4 and Its Signaling Pathways in Cultured Human Melanocytes.

作者信息

Park Hee-Young, Wu Christina, Yaar Mina, Stachur Christina M, Kosmadaki Marita, Gilchrest Barbara A

机构信息

Department of Dermatology, School of Medicine, Boston University, Boston, MA 02118, USA.

出版信息

Int J Cell Biol. 2009;2009:750482. doi: 10.1155/2009/750482. Epub 2009 Dec 30.

Abstract

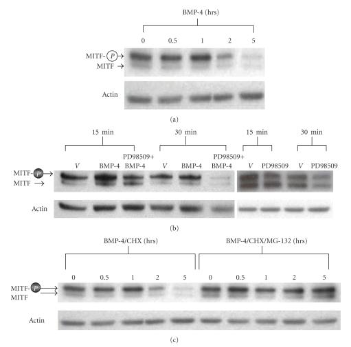
Bone Morphogenetic Protein (BMP-4) was shown to down-regulate melanogenesis, in part, by decreasing the level of tyrosinase [Yaar et al. (2006) JBC:281]. Results presented here show that BMP-4 down-regulated the protein levels of TRP-1, PKC-beta, and MCI-R. When paired cultures of human melanocytes were treated with vehicle or BMP-4 (25 ng/ml), MAPK/ERK were phosphorylated within one hour of BMP-4 treatment. Then the activated MAPK/ERK caused an acute phosphorylation of MITF, followed by proteosome-mediated degradation of MITF, the key transcription factor for melanogenic proteins [Wu et al. (2000) Gene & Development:14]. However, prolonged exposure of melanocytes to BMP-4 (up to 48 hours) caused a decrease in the level of MITF-M transcript. In addition, BMP-4 decreased the intracellular level of cAMP, the key regulator of MITF expression. These results demonstrate that BMP-4 activates MAPK/ERK signaling pathway to transiently activate MITF; however, chronic treatment of BMP-4 to melanocytes causes a down-regulation of the expression of MITF, possibly in a cAMP-dependent pathway.

摘要

骨形态发生蛋白(BMP - 4)已被证明可部分通过降低酪氨酸酶水平来下调黑色素生成[Yaar等人(2006年)《生物化学杂志》:281]。此处给出的结果表明,BMP - 4下调了TRP - 1、PKC - β和MCI - R的蛋白水平。当用人黑素细胞的配对培养物用溶剂或BMP - 4(25纳克/毫升)处理时,在BMP - 4处理的一小时内MAPK/ERK被磷酸化。然后活化的MAPK/ERK导致MITF的急性磷酸化,随后是蛋白酶体介导的MITF降解,MITF是黑色素生成蛋白的关键转录因子[Wu等人(2000年)《基因与发育》:14]。然而,黑素细胞长时间暴露于BMP - 4(长达48小时)导致MITF - M转录水平下降。此外,BMP - 4降低了细胞内cAMP的水平,cAMP是MITF表达的关键调节因子。这些结果表明,BMP - 4激活MAPK/ERK信号通路以短暂激活MITF;然而,用BMP - 4长期处理黑素细胞会导致MITF表达下调,可能是通过cAMP依赖性途径。

https://cdn.ncbi.nlm.nih.gov/pmc/blobs/cd84/2814237/b85bb60a5c02/IJCB2009-750482.001.jpg

文献AI研究员

20分钟写一篇综述,助力文献阅读效率提升50倍。

立即体验

用中文搜PubMed

大模型驱动的PubMed中文搜索引擎

马上搜索

文档翻译

学术文献翻译模型,支持多种主流文档格式。

立即体验