Suppr超能文献

谷胱甘肽S-转移酶在正常、发育异常及鳞状细胞癌人类口腔组织中的功能活性及免疫组化细胞分布

Functional activities and immunohistochemical cellular distribution of glutathione s-transferases in normal, dysplastic, and squamous cell carcinoma human oral tissues.

作者信息

Giannini Peter J, Morse Mark A, Weghorst Christopher M, Pei Ping, Mallery Susan R

机构信息

Department of Oral Biology, University of Nebraska Medical Center College of Dentistry, Lincoln, Nebraska.

出版信息

Clin Med Oncol. 2008;2:159-68. doi: 10.4137/cmo.s491. Epub 2008 Mar 28.

Abstract

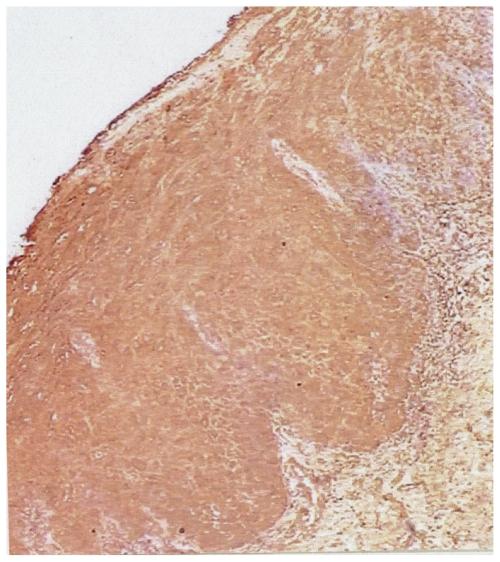
Clinical data show a strong correlation between tobacco and alcohol use and the development of oral squamous cell carcinoma (SCC). While this association implies that the oral mucosa actively metabolizes carcinogens, there is little information which depicts the carcinogen metabolizing enzymes within the oral cavity. Glutathione S-transferases (GSTs) primary function is to detoxify carcinogens by increasing their water solubility, GSTs represent key carcinogen metabolizing enzymes. Notably, individuals with a null phenotype for certain GST isoforms are at an increased risk to develop cancer. This study investigated the function and distribution of GSTs in human oral tissues. Our results from this pilot study showed a trend towards higher GST activities in SCC tissues relative to normal mucosa. Also, relative to normal tissues, the SCC and epithelial dysplasia samples showed a more intense and uniform GST intracellular distribution. GST activities are increased in many high grade cancers. Similarly, our data suggest that GST upregulation occurs in at least a subset of precancerous and malignant oral lesions.

摘要

临床数据显示,烟草和酒精的使用与口腔鳞状细胞癌(SCC)的发生之间存在密切关联。虽然这种关联意味着口腔黏膜会积极代谢致癌物,但关于口腔内致癌物代谢酶的信息却很少。谷胱甘肽S-转移酶(GSTs)的主要功能是通过增加致癌物的水溶性来使其解毒,GSTs是关键的致癌物代谢酶。值得注意的是,某些GST同工型表现为无效表型的个体患癌风险增加。本研究调查了GSTs在人体口腔组织中的功能和分布。我们这项初步研究的结果显示,与正常黏膜相比,SCC组织中的GST活性有升高的趋势。此外,相对于正常组织,SCC和上皮发育异常样本显示出更强烈且均匀的GST细胞内分布。在许多高级别癌症中GST活性会增加。同样,我们的数据表明,GST上调至少发生在一部分癌前和恶性口腔病变中。

https://cdn.ncbi.nlm.nih.gov/pmc/blobs/3a50/3161688/8a005bb89683/cmo-2-2008-159f1.jpg

文献AI研究员

20分钟写一篇综述,助力文献阅读效率提升50倍。

立即体验

用中文搜PubMed

大模型驱动的PubMed中文搜索引擎

马上搜索

文档翻译

学术文献翻译模型,支持多种主流文档格式。

立即体验