• 文献检索
  • 文档翻译
  • 深度研究
  • 学术资讯
  • Suppr Zotero 插件Zotero 插件
  • 邀请有礼
  • 套餐&价格
  • 历史记录
应用&插件
Suppr Zotero 插件Zotero 插件浏览器插件Mac 客户端Windows 客户端微信小程序
定价
高级版会员购买积分包购买API积分包
服务
文献检索文档翻译深度研究API 文档MCP 服务
关于我们
关于 Suppr公司介绍联系我们用户协议隐私条款
关注我们

Suppr 超能文献

核心技术专利:CN118964589B侵权必究
粤ICP备2023148730 号-1Suppr @ 2026

文献检索

告别复杂PubMed语法,用中文像聊天一样搜索,搜遍4000万医学文献。AI智能推荐,让科研检索更轻松。

立即免费搜索

文件翻译

保留排版,准确专业,支持PDF/Word/PPT等文件格式,支持 12+语言互译。

免费翻译文档

深度研究

AI帮你快速写综述,25分钟生成高质量综述,智能提取关键信息,辅助科研写作。

立即免费体验

采用改良尼科尔技术治疗前臂骨间隙性骨不连。

Gap nonunion of forearm bones treated by modified Nicoll's technique.

作者信息

Gupta Dinesh K, Kumar Gaurav

机构信息

Department of Orthopaedics, MLB Medical College, Jhansi, Uttar Pradesh, India.

出版信息

Indian J Orthop. 2010 Jan;44(1):84-8. doi: 10.4103/0019-5413.58611.

DOI:10.4103/0019-5413.58611
PMID:20165682
原文链接:https://pmc.ncbi.nlm.nih.gov/articles/PMC2822425/
Abstract

BACKGROUND

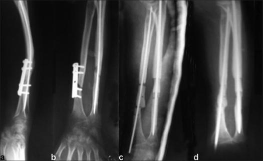
The management of an atrophic nonunion with a gap following a fracture of the radius and/or ulna is a challenging problem. Various methods of treatment available in the literature are cortical tibial graft (Boyd), ulnar segment graft (Miller and Phalen), iliac crest graft (Spira), cancellous insert graft (Nicoll), vascularized fibular graft (Jupiter), and bone transport by ring fixator (Tesworth). The present study reports the results of tricorticocancellous bone block grafts using modified Nicoll's technique, in diaphyseal defects of forearm bones.

MATERIALS AND METHODS

A total of 38 forearm bones (either radius or ulna or both) in 23 patients with a gap of 1.5-7.5 cm were treated by debridement and tricorticocancellous bone block graft under compression with intramedullary nail fixation between June 1985 and June 2005. There were 15 male and 8 female patients. Sixteen patients had open and seven patients had closed fractures initially. Time of presentation since the original injury varied from 9 months to 84 months. Eighteen patients had already undergone one to three operations.

RESULTS

Thirty-six bones showed union at both host graft junctions. The mean duration of union was 17.5 weeks (range, 14-60 weeks). Two bones had union only at one host graft junction and did not show any evidence of callus formation up to 9 months on the other end, hence requiring subsequent procedure in the form of phemister bone grafting. Patients were followed for a minimum period of 2 years (range, 2-7 years). Results were based on the status of union and range of motion (ROM) for elbow/wrist and grip strength at the final follow-up. Complications observed were the reactivation of infection (n = 1) and herniation of the muscles at the donor site (n = 1).

CONCLUSION

The tricorticocancellous strut bone grafting under optimal compression, augmented with intramedullary fixation, provides a promising solution to difficult problem of an atrophic nonunion of forearms bones with gap.

摘要

背景

桡骨和/或尺骨骨折后伴有骨缺损的萎缩性骨不连的处理是一个具有挑战性的问题。文献中可用的各种治疗方法有皮质胫骨移植(博伊德法)、尺骨段移植(米勒和法伦法)、髂嵴移植(斯皮拉法)、松质骨植入移植(尼科尔法)、带血管腓骨移植(朱庇特法)以及环形固定器骨搬运(特斯沃思法)。本研究报告了采用改良尼科尔技术进行三皮质松质骨块移植治疗前臂骨干缺损的结果。

材料与方法

1985年6月至2005年6月期间,对23例患者共38块前臂骨(桡骨、尺骨或两者皆有)进行了清创和三皮质松质骨块移植,并在加压下采用髓内钉固定,骨缺损间隙为1.5 - 7.5厘米。其中男性15例,女性8例。16例患者最初为开放性骨折,7例为闭合性骨折。自原始损伤至就诊时间从9个月至84个月不等。18例患者已经接受过一至三次手术。

