Suppr超能文献

青少年三踝和Tillaux 骨折的治疗结果。

Treatment outcomes of triplane and Tillaux fractures of the ankle in adolescence.

机构信息

Department of Orthopedic Surgery, Chonbuk National University Medical School and Research Institute of Clinical Medicine, Chonju, Korea.

出版信息

Clin Orthop Surg. 2010 Mar;2(1):34-8. doi: 10.4055/cios.2010.2.1.34. Epub 2010 Feb 4.

Abstract

BACKGROUND

To identify the fracture configuration and treatment results for patients with triplane and Tillaux fractures in the ankle joint.

METHODS

A retrospective study was performed on 14 patients with a more than one year follow-up. This study investigated the fracture configuration, concomitant fibula fracture, treatment methods and complications. The treatment outcomes were analyzed using modified Weber protocol.

RESULTS

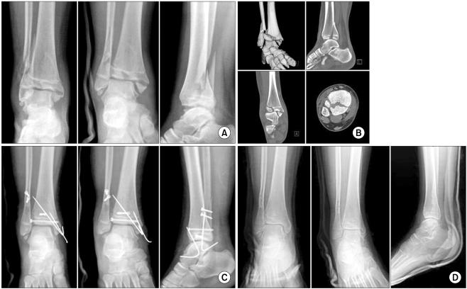
Among the 14 cases, 11 were triplane fractures and 3 were Tillaux fractures. Seven were two part triplane fractures, and 4 were three part triplane fractures. Eight were lateral triplane fractures, and 3 were medial triplane fractures. A fibula fracture was accompanied by 7. The fibular fracture comprised of oblique fractures in all cases. A closed and open reduction was performed in 6 and 8 cases, respectively. All but one showed excellent treatment outcomes at the final follow-up. Traumatic arthritis developed in 1 case.

CONCLUSIONS

Precisely detecting the fracture configuration by computed tomography and understanding the injury mechanism have greatly improved the outcomes of triplane fractures and Tillaux fractures of the ankle in adolescent patients.

摘要

背景

为了明确踝关节三平面骨折和Tillaux 骨折患者的骨折类型和治疗结果。

方法

对 14 例随访时间超过 1 年的患者进行回顾性研究。本研究调查了骨折类型、合并腓骨骨折、治疗方法和并发症。采用改良 Weber 评分标准分析治疗结果。

结果

14 例中,11 例为三平面骨折,3 例为 Tillaux 骨折。7 例为双部分三平面骨折,4 例为三部分三平面骨折。8 例为外侧三平面骨折,3 例为内侧三平面骨折。7 例合并腓骨骨折。腓骨骨折均为斜形骨折。6 例行闭合复位,8 例行切开复位。除 1 例外,所有患者最终随访时均取得了良好的治疗效果。1 例发生创伤性关节炎。

结论

通过 CT 精确检测骨折类型,了解损伤机制,可显著提高青少年患者踝关节三平面骨折和 Tillaux 骨折的治疗效果。

https://cdn.ncbi.nlm.nih.gov/pmc/blobs/66a2/2824093/dafb6f134250/cios-2-34-g001.jpg

文献AI研究员

20分钟写一篇综述,助力文献阅读效率提升50倍。

立即体验

用中文搜PubMed

大模型驱动的PubMed中文搜索引擎

马上搜索

文档翻译

学术文献翻译模型,支持多种主流文档格式。

立即体验