Suppr超能文献

海绵状血管瘤导致异常子宫出血的罕见病例:一例报告

A rare case of abnormal uterine bleeding caused by cavernous hemangioma: a case report.

作者信息

Benjamin Mridula A, Yaakub Hjh Roselina, Telesinghe Pu, Kafeel Gazala

机构信息

Department of Obstetrics and Gynecology, RIPAS Hospital, Bandar Seri Begawan, Brunei.

出版信息

J Med Case Rep. 2010 May 17;4:136. doi: 10.1186/1752-1947-4-136.

Abstract

INTRODUCTION

Cavernous hemangiomas of the uterus are extremely rare, benign lesions. A survey of the current literature identified fewer than 50 cases of hemangioma of the uterus.

CASE PRESENTATION

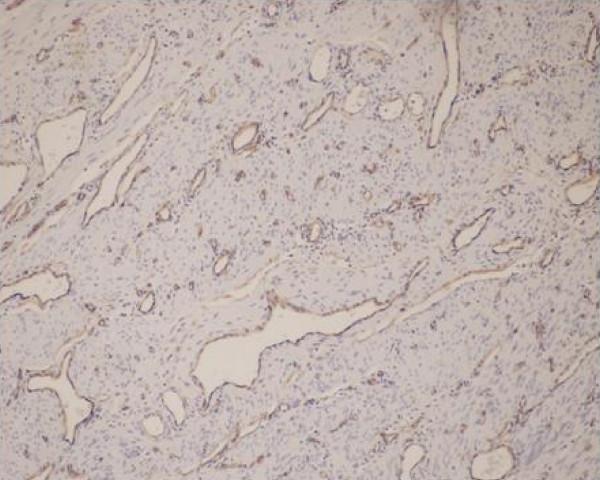
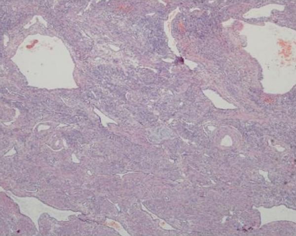
We report a case of cavernous hemangioma of the uterus in a 27-year-old Malay, para 1 woman who presented at our hospital with torrential vaginal bleeding having been transferred by land ambulance from a district hospital 30 minutes away. 11 weeks previously she had an urgent cesarean section at our hospital. She had to undergo a hysterectomy to control her bleeding after other measures were unsuccessful. A histopathological report confirmed a diffuse ramifying hemangioma of the cervix and uterus with left hematosalpinx.

CONCLUSION

Most ramifying hemangioma lesions are asymptomatic and are found incidentally, but sometimes they may cause abnormal vaginal bleeding and hence should be included in the differential diagnosis of patients with vaginal bleeding. Hysterectomy is the primary mode of treatment in most symptomatic cases.

摘要

引言

子宫海绵状血管瘤是极其罕见的良性病变。对当前文献的一项调查发现子宫血管瘤病例少于50例。

病例介绍

我们报告一例27岁经产妇、马来族女性的子宫海绵状血管瘤病例,该患者由30分钟车程外的一家地区医院通过陆路救护车转送至我院,当时出现大量阴道出血。11周前她在我院接受了急诊剖宫产。在其他措施均未成功后,她不得不接受子宫切除术以控制出血。组织病理学报告证实为宫颈和子宫弥漫性分支状血管瘤伴左侧输卵管积血。

结论

大多数分支状血管瘤病变无症状,是偶然发现的,但有时可能导致异常阴道出血,因此应纳入阴道出血患者的鉴别诊断。子宫切除术是大多数有症状病例的主要治疗方式。

https://cdn.ncbi.nlm.nih.gov/pmc/blobs/3f12/2880140/fa170652ba64/1752-1947-4-136-1.jpg

文献AI研究员

20分钟写一篇综述,助力文献阅读效率提升50倍。

立即体验

用中文搜PubMed

大模型驱动的PubMed中文搜索引擎

马上搜索

文档翻译

学术文献翻译模型,支持多种主流文档格式。

立即体验