结果

36块骨在宿主与移植骨连接处均实现了骨愈合。平均愈合时间为17.5周(范围为14 - 60周)。两块骨仅在一端的宿主与移植骨连接处实现了骨愈合,另一端在9个月时未显示任何骨痂形成迹象,因此需要后续进行菲米斯特植骨术。对患者进行了至少2年(范围为2 - 7年)的随访。结果基于最终随访时的骨愈合状态、肘/腕关节活动范围(ROM)以及握力。观察到的并发症有感染复发(1例)和供区肌肉疝出(1例)。

结论

在最佳加压条件下进行三皮质松质支柱骨移植,并辅以髓内固定,为前臂骨伴有骨缺损的萎缩性骨不连这一难题提供了一个有前景的解决方案。

https://cdn.ncbi.nlm.nih.gov/pmc/blobs/c11b/2822425/d56a8a8ca133/IJOrtho-44-84-g002.jpg
https://cdn.ncbi.nlm.nih.gov/pmc/blobs/c11b/2822425/9897c4eb86b0/IJOrtho-44-84-g001.jpg
https://cdn.ncbi.nlm.nih.gov/pmc/blobs/c11b/2822425/d56a8a8ca133/IJOrtho-44-84-g002.jpg
https://cdn.ncbi.nlm.nih.gov/pmc/blobs/c11b/2822425/9897c4eb86b0/IJOrtho-44-84-g001.jpg
https://cdn.ncbi.nlm.nih.gov/pmc/blobs/c11b/2822425/d56a8a8ca133/IJOrtho-44-84-g002.jpg

相似文献

1
Gap nonunion of forearm bones treated by modified Nicoll's technique.采用改良尼科尔技术治疗前臂骨间隙性骨不连。
Indian J Orthop. 2010 Jan;44(1):84-8. doi: 10.4103/0019-5413.58611.
2
Infected Gap Non Union of Radius Treated with Modified Nicoll's Technique-A Case Report.改良尼科尔技术治疗感染性桡骨骨不连——病例报告
J Clin Diagn Res. 2015 Feb;9(2):RD01-2. doi: 10.7860/JCDR/2015/10806.5528. Epub 2015 Feb 1.
3
Treatment of diaphyseal forearm atrophic nonunions with intramedullary nails and modified Nicoll's technique in adults.成人肱骨干萎缩性骨不连采用髓内钉及改良尼科尔技术治疗
Acta Orthop Traumatol Turc. 2014;48(3):262-70. doi: 10.3944/AOTT.2014.3259.
4
Modified Nicoll's Graft for Treatment of Gap Non-union of Ulna: A Rare Case Report.改良尼科尔移植物治疗尺骨间隙不愈合:1例罕见病例报告
J Orthop Case Rep. 2017 Mar-Apr;7(2):17-20. doi: 10.13107/jocr.2250-0685.730.
5
Ununited diaphyseal forearm fractures with segmental defects: plate fixation and autogenous cancellous bone-grafting.伴有节段性骨缺损的肱骨干不愈合骨折:钢板固定及自体松质骨移植
J Bone Joint Surg Am. 2004 Nov;86(11):2440-5.
6
Osteosynthesis of Postosteomyelitic Forearm Defects in Children Using a Modified Bone Grafting Technique: The Fibular Intramedullary Bridging Bone and Additional Grafting (FIBBAG).采用改良骨移植技术治疗儿童骨髓炎后前臂缺损的骨固定术:腓骨髓内桥接骨及额外植骨术(FIBBAG)
J Hand Surg Asian Pac Vol. 2020 Mar;25(1):13-19. doi: 10.1142/S2424835520500010.
7
Free non-vascularized fibular graft for treatment of large bone defect around the elbow in pediatric patients.游离非血管化腓骨移植治疗小儿肘部周围大骨缺损
Eur J Orthop Surg Traumatol. 2017 Oct;27(7):895-900. doi: 10.1007/s00590-017-1955-3. Epub 2017 Apr 9.
8
The results of locked intramedullary nailing for non-union of forearm bones.锁定髓内钉治疗前臂骨不连的结果
Ortop Traumatol Rehabil. 2008 Jan-Feb;10(1):35-43.
9
The missing effect of human recombinant Bone Morphogenetic Proteins BMP-2 and BMP-7 in surgical treatment of aseptic forearm nonunion.人重组骨形态发生蛋白BMP - 2和BMP - 7在无菌性前臂骨不连手术治疗中的疗效缺失
Injury. 2016 Apr;47(4):919-24. doi: 10.1016/j.injury.2015.11.038. Epub 2015 Nov 30.
10
A Case of Non-Union of Ulna Fracture Managed with Tibial Strut Cortico-Cancellous Bone Grafting in a Paediatric Patient.一名小儿尺骨骨折不愈合病例采用胫骨支撑皮质松质骨移植治疗
J Hand Surg Asian Pac Vol. 2017 Sep;22(3):396-402. doi: 10.1142/S0218810417720327.

