Suppr超能文献

口服活 F4ac+ 非肠毒素型大肠杆菌疫苗免疫猪后对肠道细胞免疫反应的组织形态计量学评价,用于仔猪断奶后大肠杆菌病。

Histomorphometric evaluation of intestinal cellular immune responses in pigs immunized with live oral F4ac+ non-enterotoxigenic E. coli vaccine against postweaning colibacillosis.

机构信息

Department of Biology, Veterinary, Faculty, University of Zagreb, Croatia.

出版信息

Eur J Histochem. 2010 Feb 11;54(1):e4. doi: 10.4081/ejh.2010.e4.

Abstract

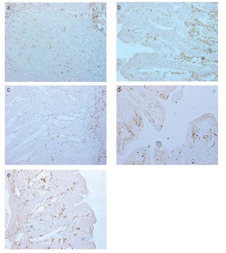
Enterotoxigenic Escherichia coli (ETEC) infection is the most common type of porcine postweaning colibacillosis (PWC). Among fimbriae of porcine ETEC strains the best studied family of fimbriae are the members of F4 adhesins, existing in at least three variants: ab, ac, ad. Active immunization against porcine PWC is difficult due to: i) ETEC strains are only one of the essential predisposing factors, ii) the success of vaccinal antigen uptake depends on the presence of enterocyte receptors for F4 adhesins, iii) the intestinal immune system may react with tolerance or hypersensitivity to the same antigens depending on the dose and form of the vaccinal immunogen, and iv) kinetics of the specific immune responses may be different in the case of F4 (earlier) and the other ETEC adhesins, particularly F18 (later). The aim of this study was to test the effectiveness of a live attenuated F4ac+ non-ETEC vaccine against porcine PWC by analyzing quantitative differences in the small intestinal lymphoid and myeloid cell subsets of immunized (with or without levamisole given as an adjuvant) vs control non-immunized pigs. Four week-old pigs were intragastrically immunized with a vaccine candidate F4ac+ non-ETEC strain 2407 at day 0, challenged 7 days later with a virulent F4ac+ strain ETEC 11-800/1/94, euthanatized at day 13 and sampled for immunohistology. Non-immunized pigs received saline at day 0 and were processed as the principals. Immuno-phenotypes of lymphoid and myeloid cell subsets were demonstrated within jejunal and ileal mucosa by immunohistochemical avidin-biotin complex method and corresponding morphometric data were analyzed using software program Lucia G for digital image analyses. Monoclonal antibodies reactive with surface molecules on porcine immune cells such as CD3, CD45RA, CD45RC, CD21 and SWC3 enabled clear insight into distribution patterns and amount of these cells within the gut-associated lymphoid tissues (GALT) examined. The numbers of jejunal and ileal cell subsets tested were significantly increased (at P<0.5 or lower) in both principal groups (vaccinated or levamisole primed-vaccinated) of pigs, compared to those recorded in the control non-vaccinated pigs. Based on the histomorphometric quantification of porcine intestinal immune cells from the GALT compartments tested, it is possible to differentiate the responses of pigs immunized by an experimental mucosal vaccine from those of non-immunized pigs.

摘要

肠产毒性大肠杆菌(ETEC)感染是断奶后仔猪大肠杆菌病(PWC)最常见的类型。在猪 ETEC 菌株的菌毛中,研究最多的菌毛家族是 F4 黏附素成员,至少存在三种变体:ab、ac、ad。由于以下原因,针对猪 PWC 的主动免疫是困难的:i)ETEC 菌株仅是一个必要的诱发因素,ii)疫苗抗原摄取的成功取决于肠细胞上 F4 黏附素受体的存在,iii)肠道免疫系统可能对同一抗原产生耐受或过敏反应,这取决于疫苗免疫原的剂量和形式,iv)F4(早期)和其他 ETEC 黏附素(如 F18,后期)的特异性免疫反应的动力学可能不同。本研究旨在通过分析免疫(用或不用左旋咪唑作为佐剂)和对照未免疫猪的小肠淋巴样和髓样细胞亚群的定量差异,来测试减毒 F4ac+非 ETEC 疫苗对猪 PWC 的有效性。4 周龄仔猪于第 0 天经胃内免疫候选疫苗 F4ac+非 ETEC 菌株 2407,第 7 天用强毒 F4ac+菌株 ETEC 11-800/1/94 攻毒,第 13 天安乐死并取样进行免疫组织化学分析。未免疫的猪在第 0 天接受生理盐水,并作为主要动物进行处理。通过免疫组织化学链霉亲和素-生物素复合物法在空肠和回肠黏膜中显示淋巴样和髓样细胞亚群的免疫表型,并使用 Lucia G 软件程序对相应的形态计量学数据进行分析,用于数字图像分析。与猪免疫细胞表面分子反应的单克隆抗体,如 CD3、CD45RA、CD45RC、CD21 和 SWC3,使我们能够清楚地了解这些细胞在肠道相关淋巴组织(GALT)中的分布模式和数量。与未接种疫苗的对照组相比,在接受疫苗或左旋咪唑预处理后接受疫苗接种的两组主要猪(接种组或经左旋咪唑预处理后接种组)中,空肠和回肠细胞亚群的数量显著增加(P<0.05 或更低)。基于从测试的 GALT 区采集的猪肠道免疫细胞的组织形态计量学定量,可以区分实验性黏膜疫苗免疫猪与未免疫猪的反应。

https://cdn.ncbi.nlm.nih.gov/pmc/blobs/59c5/3167290/86a1388e4cb2/ejh-2010-1-e4-g001.jpg

相似文献

本文引用的文献

1
Prevalence of virulence genes in Escherichia coli strains recently isolated from young pigs with diarrhea in the US.
Vet Microbiol. 2007 Jul 20;123(1-3):145-52. doi: 10.1016/j.vetmic.2007.02.018. Epub 2007 Feb 23.
3
Enterotoxigenic Escherichia coli in veterinary medicine.
Int J Med Microbiol. 2005 Oct;295(6-7):443-54. doi: 10.1016/j.ijmm.2005.07.003.
8
Priming of piglets against enterotoxigenic E. coli F4 fimbriae by immunisation with FAEG DNA.
Vaccine. 2004 Apr 16;22(13-14):1640-7. doi: 10.1016/j.vaccine.2003.09.045.
9
Enteric-coated pellets of F4 fimbriae for oral vaccination of suckling piglets against enterotoxigenic Escherichia coli infections.
Vet Immunol Immunopathol. 2003 Dec 15;96(3-4):219-27. doi: 10.1016/j.vetimm.2003.08.003.
10
Levamisole mucosal adjuvant activity for a live attenuated Escherichia coli oral vaccine in weaned pigs.
J Vet Pharmacol Ther. 2003 Jun;26(3):225-31. doi: 10.1046/j.1365-2885.2003.00458.x.

文献AI研究员

20分钟写一篇综述,助力文献阅读效率提升50倍。

立即体验

用中文搜PubMed

大模型驱动的PubMed中文搜索引擎

马上搜索

文档翻译

学术文献翻译模型,支持多种主流文档格式。

立即体验