Suppr超能文献

重组粒细胞集落刺激因子对周期性中性粒细胞减少症患者口腔和牙周表现的影响:一例报告

The effect of recombinant granulocyte colony-stimulating factor on oral and periodontal manifestations in a patient with cyclic neutropenia: a case report.

作者信息

Matarasso Sergio, Daniele Vincenzo, Iorio Siciliano Vincenzo, Mignogna Michele D, Andreuccetti Gianmaria, Cafiero Carlo

机构信息

Department of Odontostomatological and Maxillo-Facial Science, The School of Medicine and Surgery, Federico II University of Naples, Italy.

出版信息

Int J Dent. 2009;2009:654239. doi: 10.1155/2009/654239. Epub 2010 Feb 18.

Abstract

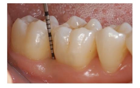
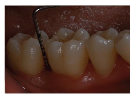
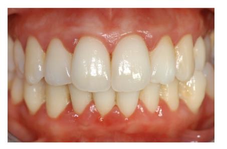
Cyclic Neutropenia (CN) is characterized by recurrent infections, fever, oral ulcerations, and severe periodontitis as result of the reduced host defences. The previous studies have established the effectiveness of recombinant granulocyte colony-stimulating factor (GCSF) to increase the number and the function of neutrophils in the peripheral blood in this disease. In a 20-year-old Caucasian female with a diagnosis of cyclic neutropenia, oral clinical examination revealed multiple painful ulcerations of the oral mucosa, poor oral hygiene conditions, marginal gingivitis, and moderate periodontitis. The patient received a treatment with G-CSF (Pegfilgrastim, 6 mg/month) in order to improve her immunological status. Once a month nonsurgical periodontal treatment was carefully performed when absolute neutrophil count (ANC) was >/=500/muL. The treatment with G-CSF resulted in a rapid increase of circulating neutrophils that, despite its short duration, leaded to a reduction in infection related events and the resolution of the multiple oral ulcerations. The disappearance of oral pain allowed an efficacy nonsurgical treatment and a normal tooth brushing that determined a reduction of probing depth (PD </= 4 mm) and an improvement of the oral hygiene conditions recorded at 6-month follow-up.

摘要

周期性中性粒细胞减少症(CN)的特征是由于宿主防御功能降低而反复出现感染、发热、口腔溃疡和严重的牙周炎。先前的研究已证实重组粒细胞集落刺激因子(GCSF)在增加该疾病外周血中性粒细胞数量和功能方面的有效性。一名诊断为周期性中性粒细胞减少症的20岁白人女性,口腔临床检查发现口腔黏膜有多处疼痛性溃疡、口腔卫生状况差、边缘性牙龈炎和中度牙周炎。该患者接受了G-CSF(培非格司亭,6mg/月)治疗以改善其免疫状态。当绝对中性粒细胞计数(ANC)≥500/μL时,每月进行一次仔细的非手术牙周治疗。G-CSF治疗导致循环中性粒细胞迅速增加,尽管持续时间较短,但减少了感染相关事件,并使多处口腔溃疡得以消退。口腔疼痛的消失使非手术治疗有效且能正常刷牙,这使得探诊深度降低(PD≤4mm),并改善了6个月随访时记录的口腔卫生状况。

https://cdn.ncbi.nlm.nih.gov/pmc/blobs/677f/2836918/cb04556d7aeb/IJD2009-654239.001.jpg

相似文献

4
Management of tooth extraction in a patient with ELANE gene mutation-induced cyclic neutropenia: A case report.
Medicine (Baltimore). 2019 Sep;98(39):e17372. doi: 10.1097/MD.0000000000017372.
5
Oral health management in children with severe congenital neutropenia with periodontitis: Case report.
Medicine (Baltimore). 2024 Jul 26;103(30):e39086. doi: 10.1097/MD.0000000000039086.

引用本文的文献

1
Assessment of Congenital Neutropenia in Children: Common Clinical Sceneries and Clues for Management.
Mediterr J Hematol Infect Dis. 2022 Jan 1;14(1):e2022008. doi: 10.4084/MJHID.2022.008. eCollection 2022.
2
Primary Immunodeficiencies With Defects in Innate Immunity: Focus on Orofacial Manifestations.
Front Immunol. 2020 Jun 18;11:1065. doi: 10.3389/fimmu.2020.01065. eCollection 2020.
3
The Stomatological Complications of Diamond-Blackfan Anemia: A Case Report.
Clin Med Res. 2016 Jun;14(2):97-102. doi: 10.3121/cmr.2015.1305. Epub 2016 Feb 10.
4
Neutrophils in periodontal inflammation.
Front Oral Biol. 2012;15:56-83. doi: 10.1159/000329672. Epub 2011 Nov 11.

本文引用的文献

3
Prevalence of neutropenia in the U.S. population: age, sex, smoking status, and ethnic differences.
Ann Intern Med. 2007 Apr 3;146(7):486-92. doi: 10.7326/0003-4819-146-7-200704030-00004.
4
How neutrophils kill microbes.
Annu Rev Immunol. 2005;23:197-223. doi: 10.1146/annurev.immunol.23.021704.115653.
5
The design and development of pegfilgrastim (PEG-rmetHuG-CSF, Neulasta).
Curr Pharm Des. 2004;10(11):1235-44. doi: 10.2174/1381612043452613.
7
TREATMENT OF CYCLIC NEUTROPENIA WITH TESTOSTERONE.
Am J Med. 1965 May;38:802-6. doi: 10.1016/0002-9343(65)90200-7.

文献AI研究员

20分钟写一篇综述,助力文献阅读效率提升50倍。

立即体验

用中文搜PubMed

大模型驱动的PubMed中文搜索引擎

马上搜索

文档翻译

学术文献翻译模型,支持多种主流文档格式。

立即体验