Suppr超能文献

一种保守方法对牙龈结构的修复:一种创新方法。

Rehabilitation of gingival architecture by a conservative method: An innovative approach.

作者信息

Parolia Abhishek, Thomas Manuel S, Kundabala M, Shetty Neeta, Gautam Suman, Kumar Senthil

机构信息

Department of Conservative Dentistry and Endodontics, Manipal College of Dental Sciences, Mangalore, Karnataka, India.

出版信息

J Conserv Dent. 2008 Jul;11(3):131-5. doi: 10.4103/0972-0707.45253.

Abstract

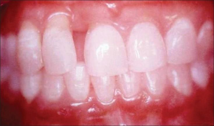
Periodontal attachment loss in the maxillary anterior region can often lead to esthetic and functional clinical problems. Lifelong motivation is essential to the supportive therapy for these patients, and the maintenance of good esthetics, combined with conducive to maintaining long term dental and professional health. This paper aims to demonstrate an innovative treatment option for dealing with aesthetic challenges posed by a number of patients who have undergone initial cause related therapy for aggressive periodontitis.

摘要

上颌前部区域的牙周附着丧失常常会导致美学和功能方面的临床问题。对于这些患者而言,终身保持治疗积极性对于支持性治疗至关重要,同时维持良好的美观效果,有利于保持长期的牙齿和口腔健康。本文旨在展示一种创新的治疗方案,用于应对一些已接受侵袭性牙周炎初始病因相关治疗的患者所面临的美学挑战。

https://cdn.ncbi.nlm.nih.gov/pmc/blobs/2cf8/2813107/d2423e37067b/JCD-11-131-g001.jpg

文献AI研究员

20分钟写一篇综述,助力文献阅读效率提升50倍。

立即体验

用中文搜PubMed

大模型驱动的PubMed中文搜索引擎

马上搜索

文档翻译

学术文献翻译模型,支持多种主流文档格式。

立即体验