Department of Dermatology, Affiliated Union Hospital, Tongji Medical College, Huazhong University of Science and Technology, Wuhan, 430022 PR China.
J Exp Clin Cancer Res. 2010 Feb 16;29(1):13. doi: 10.1186/1756-9966-29-13.
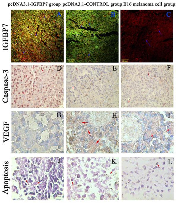
Genome-wide RNA interference screening study revealed that loss of expression of insulin-like growth factor binding protein 7 (IGFBP7) is a critical step in development of a malignant melanoma (MM), and this secreted protein plays a central role in apoptosis of MM. In this study we constructed pcDNA3.1-IGFBP7 to obtain high expression of IGBPF7 and to inhibit the growth of MM in C57BL/6J mice.
pcDNA3.1-IGFBP7 was transfected into B16-F10 cell, the expression of IGFBP7 was detected by RT-PCR and western blot. The proliferations and apoptosis rates of transfected and control cells were measured by CCK8 and FCM, respectively. The tumorigenicity and tumor growth in both pcDNA3.1-IGFBP7 group and control groups were studied in C57BL/6J mice model. IGFBP7, caspase-3, and VEGF expressions in tumor tissue were measured by immunohistochemistry. Apoptosis of tumors were detected by TUNEL.
We demonstrated this plasmid inhibited proliferation of B16-F10 melanoma cells efficiently in vivo, exploiting the high expression of IGFBP7. More importantly, in-vivo transfection of pcDNA3.1-IGFBP7 inhibited MM growth in C57BL/6J mice. The inhibition of MM growth was proved owing to apoptosis and reduced expression of VEGF induced by pcDNA3.1-IGFBP7.
These results suggest a potential new clinical strategy for MM gene treatment.
全基因组 RNA 干扰筛选研究表明,胰岛素样生长因子结合蛋白 7 (IGFBP7) 的表达缺失是恶性黑色素瘤 (MM) 发展的关键步骤,这种分泌蛋白在 MM 的细胞凋亡中发挥核心作用。在本研究中,我们构建了 pcDNA3.1-IGFBP7,以获得 IGFBP7 的高表达,并抑制 C57BL/6J 小鼠中 MM 的生长。
将 pcDNA3.1-IGFBP7 转染至 B16-F10 细胞,通过 RT-PCR 和 Western blot 检测 IGFBP7 的表达。通过 CCK8 和 FCM 分别检测转染和对照细胞的增殖和凋亡率。在 C57BL/6J 小鼠模型中研究 pcDNA3.1-IGFBP7 组和对照组的致瘤性和肿瘤生长。通过免疫组化检测肿瘤组织中 IGFBP7、caspase-3 和 VEGF 的表达。通过 TUNEL 检测肿瘤细胞的凋亡。
我们证明了该质粒通过高效表达 IGFBP7 抑制了体内 B16-F10 黑色素瘤细胞的增殖。更重要的是,pcDNA3.1-IGFBP7 的体内转染抑制了 C57BL/6J 小鼠的 MM 生长。pcDNA3.1-IGFBP7 抑制 MM 生长是由于凋亡和 VEGF 表达减少引起的。
这些结果表明了一种针对 MM 基因治疗的潜在新临床策略。