Trudeau Institute, Inc., Saranac Lake, NY 12983, USA.
J Exp Med. 2010 Mar 15;207(3):591-605. doi: 10.1084/jem.20091085. Epub 2010 Mar 8.
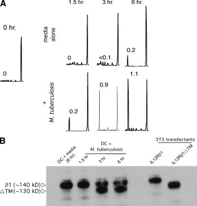
RNA splicing is an increasingly recognized regulator of immunity. Here, we demonstrate that after Mycobacterium tuberculosis infection (mRNA) il12rb1 is spliced by dendritic cells (DCs) to form an alternative (mRNA) il12rb1Deltatm that encodes the protein IL-12Rbeta1DeltaTM. Compared with IL-12Rbeta1, IL-12Rbeta1DeltaTM contains an altered C-terminal sequence and lacks a transmembrane domain. Expression of IL-12Rbeta1DeltaTM occurs in CD11c(+) cells in the lungs during M. tuberculosis infection. Selective reconstitution of il12rb1(-/-) DCs with (mRNA) il12rb1 and/or (mRNA) il12rb1Deltatm demonstrates that IL-12Rbeta1DeltaTM augments IL-12Rbeta1-dependent DC migration and activation of M. tuberculosis-specific T cells. It cannot mediate these activities independently of IL12Rbeta1. We hypothesize that M. tuberculosis-exposed DCs express IL-12Rbeta1DeltaTM to enhance IL-12Rbeta1-dependent migration and promote M. tuberculosis-specific T cell activation. IL-12Rbeta1DeltaTM thus represents a novel positive-regulator of IL12Rbeta1-dependent DC function and of the immune response to M. tuberculosis.
RNA 剪接是免疫调节的一个新靶点。在这里,我们证明分枝杆菌感染后,树突状细胞(DCs)对 il12rb1 进行剪接,形成一种新的(mRNA)il12rb1Deltatm,其编码的蛋白为 IL-12Rbeta1DeltaTM。与 IL-12Rbeta1 相比,IL-12Rbeta1DeltaTM 含有改变的 C 末端序列,且缺乏跨膜结构域。分枝杆菌感染期间,IL-12Rbeta1DeltaTM 在肺部的 CD11c(+)细胞中表达。选择性重建(mRNA)il12rb1 和/或(mRNA)il12rb1Deltatm 表达的 il12rb1(-/-)DC 表明,IL-12Rbeta1DeltaTM 增强了 IL-12Rbeta1 依赖的 DC 迁移和分枝杆菌特异性 T 细胞的激活。它不能独立于 IL12Rbeta1 来介导这些活性。我们假设分枝杆菌暴露的 DC 表达 IL-12Rbeta1DeltaTM,以增强 IL-12Rbeta1 依赖的迁移,并促进分枝杆菌特异性 T 细胞的激活。因此,IL-12Rbeta1DeltaTM 代表了一种新的 IL12Rbeta1 依赖的 DC 功能和对分枝杆菌免疫反应的正向调节剂。