引用本文的文献

1
Union, complication, reintervention and failure rates of surgical techniques for large diaphyseal defects: a systematic review and meta-analysis.手术技术治疗大骨干缺损的并发症、再干预和失败率:系统评价和荟萃分析。
Sci Rep. 2022 Jun 1;12(1):9098. doi: 10.1038/s41598-022-12140-5.
2
Intramedullary nailing for treatment of forearm non-union: Is it useful? - A case series.髓内钉治疗前臂骨不连:是否有效?——病例系列
J Orthop. 2020 Jan 10;20:97-104. doi: 10.1016/j.jor.2020.01.011. eCollection 2020 Jul-Aug.
3
Volkmann's Ischemic Contracture with Atrophic Non-union of Ulna Managed by Bone Shortening and Transposition of Radial Autograft.

本文引用的文献

1
Iliac-bone transplantation.髂骨移植
J Bone Joint Surg Am. 1946 Jan;28:1-14.
2
The repair of defects of the radius with fibular bone grafts.
J Bone Joint Surg Am. 1947 Jul;29(3):629-36.
3
The evaluation of cortical and cancellous bone as grafting material; a clinical and experimental study.皮质骨和松质骨作为移植材料的评估:一项临床与实验研究。
J Bone Joint Surg Am. 1947 Apr;29(2):381-414.
采用骨缩短及桡骨自体移植移位术治疗伴有尺骨萎缩性骨不连的Volkmann缺血性肌挛缩
J Orthop Case Rep. 2015 Jan-Mar;5(1):65-8. doi: 10.13107/jocr.2250-0685.259.
4
Treatment of Nonunion of Forearm Bones Using Radial Forearm Bone Flap.应用前臂桡骨骨瓣治疗前臂骨不连
Trauma Mon. 2015 Nov;20(4):e22622. doi: 10.5812/traumamon.22622. Epub 2015 Nov 23.
5
Bone transport combined with locking plate and bone grafting for treatment of nonunion of the ulna: a case report.骨搬运联合锁定钢板及植骨治疗尺骨骨不连:一例报告
Int J Clin Exp Med. 2013 Oct 25;6(10):996-1000. eCollection 2013.
6
Monoaxial distraction of ulna to second metacarpal followed by single bone forearm in massive post infective radial bone loss.在严重感染后桡骨骨丢失的情况下,将尺骨向第二掌骨进行单轴牵张,随后形成单骨前臂。
Indian J Orthop. 2012 Nov;46(6):685-9. doi: 10.4103/0019-5413.104214.
4
Ununited diaphyseal forearm fractures with segmental defects: plate fixation and autogenous cancellous bone-grafting.伴有节段性骨缺损的肱骨干不愈合骨折:钢板固定及自体松质骨移植
J Bone Joint Surg Am. 2004 Nov;86(11):2440-5.
5
Osteogenetic potency and new-bone formation by induction in transplants to the anterior chamber of the eye.移植至眼前房诱导后的成骨潜能与新骨形成。
J Bone Joint Surg Am. 1952 Apr;34-A(2):443-76.
6
The treatment of gaps in long bones by cancellous insert grafts.采用松质骨植入物治疗长骨骨缺损
J Bone Joint Surg Br. 1956 Feb;38-B(1):70-82. doi: 10.1302/0301-620X.38B1.70.
7
Experimental bone transplants.
J Bone Joint Surg Am. 1955 Jul;37-A(4):742-58.
8
Bridging of bone defects in the forearm with iliac graft combined with intramedullary nailing.采用髂骨移植联合髓内钉固定修复前臂骨缺损。
J Bone Joint Surg Br. 1954 Nov;36-B(4):642-6. doi: 10.1302/0301-620X.36B4.642.
9
Experiences with boilded cadaveric bone.煮沸尸体骨的经验。
J Bone Joint Surg Br. 1952 Aug;34-B(3):428-32. doi: 10.1302/0301-620X.34B3.428.
10
Modification of the Nicoll bone-grafting technique for nonunion of the radius and/or ulna.用于桡骨和/或尺骨骨不连的尼科尔骨移植技术改良
J Bone Joint Surg Br. 2002 Jan;84(1):30-3. doi: 10.1302/0301-620x.84b1.11799.